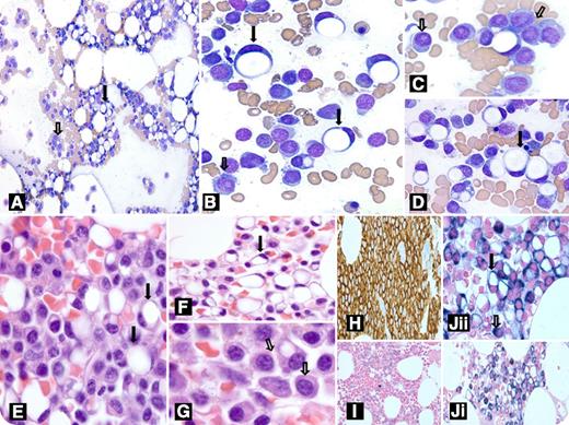
An 84-year-old man with a history of multiple myeloma presented to the emergency department with new-onset aphasia, worsening bilateral lower extremity weakness, and confusion of 3-day duration. Clinical examination and imaging studies ruled out an acute stroke. A complete myeloma workup was initiated. Laboratory results showed overall stable myeloma markers. Bone marrow examination revealed numerous plasma cells in both aspirate (panels A-D, open arrows) and biopsy specimens (panels E-G, open arrows). Additionally, numerous intermixed signet ring cells were also noted (panels A-G, closed arrows). These signet ring cells were completely vacuolated and lacked any cellular amorphous material. CD138 showed intense staining in both the plasma cells and signet ring cells (panel H); pancytokeratin was negative (not shown). Light chain in situ hybridization studies (panel I, κ; panel Ji, λ, original magnification ×400; and panel Jii, λ, original magnification ×1000) revealed intense λ cytoplasmic staining for plasma cells (Jii, open arrow) with predominantly peripheral membranous staining in the signet ring cells (Jii, closed arrow).
Plasma cells exhibit a spectrum of morphologic forms. Signet ring forms with cytoplasmic immunoglobulins are believed to be formed due to defective immunoglobulin assemblage. There are only rare case reports of plasma cells with true signet ring morphology. Because CD138 can be positive in epithelial malignancies, additional stains such as pancytokeratin should be performed to rule out underlying carcinoma. Additionally, the light chain staining pattern can further aid in differentiating these forms from those of signet ring carcinoma.
An 84-year-old man with a history of multiple myeloma presented to the emergency department with new-onset aphasia, worsening bilateral lower extremity weakness, and confusion of 3-day duration. Clinical examination and imaging studies ruled out an acute stroke. A complete myeloma workup was initiated. Laboratory results showed overall stable myeloma markers. Bone marrow examination revealed numerous plasma cells in both aspirate (panels A-D, open arrows) and biopsy specimens (panels E-G, open arrows). Additionally, numerous intermixed signet ring cells were also noted (panels A-G, closed arrows). These signet ring cells were completely vacuolated and lacked any cellular amorphous material. CD138 showed intense staining in both the plasma cells and signet ring cells (panel H); pancytokeratin was negative (not shown). Light chain in situ hybridization studies (panel I, κ; panel Ji, λ, original magnification ×400; and panel Jii, λ, original magnification ×1000) revealed intense λ cytoplasmic staining for plasma cells (Jii, open arrow) with predominantly peripheral membranous staining in the signet ring cells (Jii, closed arrow).
Plasma cells exhibit a spectrum of morphologic forms. Signet ring forms with cytoplasmic immunoglobulins are believed to be formed due to defective immunoglobulin assemblage. There are only rare case reports of plasma cells with true signet ring morphology. Because CD138 can be positive in epithelial malignancies, additional stains such as pancytokeratin should be performed to rule out underlying carcinoma. Additionally, the light chain staining pattern can further aid in differentiating these forms from those of signet ring carcinoma.
For additional images, visit the ASH IMAGE BANK, a reference and teaching tool that is continually updated with new atlas and case study images. For more information visit http://imagebank.hematology.org.

