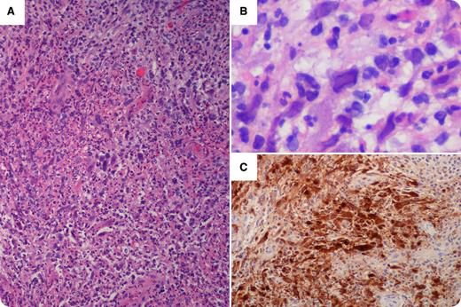
A 63-year-old man with relapsed chronic lymphocytic leukemia with deletion of chromosome 11q initiated second-line treatment with bendamustine and rituximab. Physical examination revealed peripheral lymphadenopathy and a herpes simplex virus (HSV)–like lesion in the right perioral region. After the first cycle, there was rapid improvement in blood counts and lymphadenopathy. However, he developed a new tender mass in the right femoral region measuring 5 cm. Needle biopsy showed extensive areas of necrosis associated with neutrophilic infiltration (panel A). Scattered within these areas of necrosis and in adjacent tissue, atypical cells with ground-glass nuclei were identified (panel B), some of which were multinucleated. An immunohistochemical stain for HSV was strongly positive within the atypical cells (panel C). Focal areas of the biopsy showed chronic lymphocytic leukemia, without evidence of large-cell transformation. HSV immunoglobulin G was reactive. With a diagnosis of HSV lymphadenitis, he was treated with a 10-day course of valacyclovir, resulting in resolution of the right femoral mass.
HSV lymphadenitis is a rare presentation of HSV infection which can occur in patients with hematologic malignancies who are immunosuppressed from their underlying disease and its treatments. Generally, it is a self-limited infection that responds well to antiviral therapy.
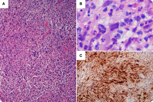
A 63-year-old man with relapsed chronic lymphocytic leukemia with deletion of chromosome 11q initiated second-line treatment with bendamustine and rituximab. Physical examination revealed peripheral lymphadenopathy and a herpes simplex virus (HSV)–like lesion in the right perioral region. After the first cycle, there was rapid improvement in blood counts and lymphadenopathy. However, he developed a new tender mass in the right femoral region measuring 5 cm. Needle biopsy showed extensive areas of necrosis associated with neutrophilic infiltration (panel A). Scattered within these areas of necrosis and in adjacent tissue, atypical cells with ground-glass nuclei were identified (panel B), some of which were multinucleated. An immunohistochemical stain for HSV was strongly positive within the atypical cells (panel C). Focal areas of the biopsy showed chronic lymphocytic leukemia, without evidence of large-cell transformation. HSV immunoglobulin G was reactive. With a diagnosis of HSV lymphadenitis, he was treated with a 10-day course of valacyclovir, resulting in resolution of the right femoral mass.
HSV lymphadenitis is a rare presentation of HSV infection which can occur in patients with hematologic malignancies who are immunosuppressed from their underlying disease and its treatments. Generally, it is a self-limited infection that responds well to antiviral therapy.
For additional images, visit the ASH IMAGE BANK, a reference and teaching tool that is continually updated with new atlas and case study images. For more information visit http://imagebank.hematology.org.

