Abstract
Vascular endothelial growth factor (VEGF) signaling in endothelial cells serves a critical role in physiologic and pathologic angiogenesis. Endothelial cells secrete soluble VEGF receptor-1 (sVEGFR-1/sFlt-1), an endogenous VEGF inhibitor that sequesters VEGF and blocks its access to VEGF receptors. This raises the question of how VEGF passes through this endogenous VEGF trap to reach its membrane receptors on endothelial cells, a step required for VEGF-driven angiogenesis. Here, we show that matrix metalloproteinase-7 (MMP-7) degrades human sVEGFR-1, which increases VEGF bioavailability around the endothelial cells. Using a tube formation assay, migration assay, and coimmunoprecipitation assay with human umbilical vein endothelial cells (HUVECs), we show that the degradation of sVEGFR-1 by MMP-7 liberates the VEGF165 isoform from sVEGFR-1. The presence of MMP-7 abrogates the inhibitory effect of sVEGFR-1 on VEGF-induced phosphorylation of VEGF receptor-2 on HUVECs. These data suggest that VEGF escapes the sequestration by endothelial sVEGFR-1 and promotes angiogenesis in the presence of MMP-7.
Introduction
Vascular endothelial growth factor (VEGF) plays a critical role in developmental, physiologic, and pathologic angiogenesis.1,2 Although its significance in angiogenesis has been documented in a variety of models,1,2 a paradoxical feature of VEGF is its wide distribution in normal adult tissues, wherein vascular quiescence is maintained.3 Although the VEGF level is generally high in the blood and in lesions associated with angiogenesis,1,2,4 an increase in VEGF concentration in the blood does not trigger angiogenesis outside the lesion. This suggests that the mere presence or an increase in VEGF protein level is insufficient to initiate VEGF-driven angiogenesis. However, little is known about the factors governing the bioavailability of VEGF in vivo.
The interaction of VEGF with several cytokines inhibits VEGF activity.5-10 This type of regulation could account for vascular quiescence in the presence of VEGF in normal tissue. VEGF sequestration at the tissue level may involve various VEGF inhibitors, which may be tissue specific. For example, soluble VEGF-receptor 1 (sVEGFR-1) sequesters VEGF in the normal cornea.11 sVEGFR-1 is also implicated in the control of VEGF activity in pregnancy because the overproduction of sVEGFR-1 results in endothelial dysfunction associated with preeclampsia.12 VEGF-binding inhibitors may also be active in other tissues, although this has not been proven yet. In addition to the corneal epithelial cell11 and placental trophoblast,13 the endothelial cell is a major cell type that expresses14 and deposits sVEGFR-1 in the adjacent extracellular matrix.15 Endothelial-derived sVEGFR-1 sequesters exogenous VEGF,16 suggesting a role as a natural inhibitor of paracrine VEGF signaling in endothelial cells to maintain normal vascular quiescence. Because VEGF-dependent activation of VEGF receptor-2 (VEGFR-2) on endothelial cells is an indispensible prerequisite for VEGF-driven angiogenesis,1 paracrine VEGF needs to escape binding to sVEGFR-1 to bind to endothelial VEGFR-2 in the shift toward the proangiogenic state. However, the mechanism that regulates the balance between VEGF and sVEGFR-1 in the endothelial microenvironment remains unknown. The fate of sVEGFR-1–trapped VEGF—whether discarded or recycled—has also remained elusive.
Matrix metalloproteinases (MMPs) represent a major family of extracellular proteases that target a variety of extracellular molecules such as extracellular matrix (ECM) components, cytokines, and receptors.17,18 MMPs are generally up-regulated in several conditions that accompany angiogenesis such as wound healing, menstruation, cancer, age-related macular degeneration, diabetic retinopathy, atherosclerosis, rheumatoid arthritis, microbial infection, and other inflammatory diseases.19-23 Some family members are recognized as proangiogenic factors involved in remodeling the perivascular ECM and liberating angiogenic factors from the ECM in pathologic conditions.17,18 MMP-9 has been implicated in the increase in VEGF bioavailability in pathologic mouse models by a largely unknown mechanism.24,25 In contrast, gene transfer of human MMP-9 decreases angiogenesis without affecting the extracellular VEGF level in a tumor xenograft model.26 Although mouse MMPs cleave the mouse VEGF164 isoform,27 the corresponding human VEGF165, the most biologically potent isoform,1 is resistant to human MMPs, at least in vitro.28,29 These reports indicate that MMPs modulate VEGF availability differently in mice and humans. Human MMPs degrade natural VEGF binding inhibitors including connective tissue growth factor (CTGF),28,30 platelet factor 4 (PF4),31 and heparin affin regulatory peptide (HARP)30 in vitro. This selective proteolysis of VEGF inhibitors in humans may trigger the VEGF-driven angiogenic switch by liberating VEGF from these inhibitors. An in vivo example is a human tumor xenograft model showing that MMP-7 reactivates CTGF-inactivated VEGF secreted from human fibroblasts.32 Tumor angiogenesis in patients with colorectal cancer with high VEGF but low MMP-7 expression is equivalent to that in patients with low VEGF expression.32 In contrast, patients with both high VEGF and high MMP-7 expression exhibit increased tumor angiogenesis,32 indicating the role of human MMP-7 as a VEGF liberator from VEGF-binding inhibitors. However, it is still unclear whether proteolysis of sVEGFR-1 is also controlled by MMPs and whether this proteolysis affects VEGF availability around endothelial cells.
Here, we demonstrate that human MMP-7 degrades human recombinant and native sVEGFR-1, resulting in the escape of VEGF from sequestration by sVEGFR-1. Using in vitro assays, we demonstrate that MMP-7 initiates VEGF-driven angiogenesis that otherwise would be blocked by sVEGFR-1. We also show that MMP-7 liberates VEGF from sVEGFR-1 secreted from human endothelial cells and, thereby, provide a mechanism for the regulation of VEGF bioavailability within the local endothelial microenvironment.
Methods
Cell culture
HUVECs (DS Pharma Biomedical, Osaka, Japan) were maintained in MCDB131 (Invitrogen, Carlsbad, CA) supplemented with 10% fetal bovine serum (FBS), 10 ng/mL basic fibroblast growth factor (Reliatech, Braunschweig, Germany), and 10 mM glutamine in a dish coated with collagen (Nitta Gelatin, Osaka, Japan). HUVECs were cultured in a humidified atmosphere of 95% air and 5% CO2 at 37°C.
Degradation assays
Recombinant human 50 ng sVEGFR-1 (Cell Sciences, Canton, MA), VEGF165 (R&D Systems, Minneapolis, MN), and insulin-like growth factor binding protein 3 (IGFBP-3; R&D Systems) were incubated with active human MMP-7 (Millipore, Bedford, MA), human MMP-2 (R&D Systems), or human MMP-9 (R&D Systems) in 25 μL buffer (10 mM HEPES [4-(2-hydroxyethyl)-1-piperazineethanesulfonic acid], pH 7.4, 150 mM NaCl, and 5 mM CaCl2) using a 0.5-mL 2-methacryloyloxyethyl phosphorylcholine (MPC) polymer-coated tube (Assist, Tokyo, Japan) to prevent protein absorption. Pro–MMP-2 and pro–MMP-9 were activated by p-aminophenylmercuric acetate (Sigma-Aldrich, St Louis, MO) before use according to the manufacturer's protocol. Unless specified, substrates were incubated with MMPs at a 1:1 substrate/enzyme molar ratio at 37°C for 24 hours. For a time-course experiment of the interaction of sVEGFR-1 with MMP-7, the molar ratio was 2:1. To investigate the degradation of human native sVEGFR-1 from HUVECs, the supernatant of HUVECs was collected after incubation with 5 mL MCDB131 containing 10 mM glutamine at 37°C for 48 hours. The supernatant was centrifuged at 800g for 10 minutes, and 500 μL of supernatant was concentrated with a Microcon filter (Millipore) and then incubated with MMP-7 at 37°C for 24 hours. When specified, 20 mM ethylenediaminetetraacetic acid (EDTA) was added before incubation with MMPs. The reactions were terminated with the addition of Laemmli buffer, and the sample was boiled for 5 minutes and then subjected to sodium dodecyl sulfate–polyacrylamide gel electrophoresis (SDS-PAGE).
NH2-terminal sequence analysis
Recombinant human sVEGFR-1 (3.6 μg) was incubated with active human MMP-7 (375 ng) at a 2:1 substrate/enzyme molar ratio in buffer (10 mM HEPES, pH 7.4, 150 mM NaCl, 5 mM CaCl2, and 0.05% Brij-35) at 37°C for 24 hours. The reaction was terminated with the addition of 100 mM EDTA, 10% glycerol, and Laemmli buffer, and the sample was boiled for 5 minutes, subjected to 12% SDS-PAGE, and blotted on a polyvinylidene fluoride (PVDF) membrane (Millipore). Proteins were visualized with SYPRO Ruby Stain Protein Blot Stain (Molecular Probes, Eugene, OR). The N-terminal amino acid sequences were determined with a Procise cLC protein sequencer (Applied Biosystems, Foster City, CA).
Tube formation assay
HUVECs were incubated in MCDB 131 with 0.5% FBS for 6 hours before the experiment. Matrigel (50 μL; Becton Dickinson, Franklin Lakes, NJ) was applied to 96-well culture dishes on ice and polymerized for 30 minutes at 37°C. HUVECs (104) in 50 μL MCDB131 with 0.1% bovine serum albumin (BSA) and 10 mM glutamine were seeded onto the layer of Matrigel, and 50 μL of the medium containing VEGF, sVEGFR-1, and MMP-7 was added. After 18 hours at 37°C, the wells were photographed. The length of the endothelial tube networks was quantified using National Institutes of Health (NIH; Bethesda, MD) image software. Each assay condition was assessed in quadruplet. For experiments involving conditioned medium, VEGF (final concentration, 20 ng/mL) was incubated with sVEGFR-1 at 4°C for 24 hours and subsequently with MMP-7 at 37°C for 24 hours at a molar ratio of 1:2:1. The MMP-7–treated supernatant was incubated with a neutralizing anti–human VEGF antibody (1000 ng/mL; R&D Systems) at room temperature for 30 minutes before the assay.
Endothelial cell migration assay
HUVECs (2 × 104) in 100 μL MCDB131 with 0.1% BSA and 10 mM glutamine were seeded onto polycarbonate culture inserts (8 μm pore size– BD Biosciences, San Jose, CA). Three microliters of FBS (final concentration, 0.5%) and 600 μL MCDB131 containing 0.1% BSA, 10 mM glutamine, VEGF (20 ng/mL), and other cytokines were added to the lower compartment of 24-well plates. Incubation with cytokines was performed as described above at a molar ratio of VEGF:sVEGFR-1:MMP-7 of 1:2:3. After 6 hours of incubation at 37°C, the cell-culture inserts were fixed and stained with hematoxylin. The upper surface of the insert was wiped with a cotton swab. Cells that had migrated to the lower side of the insert were counted. Each assay condition was measured in triplicate.
Western blot analysis
The reaction solutions were denatured by boiling in Laemmli buffer or cells were lysed in a buffer containing 50 mM Tris, pH 7.6, 150 mM NaCl, 1 mM MgCl2, 2 mM EDTA, 1 mM sodium orthovanadate, 10% glycerol, 1% NP-40, and complete protease inhibitor (Roche Diagnostics, Mannheim, Germany) and boiled in Laemmli buffer. Samples were separated by SDS-PAGE and transferred to a PVDF membrane. The membrane was blocked with 5% nonfat milk and 1% BSA in Tris-buffered saline with Tween 20 (20 mM Tris [pH 7.4], 137 mM NaCl, and 0.1% Tween 20) for 1 hour at room temperature, and incubated with primary antibody overnight at 4°C and with secondary antibody for 1 hour at room temperature. The antibodies used were to the extracellular region of VEGFR-1 to detect sVEGFR-1 (R&D Systems), VEGF (Santa Cruz Biotechnology, Santa Cruz, CA), VEGFR-2 (R&D Systems), VEGFR-2 Tyr1054/Tyr1059 phosphospecific antibody (Biosource, Camarillo, CA), IGFBP-3 (Santa Cruz Biotechnology), and actin (Santa Cruz Biotechnology). The secondary antibodies were horseradish peroxidase–conjugated antibodies (Zymed, San Francisco, CA). Proteins were detected using electrochemical luminescence (GE Healthcare, Little Chalfont, United Kingdom) and film (GE Healthcare).
Silver staining analysis
The samples were prepared as described above, and silver stained using a silver staining kit (Sekisui Medical, Tokyo, Japan) according to the manufacturer's protocol.
Phosphorylation assay
HUVECs were cultured in collagen-coated 35-mm dishes. The cells were serum starved for 20 hours before the assay, washed with MCDB131, and incubated for 5 minutes with the sample solutions. The cells were washed with PBS, extracted, and analyzed by Western blotting with antibodies to phosphorylated VEGFR-2 and total VEGFR-2, as described above. sVEGFR-1 (91.4 ng/mL) was incubated with MMP-7 (28.6 ng/mL) for 48 hours at 37°C in MCDB131 with 0.1% BSA, then with VEGF (20 ng/mL) overnight at 4°C, and finally with anti-VEGF antibody (1000 ng/mL) for 30 minutes at room temperature, and used for the assay.
Coimmunoprecipitation
Semiconfluent 10-cm dishes containing HUVECs were washed with MCDB131 and incubated with 5 mL MCDB131 with 10 mM glutamine at 37°C for 48 hours. The conditioned medium was centrifuged for 10 minutes at 800g, and 0.5 mL conditioned medium from HUVECs was incubated with VEGF (50 ng) in a 0.5-mL MPC polymer-coated tube at 4°C for 24 hours or, additionally, with MMP-7 (300 ng) at 37°C for 24 hours. The media were incubated with anti-VEGF antibody (800 ng/mL; R&D Systems) for 1 hour and then with 10 μL protein G (Invitrogen, Carlsbad, CA) overnight at 4°C. The sample was centrifuged at 7700g for 1 minute, and the flow-through fractions were collected. The immunoprecipitates were washed 3 times with PBS containing 0.1% NP-40, dissolved in 30 μL of 1.5× Laemmli buffer, boiled for 5 minutes, and again centrifuged at 7700g for 1 minute, and the sample solutions were collected. The immunoprecipitated VEGF and sVEGFR-1 were subjected to Western blot analysis.
Statistical analysis
The data are expressed as the mean plus or minus the standard deviation. Significance was assessed using Dunnett test. Differences were considered significant if P was less than .05.
Results
MMP-7 degrades sVEGFR-1
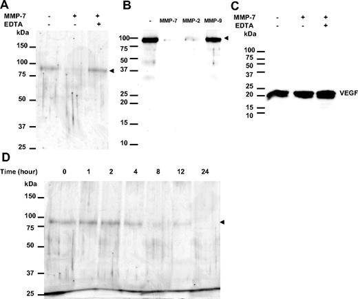
We first tested whether sVEGFR-1 is a substrate of MMP-7. Incubation with MMP-7 resulted in degradation of sVEGFR-1, as detected by silver staining (Figure 1A). This effect was abrogated in the presence of EDTA, an MMP inhibitor (Figure 1A), showing that the degradation resulted from the proteolytic activity of MMP-7. MMP-2 displayed a similar activity to that of MMP-7, whereas MMP-9 had much less effect, as detected by Western blotting (Figure 1B). IGFBP-3, a known substrate for these MMPs,33,34 was degraded by the 3 MMPs (data not shown). Human VEGF165 was refractory to MMP-7, -2, and -9 in our experimental condition (Figure 1C and data not shown), which is consistent with previous reports.28,29 MMP-7 promoted sVEGFR-1 degradation in a time-dependent manner (Figure 1D), confirming the results shown in Figure 1A.
MMP-7 degrades human recombinant sVEGFR-1 but not VEGF. (A) Human recombinant sVEGFR-1 was incubated with MMP-7 in the presence or absence of the MMP inhibitor EDTA. The digestion products were analyzed by SDS-PAGE and silver staining. ▶ indicates the full-length recombinant sVEGFR-1 (96 kDa). (B) Human recombinant sVEGFR-1 was incubated with MMP-7, -2, or -9 and analyzed by SDS-PAGE and Western blotting. sVEGFR-1 was detected by an antibody directed against the extracellular region of VEGFR-1, which shares identical extracellular domains with sVEGFR-1. ▶ indicates full-length recombinant sVEGFR-1. (C) Human recombinant VEGF165 was incubated with MMP-7 in the presence or absence of EDTA and analyzed by SDS-PAGE and Western blotting. (D) Human recombinant sVEGFR-1 was incubated with MMP-7 at different times and analyzed by SDS-PAGE and silver staining. ▶ indicates the full-length recombinant sVEGFR-1.
MMP-7 degrades human recombinant sVEGFR-1 but not VEGF. (A) Human recombinant sVEGFR-1 was incubated with MMP-7 in the presence or absence of the MMP inhibitor EDTA. The digestion products were analyzed by SDS-PAGE and silver staining. ▶ indicates the full-length recombinant sVEGFR-1 (96 kDa). (B) Human recombinant sVEGFR-1 was incubated with MMP-7, -2, or -9 and analyzed by SDS-PAGE and Western blotting. sVEGFR-1 was detected by an antibody directed against the extracellular region of VEGFR-1, which shares identical extracellular domains with sVEGFR-1. ▶ indicates full-length recombinant sVEGFR-1. (C) Human recombinant VEGF165 was incubated with MMP-7 in the presence or absence of EDTA and analyzed by SDS-PAGE and Western blotting. (D) Human recombinant sVEGFR-1 was incubated with MMP-7 at different times and analyzed by SDS-PAGE and silver staining. ▶ indicates the full-length recombinant sVEGFR-1.
We could not detect proteolytic fragments of sVEGFR-1 in the experiments described above (Figure 1A,B,D), probably because the sVEGFR-1 degradation products were unstable. To identify the cleavage sites, we tried to detect fragments using a buffer with the detergent Brij-35, which was less effective in degrading sVEGFR-1 (Figures 2A,B). In this condition, the sVEGFR-1 degradation products became visible in a time-dependent manner in Western blotting (Figure 2A) and SYPRO Ruby staining (Figure 2B). We collected the proteolytic samples and analyzed the N-terminal amino acid sequences of the proteins that could be visualized with SYPRO Ruby stain (Figure 2C). We could analyze 4 bands. The larger 3 bands had the intact N-terminal sequence of sVEGFR-1 (Figure 2C). These bands should be cleaved by MMP-7 specifically at the C-terminal side of sVEGFR-1. The other band at 12 kDa had the sequence starting from Leu420 of sVEGFR-1 (Figure 2C). These results confirmed the degradation of sVEGFR-1 by MMP-7 and identified one cleavage site.
Identification of the cleavage sites in sVEGFR-1 by MMP-7. (A) Human recombinant sVEGFR-1 was incubated with MMP-7 at different times in the original buffer to which 0.05% Brij-35 had been added, and analyzed by 7.5% SDS-PAGE and Western blotting. ▶ indicates the full-length recombinant sVEGFR-1 (96 kDa). → indicates the proteolytic fragments of recombinant sVEGFR1. (B) Human recombinant sVEGFR-1 (1.6 μg) was incubated with MMP-7 at a substrate/enzyme molar ratio 2:1 for 24 hours. The digestion products were analyzed by 12% SDS-PAGE and SYPRO Ruby staining. The arrowhead indicates the full-length recombinant sVEGFR-1 (96 kDa). → indicates the degradation products of sVEGFR-1. → represents MMP-7, whose mobility in SDS-PAGE in our condition was identical to the sample of full-length MMP-7 alone and whose sequence started from Tyr1 of the active form of MMP-7 according to the NH2-terminal sequence analysis (data not shown). (C) The estimated molecular mass and NH2-terminal sequence of the proteolytic products of sVEGFR-1 observed in this study. The degradation samples (total of 3.6 μg sVEGFR-1 and 375 ng MMP-7) were subjected to 12% SDS-PAGE followed by transferring to PVDF membrane for SYPRO Ruby staining. The N-terminal amino acid sequences of the visualized bands were analyzed.
Identification of the cleavage sites in sVEGFR-1 by MMP-7. (A) Human recombinant sVEGFR-1 was incubated with MMP-7 at different times in the original buffer to which 0.05% Brij-35 had been added, and analyzed by 7.5% SDS-PAGE and Western blotting. ▶ indicates the full-length recombinant sVEGFR-1 (96 kDa). → indicates the proteolytic fragments of recombinant sVEGFR1. (B) Human recombinant sVEGFR-1 (1.6 μg) was incubated with MMP-7 at a substrate/enzyme molar ratio 2:1 for 24 hours. The digestion products were analyzed by 12% SDS-PAGE and SYPRO Ruby staining. The arrowhead indicates the full-length recombinant sVEGFR-1 (96 kDa). → indicates the degradation products of sVEGFR-1. → represents MMP-7, whose mobility in SDS-PAGE in our condition was identical to the sample of full-length MMP-7 alone and whose sequence started from Tyr1 of the active form of MMP-7 according to the NH2-terminal sequence analysis (data not shown). (C) The estimated molecular mass and NH2-terminal sequence of the proteolytic products of sVEGFR-1 observed in this study. The degradation samples (total of 3.6 μg sVEGFR-1 and 375 ng MMP-7) were subjected to 12% SDS-PAGE followed by transferring to PVDF membrane for SYPRO Ruby staining. The N-terminal amino acid sequences of the visualized bands were analyzed.
To discount the possibility that this phenomenon was artificial and limited to the recombinant protein, we tested the susceptibility to MMP-7 of native sVEGFR-1 produced by HUVECs. MMP-7 treatment of the supernatant of HUVECs dose-dependently decreased the amount of endogenous sVEGFR-1. This reduction was accompanied by a concomitant increase in smaller molecular weight bands, presumably the proteolytic fragments of native sVEGFR-1 (Figure 3). These results indicate that MMP-7 also degrades native sVEGFR-1 from the human endothelium.
MMP-7 degrades human native sVEGFR-1 from endothelial cells. The supernatant of HUVECs was incubated with MMP-7 at the doses indicated. The digestion products were analyzed by SDS-PAGE and Western blotting using antibody against the extracellular region of VEGFR-1. ▶ indicates the putative band of full-length sVEGFR-1 that corresponds with the molecular mass of human native sVEGFR-1 from endothelial cells (110 kDa).16 → indicates the putative proteolytic fragments of sVEGFR1 from endothelial cells.
MMP-7 degrades human native sVEGFR-1 from endothelial cells. The supernatant of HUVECs was incubated with MMP-7 at the doses indicated. The digestion products were analyzed by SDS-PAGE and Western blotting using antibody against the extracellular region of VEGFR-1. ▶ indicates the putative band of full-length sVEGFR-1 that corresponds with the molecular mass of human native sVEGFR-1 from endothelial cells (110 kDa).16 → indicates the putative proteolytic fragments of sVEGFR1 from endothelial cells.
MMP-7 reactivates sVEGFR-1-inactivated VEGF
We used tube formation and migration assays to investigate whether the degradation of sVEGFR-1 by MMP-7 affects VEGF-stimulated angiogenesis. sVEGFR-1 blocked both VEGF165-induced tube formation and migration of HUVECs (Figure 4A-C). The inhibitory activity of sVEGFR-1 was counteracted by subsequent treatment with MMP-7, whereas MMP-7 itself showed no significant activity in these assays (Figure 4A-C). The restored activity was blocked by anti-VEGF antibody (Figure 4B,C), indicating that MMP-7 revitalized the inactive VEGF. These data suggest that MMP-7 liberates VEGF from sequestration by sVEGFR-1 and triggers angiogenesis.
MMP-7 reactivates sVEGFR-1-inactivated VEGF in angiogenesis assays. (A) Microscopic photographs of the HUVEC network formation in the tube formation assay. NC indicates incubation of HUVECs with MCDB131 medium with 0.1% BSA in the assay. VEGF indicates the medium containing 20 ng/mL VEGF. VEGF + sVEGFR-1 indicates the medium with VEGF and sVEGFR-1 incubated for 24 hours before being added to HUVECs. VEGF + sVEGFR-1 + MMP-7 indicates the medium with VEGF and sVEGFR-1 incubated for 24 hours followed by incubation with MMP-7 for 24 hours before being added to HUVECs. Bars represent 500 μm. (B) Quantification of tube length in the tube formation assay. *P < .01, n = 4. (C) Quantification of HUVECs that migrated in the migration assay. *P < .01, n = 3.
MMP-7 reactivates sVEGFR-1-inactivated VEGF in angiogenesis assays. (A) Microscopic photographs of the HUVEC network formation in the tube formation assay. NC indicates incubation of HUVECs with MCDB131 medium with 0.1% BSA in the assay. VEGF indicates the medium containing 20 ng/mL VEGF. VEGF + sVEGFR-1 indicates the medium with VEGF and sVEGFR-1 incubated for 24 hours before being added to HUVECs. VEGF + sVEGFR-1 + MMP-7 indicates the medium with VEGF and sVEGFR-1 incubated for 24 hours followed by incubation with MMP-7 for 24 hours before being added to HUVECs. Bars represent 500 μm. (B) Quantification of tube length in the tube formation assay. *P < .01, n = 4. (C) Quantification of HUVECs that migrated in the migration assay. *P < .01, n = 3.
MMP-7 allows VEGF access to endothelial cells
Endothelial cells express sVEGFR-1,14 which should trap and prevent paracrine VEGF from binding to its membrane receptors on endothelial cells. We assume that, in pathologic conditions accompanied by MMP-7 expression, MMP-7 degrades sVEGFR-1 around the endothelial cells and helps paracrine VEGF access the membrane receptors. This would trigger VEGF-driven angiogenesis, which is suppressed under normal conditions despite the broad distribution of VEGF. To assess this possibility, we tested the ability of sVEGFR-1 to block VEGF binding to its receptor in the presence or absence of MMP-7. sVEGFR-1 blocked VEGF-induced phosphorylation of VEGFR-2 (Figure 5A), which is the primary mediator of VEGF signaling for angiogenesis.1 In contrast, after incubation with MMP-7, sVEGFR-1 failed to block VEGF access to the endothelial cell receptor, resulting in phosphorylation of VEGFR-2 on HUVECs (Figure 5A). However, unexpectedly and in contrast to the results of the tube formation and migration assays (Figure 4B,C), MMP-7 failed to recover the phosphorylative activity of sVEGFR-1-sequestered VEGF when added after incubation of VEGF with sVEGFR-1 (data not shown).
VEGF eludes sVEGFR-1 and access endothelial cells in the presence of MMP-7. (A) Phosphorylation of VEGFR-2 after treatment of HUVECs with VEGF + sVEGFR-1 + MMP-7. sVEGFR-1 (91.4 ng/mL) was incubated with MMP-7 (28.6 ng/mL) for 48 hours, with VEGF (20 ng/mL) overnight, and with anti-VEGF antibody for 30 minutes. The sample solutions were added to HUVECs for 5 minutes, and the treated cells were analyzed by Western blotting with antibody against phospho-VEGFR-2 (Tyr1054/1059). The total amount of VEGFR-2 was also measured. (B) Coimmunoprecipitation assay of exogenous VEGF and endothelial sVEGFR-1. Recombinant VEGF165 was added to the supernatant of HUVECs for 24 hours, and the supernatant was incubated with MMP-7 for 24 hours and then immunoprecipitated with anti-VEGF antibody. The precipitated proteins and unbound supernatant fluids were analyzed for sVEGFR-1 and VEGF by Western blotting.
VEGF eludes sVEGFR-1 and access endothelial cells in the presence of MMP-7. (A) Phosphorylation of VEGFR-2 after treatment of HUVECs with VEGF + sVEGFR-1 + MMP-7. sVEGFR-1 (91.4 ng/mL) was incubated with MMP-7 (28.6 ng/mL) for 48 hours, with VEGF (20 ng/mL) overnight, and with anti-VEGF antibody for 30 minutes. The sample solutions were added to HUVECs for 5 minutes, and the treated cells were analyzed by Western blotting with antibody against phospho-VEGFR-2 (Tyr1054/1059). The total amount of VEGFR-2 was also measured. (B) Coimmunoprecipitation assay of exogenous VEGF and endothelial sVEGFR-1. Recombinant VEGF165 was added to the supernatant of HUVECs for 24 hours, and the supernatant was incubated with MMP-7 for 24 hours and then immunoprecipitated with anti-VEGF antibody. The precipitated proteins and unbound supernatant fluids were analyzed for sVEGFR-1 and VEGF by Western blotting.
To simulate the endothelial microenvironment, we added exogenous VEGF to the supernatant of HUVECs as a model of paracrine VEGF movement toward endothelial cells. A coimmunoprecipitation assay showed that exogenous VEGF was immunoprecipitated with native sVEGFR-1, whereas without addition of exogenous VEGF, sVEGFR-1 was detected exclusively in the flow-through fraction (Figure 5B). These results show that native sVEGFR-1 from endothelial cells traps exogenous VEGF. Subsequent incubation with MMP-7 caused selective degradation of native sVEGFR-1, but VEGF remained intact (Figure 5B). These data suggest that, in the presence of MMP-7, paracrine VEGF passes through the barrier of sVEGFR-1 to endothelial cells, resulting in the selective utilization of VEGF depending on MMP availability in the endothelial microenvironment.
Discussion
Our data support a model whereby human MMP-7 increases the bioavailability of human VEGF165 in the endothelial microenvironment (Figure 6). Selective degradation of sVEGFR-1 by MMP-7 leads to VEGF exploitation by endothelial cells, which stimulates migration, tube network formation, and phosphorylation of VEGFR-2. These VEGF-induced effects do not occur in the presence of sVEGFR-1 without MMP-7. These findings suggest that MMP-7 modulates VEGF activity by changing the balance between VEGF and sVEGFR-1.
Model of VEGF regulation by sVEGFR-1 and MMP-7 around endothelial cells. (A) Human endothelial cells secrete sVEGFR-1 and block the access of VEGF to its receptor in the normal state. (B) MMP-7 liberates VEGF by degradation of sVEGFR-1. This initiates VEGF-dependent angiogenesis, which leads to a shift toward a proangiogenic state.
Model of VEGF regulation by sVEGFR-1 and MMP-7 around endothelial cells. (A) Human endothelial cells secrete sVEGFR-1 and block the access of VEGF to its receptor in the normal state. (B) MMP-7 liberates VEGF by degradation of sVEGFR-1. This initiates VEGF-dependent angiogenesis, which leads to a shift toward a proangiogenic state.
Several pathologic states up-regulate MMP-7, including wound healing, bacterial infection, cancer, and inflammatory disorders.35 MMP-7 is also induced in the female reproductive cycle.36 We speculate that MMP-7 contributes to these angiogenesis-related conditions by liberating VEGF from sVEGFR-1, CTGF,28,32 and possibly other VEGF inhibitors. Notably, MMP-7 is expressed in cancer cells predominantly at the invasive front of tumors.37-39 Endothelial cells adjacent to MMP-7–expressing cancer cells40 and sprouting endothelial cells41 specifically express MMP-7. The invasive front is a site of particularly intense angiogenesis in tumor tissues,42,43 implicating a potential application of our model in this context.
Degradation of sVEGFR-1 by MMP-7 was relatively slow compared with that of other VEGF-binding proteins such as CTGF,28,30 HARP,30 and PF-431 by MMPs. This may indicate that sVEGFR-1–bound VEGF is less easily accessible and that a concentrated amount of MMP-7 is required to liberate VEGF from sVEGFR-1. sVEGFR-1 is expressed selectively in the cornea11 and endothelium,14 where angiogenesis does not and “must not” occur in normal conditions, and in placental trophoblasts,13 where fetal and maternal blood must not intermingle. In these sites, VEGF activity may be controlled more rigorously. In other sites, VEGF may be more accessible for use by bone marrow–derived cells or neuronal cells for nonangiogenic phenomena such as cell survival, migration, differentiation, and stem cell homeotasis.1,2
MMP-2 also caused degradation of sVEGFR-1, but MMP-9 had much less effect. These results indicate that other MMPs also liberate VEGF by degrading sVEGFR-1. Because multiple MMPs are up-regulated concomitantly under most angiogenic conditions,19-23 several MMPs may act cooperatively with MMP-7 to use VEGF for angiogenesis. This model is supported by the finding that colorectal cancer patients with a high expression level of MMP-7, -1, and -3 together with a high VEGF level exhibit greater angiogenesis compared with those with a high expression of only 1 or 2 MMPs together with a high VEGF level.32 Thus, participation of multiple MMPs may reinforce the proteolytic activity of sVEGFR-1, which might be insufficiently induced by each MMP alone. The resistance of human VEGF165 to MMPs, as demonstrated in our experimental conditions and in others,28,29 should make VEGF a major contributor to both physiologic and pathologic angiogenesis1 because VEGF would survive in the presence of MMPs. That is, because human VEGF165 is tolerant to human MMPs, it may exist in angiogenic conditions where MMPs are generally up-regulated. This may explain why VEGF works in a broad range of angiogenic diseases.
Notably, MMP-7 treatment after the preincubation of VEGF and sVEGFR-1, which formed a complex, did not recover the phosphorylation of endothelial VEGFR-2 by VEGF that, theoretically, would have been liberated (data not shown). This contrasts clearly with the effect of MMP-7 treatment with sVEGFR-1 before the complex formation (Figure 5A). These results indicate that MMP-7 alone may not fully reactivate the sVEGFR-1–bound VEGF. However, MMP-7 treatment after the complex formation recovered VEGF activity and promoted angiogenesis in the tube formation assay and migration assay using HUVEC (Figure 4A-C), which ensured that MMP-7 liberated VEGF from sVEGFR-1. Moreover, MMP-7 selectively degraded sVEGFR-1 after the complex formation in the supernatant of HUVECs (Figure 5B). A possible explanation for these apparently conflicting results is as follows: when sVEGFR-1 was bound to VEGF, proteolytic fragments of sVEGFR-1 produced by MMP-7 might not have been detected in our experiments but might still have inhibited VEGF activity. However, after hours of incubation with HUVECs, proteases secreted by HUVECs may have worked secondarily and supplementarily to digest the fragments completely. This may have led to VEGF-activation in the 2 angiogenesis assays, but these effects were too weak to be detected after only 5 minutes in the phosphorylation experiment. In support of this hypothesis, endothelial cells undergoing angiogenesis express predominantly MMPs such as MMP-2,44 membrane type 1-MMP (MT1-MMP),45 and MMP-7.41 Thus, sprouting endothelial cells may use more VEGF and, thereby, be distinguished from static endothelial cells.
To our knowledge, our study identifies for the first time a protease that degrades sVEGFR-1. Our results demonstrate the reversibility of sVEGFR-1 inactivation of VEGF and provide new insight into the regulation of VEGF availability around endothelial cells, which affects the switch from normal vascular quiescence to angiogenesis.
An Inside Blood analysis of this article appears at the front of this issue.
The publication costs of this article were defrayed in part by page charge payment. Therefore, and solely to indicate this fact, this article is hereby marked “advertisement” in accordance with 18 USC section 1734.
Acknowledgments
We thank Hiroko Hashimoto, Mai Okumoto, Wataru Kuga, Naho Atsumi, Satoshi Fujii, Motohiro Kojima, and Takeshi Kuwata for helpful advice.
This work was supported by the Grant-in-Aid for Cancer Research from the Ministry of Health, Labor, and Welfare; the Grant for Scientific Research Expenses for Health, Labor and Welfare Programs; the Foundation for the Promotion of Cancer Research, 3rd-Term Comprehensive 10-Year Strategy for Cancer Control; and Special Coordination Funds for Promoting Science and Technology from the Ministry of Education, Culture, Sports, Science, and Technology, the JapaneseGovernment. T.-K.I. was supported by Research Fellowships of the Japan Society for the Promotion of Science for Young Scientists.
Authorship
Contribution: T.-K.I., S.S., K.Y., A.H., and T.S. performed experiments; T.-K.I. conceived and designed this study; A.O. supervised the research; T.-K.I., G.I., and A.O. analyzed data; and T.-K.I., G.I., and A.O. prepared the manuscript.
Conflict-of-interest disclosure: The authors declare no competing financial interests.
Correspondence: Atsushi Ochiai, Pathology Division, Research Center for Innovative Oncology, National Cancer Center Hospital East, 6-5-1 Kashiwanoha, Kashiwa-City, Chiba 277-8577, Japan; e-mail: aochiai@east.ncc.go.jp.





