In this issue of Blood, Aird et al1 review recent findings that suggest the endothelial protein C receptor (EPCR), known for its pivotal role in mediating cytoprotection against coagulopathy, proinflammatory cytokines, and vascular permeability, may serve as a receptor for Plasmodium falciparum–infected red blood cells (IRBCs) in the brain.2 In the process, coagulation is allowed to proceed unchecked and contributes to the pathogenesis of cerebral malaria.3
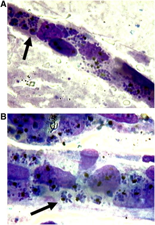
P falciparum sequestration in the microcirculation. Postmortem brain smears (magnification ×1000) taken from an adult Vietnamese patient who died of cerebral malaria showing intense packing of IRBCs in the microvasculature. The arrow in panel A indicates an IRBC with a mature trophozoite. The small round bodies to the right are free merozoites and/or malaria pigment after IRBC rupture. The arrow in panel B indicates an intact schizont with a cluster of merozoites within an IRBC. Note the absence of any inflammatory infiltrate. (Courtesy of Dr K. Silamut, Mahidol Oxford Research Unit, Bangkok, Thailand.)
P falciparum sequestration in the microcirculation. Postmortem brain smears (magnification ×1000) taken from an adult Vietnamese patient who died of cerebral malaria showing intense packing of IRBCs in the microvasculature. The arrow in panel A indicates an IRBC with a mature trophozoite. The small round bodies to the right are free merozoites and/or malaria pigment after IRBC rupture. The arrow in panel B indicates an intact schizont with a cluster of merozoites within an IRBC. Note the absence of any inflammatory infiltrate. (Courtesy of Dr K. Silamut, Mahidol Oxford Research Unit, Bangkok, Thailand.)
Over a century ago, Marchiafava and Bignami made the seminal observation that IRBCs are sequestered in the capillaries and postcapillary venules of the brain to create a mechanical obstruction to blood flow (see figure). Quantitative autopsy studies in the 1980s showed that sequestration is in fact widespread in infected patients, and the degree and organ specificity of sequestration correlated with clinical manifestations.4 Since then, research efforts have focused on the identification of the endothelial receptor(s) and parasite ligand(s) involved in the process of cytoadhesion to develop antiadhesive therapies. Such a therapeutic approach could be lifesaving in the first 24 to 36 hours of hospitalization during which most deaths occur.
The cytoadherent ligand P falciparum erythrocyte membrane protein 1 (PfEMP1) is a 200- to 350-kDa, antigenically diverse protein encoded by ∼60 copies of the var gene scattered throughout the P falciparum genome. Structurally, PfEMP1 consists of a conserved transmembrane and cytoplasmic domain, as well as highly variable extracellular domains assembled from an N-terminal segment, 2 to 7 Duffy-binding–like domains (DBLs), 1 to 2 cysteine-rich interdomain region, and C2 domains. PfEMP1 variants containing a combination of adhesion domains, termed domain cassettes (DCs) 8 and 13, have been linked to parasites from African children with severe childhood malaria.5
On endothelial cells, a number of receptors for PfEMP1 have been identified, including CD36 and intercellular adhesion molecule-1.6 The glycosaminoglycan heparin sulfate has also been implicated. However, none of the molecules reported thus far appear to have a role in sequestration in the brain. The situation is further complicated by the lack of an appropriate animal model as rodent malaria species either do not sequester or, even if they do, the parasite proteins involved show no homology to PfEMP1. The recent demonstration that parasites expressing DC8-containing PfEMP1 and parasites selected on brain endothelial cells could adhere to cell surface EPCR and immobilized recombinant EPCR protein is therefore both novel and timely.2 Together with an earlier report that showed decreased EPCR staining and increased fibrin deposition at the site of IRBC adhesion in cerebral microvessels in children who died of cerebral malaria,3 a causal link between cytoadhesion and coagulopathy has been proposed.
Several crucial questions regarding the role of EPCR as a cytoadhesion receptor remain. How likely is the low expression of the receptor on microvascular endothelium to support adhesion under physiological shear stress, and would the inflammatory mediators elicited by parasite products further reduce EPCR expression by proteolytic cleavage? Because adhesive interactions may be highly dependent on receptor-ligand density and topography of cell membranes, the observations made using recombinant proteins and endothelial cell lines in static assays will need to be validated on well-characterized primary brain microvascular endothelial cells under flow conditions in the absence or presence of proinflammatory mediators such as tumor necrosis factor α. The use of recombinant proteins also ignores the possible contribution of posttranslational modifications on ligands and receptors or the possible involvement of carbohydrate moieties in adhesive interactions. In the broader context of cell trafficking, very few conclusions are based entirely on static interactions in buffer alone.
A further question relates to the role of procoagulant damage in severe falciparum malaria. Coagulopathy as part of the clinical manifestations of severe falciparum malaria has in fact been noted since the beginning of the last century. The question for malariologists has always been whether the clotting abnormalities are sufficient to account for or contribute to the clinical syndrome. Moreover, although fibrin deposition is often seen in postmortem brain specimens of African children,3 it is a far less prominent feature in cerebral malaria in Southeast Asian adults.4 Do we then need to propose a different pathogenic mechanism for the childhood and adult disease, or is it a matter of different parasite strains or host susceptibility? This question may become more relevant with time, as mortality due to malaria in patients >5 years of age and in semi-immune adults is increasingly encountered even within Africa and may become the predominant epidemiological feature as successful control measures restrict transmission to localized hot spots in which both children and adults are equally susceptible.7
Finally, is cytoadhesion a “1 ligand–1 receptor” process in real life or does it involve multiple parasite ligands interacting with multiple host receptors in a complex dynamic process? Based on our ex vivo findings with clinical parasite isolates obtained from Thai adult patients, we previously demonstrated that IRBC adhesion to CD36 under flow conditions elicits postadhesion signaling events involving Src family kinases and the adaptor protein p130CAS in dermal microvascular endothelial cells that lead to receptor clustering and cytoskeletal rearrangement, which in turn enhance the magnitude of the adhesive strength.8 More recently, we showed that, although the integrin α5β1 does not support cytoadhesion on its own, it could be recruited to CD36 and acts synergistically with the molecule both in increasing the number of adherent IRBCs and the adhesive strength.9 These results suggest that cytoadhesion in the microcirculation may be mediated by multiple endothelial adhesion molecules and parasite ligands in a dynamic cytoadhesion synapse, the composition of which may vary according to the organ involved. This notion is consistent with the finding that each of the DBL domains of the EPCR-binding IT4var19 parasite line could adhere to multiple types of endothelial cells through as yet undetermined receptors.10 In this context, EPCR may be the new kid on the block that could either initiate adhesion or be recruited to a molecular complex on endothelial cells in the brain and/or other vital organs with resultant downstream functional effects.
Conflict-of-interest disclosure: The author declares no competing financial interests.
