A 48-year-old woman presented with severe epistaxis. Her hematologic profile showed marked thrombocytopenia (3 × 109/L), hemoglobin 11.6 g/dL, leukocyte count 5.2 × 109/L, and an unremarkable blood film except for rare platelets. She tested positive for HIV and the CD4 count was low (20/mm3).
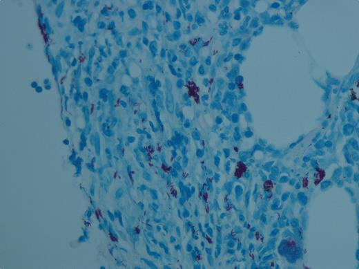
A tentative diagnosis of HIV–immune thrombocytopenic purpura (ITP) was made. She was treated with antiretroviral medications, IVIG, and subsequently with steroids for 4 weeks without improvement. Rituximab was deemed unsafe because of her immunosuppressed status. After 6 weeks of platelet unresponsiveness, a bone marrow examination was performed. The aspirate was dry. The core biopsy showed a hypercellular marrow with a heavy infiltrate of Mycobacterium avium intracellulare infection (ZN stain in figure). She was started on 4-drug antituberculosis treatment, and 2 weeks later her platelet count was 30 × 109/L. The platelet count steadily rose to 150 × 109/L by day 20 and was maintained thereafter.
This case highlights the value of performing a bone marrow examination in a patient with presumed HIV-ITP who was poorly responsive to antiretroviral medications and conventional treatment for immune thrombocytopenia. A secondary opportunistic infection was found by the bone marrow examination and the thrombocytopenia became responsive to therapy for atypical mycobacteria.
A 48-year-old woman presented with severe epistaxis. Her hematologic profile showed marked thrombocytopenia (3 × 109/L), hemoglobin 11.6 g/dL, leukocyte count 5.2 × 109/L, and an unremarkable blood film except for rare platelets. She tested positive for HIV and the CD4 count was low (20/mm3).
A tentative diagnosis of HIV–immune thrombocytopenic purpura (ITP) was made. She was treated with antiretroviral medications, IVIG, and subsequently with steroids for 4 weeks without improvement. Rituximab was deemed unsafe because of her immunosuppressed status. After 6 weeks of platelet unresponsiveness, a bone marrow examination was performed. The aspirate was dry. The core biopsy showed a hypercellular marrow with a heavy infiltrate of Mycobacterium avium intracellulare infection (ZN stain in figure). She was started on 4-drug antituberculosis treatment, and 2 weeks later her platelet count was 30 × 109/L. The platelet count steadily rose to 150 × 109/L by day 20 and was maintained thereafter.
This case highlights the value of performing a bone marrow examination in a patient with presumed HIV-ITP who was poorly responsive to antiretroviral medications and conventional treatment for immune thrombocytopenia. A secondary opportunistic infection was found by the bone marrow examination and the thrombocytopenia became responsive to therapy for atypical mycobacteria.
For additional images, visit the ASH IMAGE BANK, a reference and teaching tool that is continually updated with new atlas and case study images. For more information visit http://imagebank.hematology.org.
