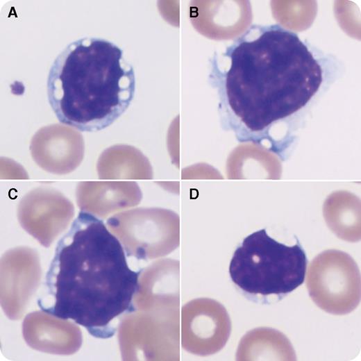
A 65-year-old man undergoing workup for transverse myelitis was found to have lymphadenopathy and splenomegaly. His complete blood count results were significant for anemia and mild thrombocytopenia. His white blood cell count was 6.1 × 109/L, with a normal absolute lymphocyte count of 1.8 × 109/L. The peripheral smear review contained mature-appearing lymphocytes with sharp vacuoles (panels A-D), accounting for 4% of cells by manual differential. Flow cytometry revealed 3% of events to be monoclonal B cells that were positive for bright CD20, CD5, and bright κ light-chain; they were negative for CD10, CD23, and CD200. A bone marrow biopsy showed trilineage hematopoiesis and small nonparatrabecular lymphoid aggregates. Flow cytometry found a similar population to that in the peripheral blood (4% of cellularity). Stimulated karyotype showed a complex karyotype including t(11;14)(q13;q32). Characteristic translocations of Burkitt lymphoma/leukemia were not present. Overall, these findings are diagnostic of mantle cell lymphoma.
Discrete vacuoles in lymphocytes should prompt further investigation. They may be seen in a variety of entities, including lysosomal storage diseases and neoplastic disorders. In this case, the vacuoles were a key finding that raised suspicion for an underlying lymphoproliferative disorder. Only through incorporation of clinical findings, morphology, and ancillary testing was the diagnosis reached in this subtle case of mantle cell lymphoma.
A 65-year-old man undergoing workup for transverse myelitis was found to have lymphadenopathy and splenomegaly. His complete blood count results were significant for anemia and mild thrombocytopenia. His white blood cell count was 6.1 × 109/L, with a normal absolute lymphocyte count of 1.8 × 109/L. The peripheral smear review contained mature-appearing lymphocytes with sharp vacuoles (panels A-D), accounting for 4% of cells by manual differential. Flow cytometry revealed 3% of events to be monoclonal B cells that were positive for bright CD20, CD5, and bright κ light-chain; they were negative for CD10, CD23, and CD200. A bone marrow biopsy showed trilineage hematopoiesis and small nonparatrabecular lymphoid aggregates. Flow cytometry found a similar population to that in the peripheral blood (4% of cellularity). Stimulated karyotype showed a complex karyotype including t(11;14)(q13;q32). Characteristic translocations of Burkitt lymphoma/leukemia were not present. Overall, these findings are diagnostic of mantle cell lymphoma.
Discrete vacuoles in lymphocytes should prompt further investigation. They may be seen in a variety of entities, including lysosomal storage diseases and neoplastic disorders. In this case, the vacuoles were a key finding that raised suspicion for an underlying lymphoproliferative disorder. Only through incorporation of clinical findings, morphology, and ancillary testing was the diagnosis reached in this subtle case of mantle cell lymphoma.
For additional images, visit the ASH IMAGE BANK, a reference and teaching tool that is continually updated with new atlas and case study images. For more information visit http://imagebank.hematology.org.

