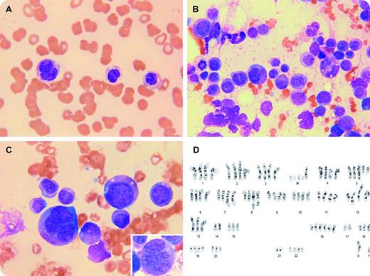
A 74-year-old man with colorectal carcinoma treated with surgery and adjuvant chemotherapy with oxaliplatin and fluorouracil 6 years previously was admitted with fever and suspicion of sepsis. Laboratory tests showed hemoglobin 137 g/L, mean corpuscular volume 94.7 fL, platelets 177 × 109/L, leukocytes 2.0 × 109/L, and neutrophils 0.8 × 109/L. Within 4 days his condition deteriorated rapidly with progressive pancytopenia and severe neutropenia. A peripheral blood smear showed hyposegmented neutrophils (pseudo–Peger-Huët cells) and abnormal granulation (see figure panel A). A bone marrow aspirate revealed markedly dysplastic changes predominantly affecting granulocytic precursors with multinucleated forms and dysplastic granulation (panel B, panel C inset). Cytogenetic analysis showed a complex karyotype with multiple numeric and structural anomalies (panel D; G-banded karyogram of 1 metaphase cell of the bone marrow showing hypotetraploidy with 88 chromosomes and multiple anomalies including several derivative and dicentric chromosomes, duplications, robertsonian translocations, and 5 markers). The patient's condition did not improve and he died 19 days after admission.
Infection with pancytopenia is a common problem. When it occurs in patients with previously diagnosed malignancy, metastatic disease and delayed drug effects are a consideration. In this case, the peripheral smear and marrow revealed myelodysplasia, presumably drug-related.
A 74-year-old man with colorectal carcinoma treated with surgery and adjuvant chemotherapy with oxaliplatin and fluorouracil 6 years previously was admitted with fever and suspicion of sepsis. Laboratory tests showed hemoglobin 137 g/L, mean corpuscular volume 94.7 fL, platelets 177 × 109/L, leukocytes 2.0 × 109/L, and neutrophils 0.8 × 109/L. Within 4 days his condition deteriorated rapidly with progressive pancytopenia and severe neutropenia. A peripheral blood smear showed hyposegmented neutrophils (pseudo–Peger-Huët cells) and abnormal granulation (see figure panel A). A bone marrow aspirate revealed markedly dysplastic changes predominantly affecting granulocytic precursors with multinucleated forms and dysplastic granulation (panel B, panel C inset). Cytogenetic analysis showed a complex karyotype with multiple numeric and structural anomalies (panel D; G-banded karyogram of 1 metaphase cell of the bone marrow showing hypotetraploidy with 88 chromosomes and multiple anomalies including several derivative and dicentric chromosomes, duplications, robertsonian translocations, and 5 markers). The patient's condition did not improve and he died 19 days after admission.
Infection with pancytopenia is a common problem. When it occurs in patients with previously diagnosed malignancy, metastatic disease and delayed drug effects are a consideration. In this case, the peripheral smear and marrow revealed myelodysplasia, presumably drug-related.
For additional images, visit the ASH IMAGE BANK, a reference and teaching tool that iscontinually updated with new atlas and case study images. For more information visit http://imagebank.hematology.org.

