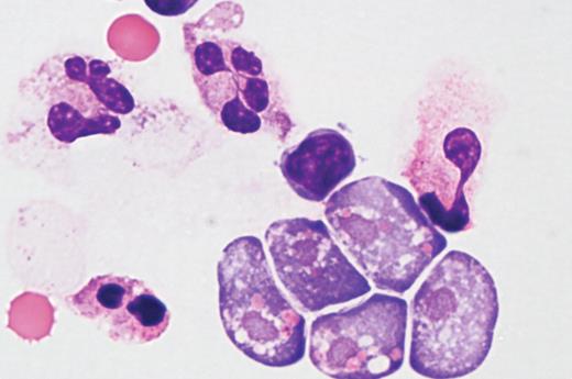
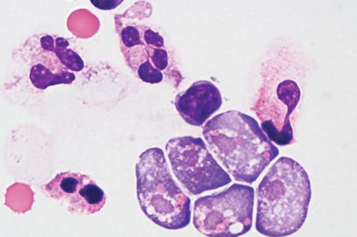
A 7-year-old boy with no prior illness or altered immunity presented to the emergency department with a 36-hour history of fever (103.7°F), emesis, headache, and lethargy. The patient had a history of swimming in a local lake the week before presentation. Physical examination revealed nuchal rigidity. Computed tomography (CT) of the head was normal. A lumbar puncture revealed a cerebrospinal fluid (CSF) protein of 670 mg/dL, glucose of 23 mg/dL, 265 red blood cells/mm3, and 308 white blood cells/mm3. The Giemsa-stained differential consisted of 54% polymorphonuclear leukocytes, 4% bands, 39% lymphocytes, and 1% monocytes. Numerous organisms were also identified that were consistent with Naegleria fowleri. Wet-mount preparation of fresh CSF confirmed the organism's characteristic swift motility. CSF culture and real-time PCR testing (Centers for Disease Control and Prevention) were positive for Naegleria fowleri and excluded Entamoeba histolytica. Follow-up CT scans demonstrated evidence of necrosis and cerebral edema. The patient was treated with amphotericin B, miltefocine, rifampin, fluconazole, and azithromycin but died on the ninth day of hospitalization. No autopsy was performed.
Naegleria fowleri meningoencephalitis is a rare, rapidly fatal amebic meningoencephalitis that occurs after swimming or diving in warm bodies of fresh water. There is no effective treatment and the fatality rate is more than 95%, with few known survivors.
A 7-year-old boy with no prior illness or altered immunity presented to the emergency department with a 36-hour history of fever (103.7°F), emesis, headache, and lethargy. The patient had a history of swimming in a local lake the week before presentation. Physical examination revealed nuchal rigidity. Computed tomography (CT) of the head was normal. A lumbar puncture revealed a cerebrospinal fluid (CSF) protein of 670 mg/dL, glucose of 23 mg/dL, 265 red blood cells/mm3, and 308 white blood cells/mm3. The Giemsa-stained differential consisted of 54% polymorphonuclear leukocytes, 4% bands, 39% lymphocytes, and 1% monocytes. Numerous organisms were also identified that were consistent with Naegleria fowleri. Wet-mount preparation of fresh CSF confirmed the organism's characteristic swift motility. CSF culture and real-time PCR testing (Centers for Disease Control and Prevention) were positive for Naegleria fowleri and excluded Entamoeba histolytica. Follow-up CT scans demonstrated evidence of necrosis and cerebral edema. The patient was treated with amphotericin B, miltefocine, rifampin, fluconazole, and azithromycin but died on the ninth day of hospitalization. No autopsy was performed.
Naegleria fowleri meningoencephalitis is a rare, rapidly fatal amebic meningoencephalitis that occurs after swimming or diving in warm bodies of fresh water. There is no effective treatment and the fatality rate is more than 95%, with few known survivors.
For additional images, visit the ASH IMAGE BANK, a reference and teaching tool that is continually updated with new atlas and case study images. For more information visit http://imagebank.hematology.org.

