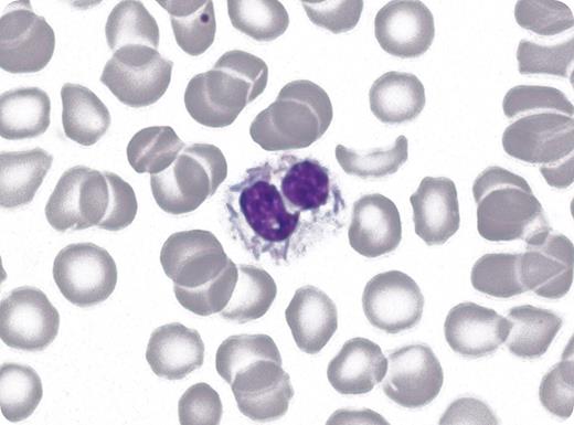
A 29-year-old patient was admitted to the intensive care unit with fulminant septic shock leading to multiorgan failure and diffuse intravascular coagulation (DIC). He had seriously injured both hands with open wounds after a fall from his bicycle 3 days earlier. His medical history included splenectomy after trauma 3 years earlier. The peripheral blood smear revealed granulocytes with multiple intracellular rod-shaped bacilli (see figure). Also seen is a Howell-Jolly body and an absence of platelets. The platelet count was 13 × 109/L and the coagulation tests were prolonged, consistent with DIC. Howell-Jolly bodies might have been related to the previous splenectomy, the serious infection, or both; however, they persisted after recovery, suggesting that they were related to the previous splenectomy.
A determination by the microbiologist indicated that the granulocytic inclusions were Capnocytophaga canimorsus. Broad-spectrum antibiotics were replaced by penicillin and the patient recovered. Further information revealed that his sister's dog had licked his wounded hands 2 days before the admission. The canine oral cavity is a well-known reservoir of this pathogen, which can cause life-threatening infections in splenectomized patients.
A 29-year-old patient was admitted to the intensive care unit with fulminant septic shock leading to multiorgan failure and diffuse intravascular coagulation (DIC). He had seriously injured both hands with open wounds after a fall from his bicycle 3 days earlier. His medical history included splenectomy after trauma 3 years earlier. The peripheral blood smear revealed granulocytes with multiple intracellular rod-shaped bacilli (see figure). Also seen is a Howell-Jolly body and an absence of platelets. The platelet count was 13 × 109/L and the coagulation tests were prolonged, consistent with DIC. Howell-Jolly bodies might have been related to the previous splenectomy, the serious infection, or both; however, they persisted after recovery, suggesting that they were related to the previous splenectomy.
A determination by the microbiologist indicated that the granulocytic inclusions were Capnocytophaga canimorsus. Broad-spectrum antibiotics were replaced by penicillin and the patient recovered. Further information revealed that his sister's dog had licked his wounded hands 2 days before the admission. The canine oral cavity is a well-known reservoir of this pathogen, which can cause life-threatening infections in splenectomized patients.
Many Blood Work images are provided by the ASH IMAGE BANK, a reference and teaching tool that is continually updated with new atlas images and images of case studies. For more information or to contribute to the Image Bank, visit www.ashimagebank.org.

