A 45-year-old man with a history of gout for 6 years was maintained with allopurinol. One and a half years prior to admission, he was diagnosed with diffuse large B-cell lymphoma (germinal center type) with primary orbital presentation. He failed combination chemotherapy with rituximab, cyclophosphamide, hydroxydaunomycin, oncovin, and prednisone because of continued disease progression and was switched to an alternative combination chemotherapy regimen with rituximab, ifosfamide, carboplatin, and etoposide, which provoked a polyarticular gout flare. His lymphoma was stable until he was admitted for a swollen left knee. At this time, he was noted to have widespread involvement of retroperitoneal and intraperitoneal soft tissue, psoas muscle, and the right kidney.
Microscopic examination of the joint fluid from his left knee showed a white blood cell count of 5005 and both large lymphoma cells and neutrophils (panel A), some of which showed intracellular negatively birefringent crystals (panel B, arrow shows neutrophil with intracellular negatively birefringent crystal, and arrowheads point to large lymphoma cells; panel C, arrow shows intracellular negatively birefringent crystal) consistent with monosodium urate (gout). He responded to gout treatment, but died of lymphoma 1.5 months later. Lymphomatous involvement of the joint is rare and has only been reported 13 times. Our case was diagnosed because it coincided with a gout flare related to treatment of his lymphoma necessitating arthrocentesis.
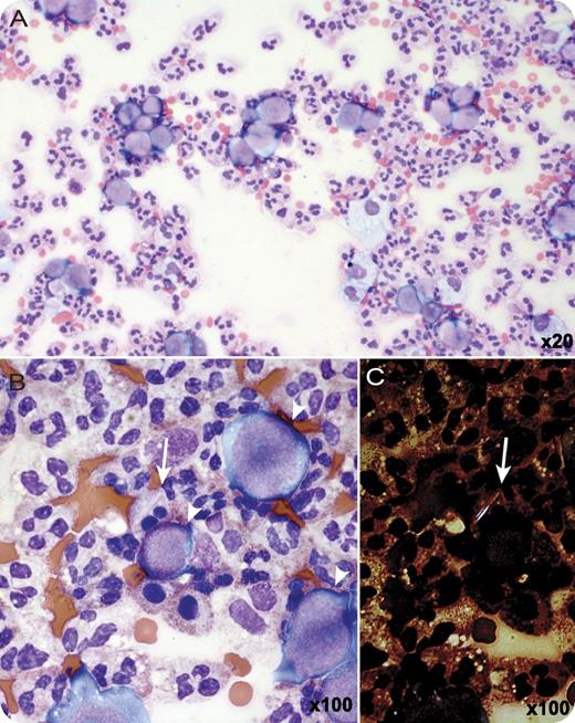
A 45-year-old man with a history of gout for 6 years was maintained with allopurinol. One and a half years prior to admission, he was diagnosed with diffuse large B-cell lymphoma (germinal center type) with primary orbital presentation. He failed combination chemotherapy with rituximab, cyclophosphamide, hydroxydaunomycin, oncovin, and prednisone because of continued disease progression and was switched to an alternative combination chemotherapy regimen with rituximab, ifosfamide, carboplatin, and etoposide, which provoked a polyarticular gout flare. His lymphoma was stable until he was admitted for a swollen left knee. At this time, he was noted to have widespread involvement of retroperitoneal and intraperitoneal soft tissue, psoas muscle, and the right kidney.
Microscopic examination of the joint fluid from his left knee showed a white blood cell count of 5005 and both large lymphoma cells and neutrophils (panel A), some of which showed intracellular negatively birefringent crystals (panel B, arrow shows neutrophil with intracellular negatively birefringent crystal, and arrowheads point to large lymphoma cells; panel C, arrow shows intracellular negatively birefringent crystal) consistent with monosodium urate (gout). He responded to gout treatment, but died of lymphoma 1.5 months later. Lymphomatous involvement of the joint is rare and has only been reported 13 times. Our case was diagnosed because it coincided with a gout flare related to treatment of his lymphoma necessitating arthrocentesis.
For additional images, visit the ASH IMAGE BANK, a reference and teaching tool that is continually updated with new atlas and case study images. For more information visit http://imagebank.hematology.org.

