Abstract
The transcription factor GATA-1 participates in programming the differentiation of multiple hematopoietic lineages. In megakaryopoiesis, loss of GATA-1 function produces complex developmental abnormalities and underlies the pathogenesis of megakaryocytic leukemia in Down syndrome. Its distinct functions in megakaryocyte and erythroid maturation remain incompletely understood. In this study, we identified functional and physical interaction of GATA-1 with components of the positive transcriptional elongation factor P-TEFb, a complex containing cyclin T1 and the cyclin-dependent kinase 9 (Cdk9). Megakaryocytic induction was associated with dynamic changes in endogenous P-TEFb composition, including recruitment of GATA-1 and dissociation of HEXIM1, a Cdk9 inhibitor. shRNA knockdowns and pharmacologic inhibition both confirmed contribution of Cdk9 activity to megakaryocytic differentiation. In mice with megakaryocytic GATA-1 deficiency, Cdk9 inhibition produced a fulminant but reversible megakaryoblastic disorder reminiscent of the transient myeloproliferative disorder of Down syndrome. P-TEFb has previously been implicated in promoting elongation of paused RNA polymerase II and in programming hypertrophic differentiation of cardiomyocytes. Our results offer evidence for P-TEFb cross-talk with GATA-1 in megakaryocytic differentiation, a program with parallels to cardiomyocyte hypertrophy.
Introduction
Megakaryocytes and erythroblasts develop from bipotential megakaryocyte-erythroid progenitors (MEPs) under the influence of multiple critical transcription factors. Some of these factors, such as GATA-1, GATA-2, FOG1, and SCL, promote both lineages, whereas others, such as RUNX1 and EKLF, promote only megakaryocyte or erythroid development, respectively.1,2 Many of these key factors serve dual functions in development, activating lineage-appropriate genes while simultaneously repressing lineage-inappropriate genes.2
Numerous in vitro and in vivo studies have emphasized the centrality of GATA-1 in megakaryocyte development. Virtually all megakaryocytic promoters contain functionally important GATA binding sites.3 Mice with diminished GATA-1 in megakaryocytes display thrombocytopenia and aberrant megakaryocytic maturation.4 In particular, the GATA-1–deficient megakaryocytes show defects in growth regulation, polyploidization, proplatelet formation, granule biogenesis, and surface antigen expression.5-7 Interestingly, these mice also display MEP abnormalities, implicating GATA-1 in development of a properly primed bipotent progenitor.8,9
In humans, hereditary and acquired GATA-1 mutations have both been associated with defective megakaryopoiesis. Familial X-linked thrombocytopenia results from missense mutations affecting the N-terminal zinc finger of GATA-1, a domain involved in recruitment of the cofactor FOG1.10-14 Acquired mutations of GATA-1 occur in the setting of the 2 Down syndrome (DS)–associated megakaryoblastic proliferative disorders, transient myeloproliferative disorder (DS-TMD) and acute megakaryoblastic leukemia (DS-AMkL). Virtually all cases of DS-TMD and DS-AMkL possess GATA-1 mutations, whereas such mutations are extremely rare in non–DS-associated megakaryocytic proliferative disorders.15,16 The GATA-1 mutations usually occur in exon 2 and yield a truncated protein, GATA-1s, generated by an internal ATG codon that eliminates amino acids 1 to 83. However, occasional cases of DS-TMD/DS-AMkL have been associated with alternative GATA-1 mutations causing either a single amino acid change (E2G), a 45-amino acid interstitial deletion (Δ74-119), or a 5-amino acid insertion (between positions 291-292).17,18 A feature common to all of the acquired GATA-1 mutations appears to be diminished capacity for target gene regulation.
Loss of GATA-1 function in megakaryocytes causes excessive proliferation, a defect that can be rescued by wild-type GATA-1 but not GATA-1s.6,7 Enforcement of GATA-1s expression in mice by gene targeting also causes excessive megakaryocytic proliferation, but only during a discrete phase of embryonic development.19 Importantly, despite their increased proliferation, megakaryocytes expressing GATA-1s largely retain the capacity for maturation, and in adult mice as well as humans, GATA-1s appears to cause no significant defects in either growth or differentiation of megakaryocytes.19,20 In contrast to GATA-1s, GATA-1 mutants defective in FOG1 recruitment correct the excessive proliferation but not the maturation defects found in GATA-1–deficient megakaryocytes.6,7
While analyzing transcriptional cooperation between GATA-1 and RUNX1, we identified a novel activation pathway involving GATA-1 cross-talk with P-TEFb. P-TEFb consists of a tightly regulated kinase complex, the active form of which contains cyclin T and Cdk9. A dynamic equilibrium exists between this small active complex and a larger, inactive complex, which additionally contains the protein HEXIM1 and the 7SK small nuclear RNA.21 Active P-TEFb, recruited to target promoters through interactions with transcriptional activators and coactivators, functions to enhance transcriptional elongation through phosphorylation of RNA polymerase II (RNAPII) and associated factors. Importantly, target genes show tremendous variability with regard to their dependency on P-TEFb for expression, related in part to gene-specific RNAPII pausing mechanisms.21 Tuning of P-TEFb activity both at global and local levels contributes in a variety of ways to tissue-specific differentiation programs. Erythroid differentiation involves a net shift into the inactive, large complex, whereas myocardial hypertrophy requires sustained global activation of kinase activity.22,23 A role for P-TEFb in tissue-specific development has also been indicated by morpholino knockdowns in zebrafish embryos, where loss of Cdk9 selectively blocks definitive hematopoiesis.24
In the current study, P-TEFb activity was found to contribute to the transcriptional cooperation of GATA-1 and RUNX1 in the activation of the megakaryocytic αIIb promoter. Correspondingly, megakaryocytic induction of cells caused remodeling of the endogenous P-TEFb complex, characterized by recruitment of GATA-1, dissociation of HEXIM1, and enhanced RNAPII elongation at the endogenous αIIb locus. The relevance of this pathway to megakaryocytic differentiation was supported by results obtained with shRNA knockdowns of Cdk9 and of HEXIM1. These findings were further reinforced by the potent inhibitory effects of flavopiridol on megakaryopoiesis of primary human CD34+ cells. Previous studies from multiple laboratories have demonstrated flavopiridol to be a potent, highly selective inhibitor of P-TEFb kinase activity in cells.25-30 In mice, a synthetic lethal interaction between megakaryocytic GATA-1 deficiency and P-TEFb inhibition provided evidence for in vivo cross-talk between these 2 factors in megakaryopoiesis. In particular, administration of low-dose flavopiridol had no effect on wild-type C57BL/6 mice but induced in mice with megakaryocytic GATA-1 deficiency a rapid-onset megakaryoblastic proliferation with marrow replacement and splenic infiltration. This unique leukemoid reaction completely resolved within 2 weeks of flavopiridol withdrawal, resembling in its reversibility the human DS-TMD. These results thus identify a functional interaction between P-TEFb and GATA-1 in the regulation of megakaryocytic growth and differentiation.
Methods
Plasmids
pEF-GATA-1, FLAG-GATA-1, CMV-CBFβ, αIIb-598-luciferase, and pCMV-βGAL were previously described.31,32 The constructs for dominant-negative Cdk9 (D167N), pLINK-DNCDK9myc, and pFLAG-CMV2-HEXIM1 were provided by Dr B. Matija Peterlin (University of California, San Francisco). The plasmid for dominant-negative Cdk7, DN-CDK7 (KK41/42NQ), was a gift from Dr Michael Schneider (Baylor College of Medicine, Houston, TX). The expression construct for dominant-negative Cdk5 (D145N) was purchased from Addgene (Cambridge, MA). The pcDNA3-p21 expression construct was obtained from Dr Anindya Dutta (University of Virginia School of Medicine). Lentiviral packaging vectors pCMV-dR8.74 and pMD2.G were provided by Dr Didier Trono (School of Life Sciences, Swiss Institute of Technology, Lausanne, Switzerland). Lentiviral shRNA (pLKO.1), and shRNAmir (GIPZ) constructs targeting human CDK9 and HEXIM1, respectively, were purchased from Open Biosystems (Huntsville, AL).
Cell culture and transfections
Culture conditions for all cells consisted of 37°C, 5% CO2, and humidified air. HEK293T cells were cultured and transfected by calcium phosphate precipitation as previously described.32 The human erythroleukemic cell line K562 was maintained in RPMI 1640 with 10% fetal bovine serum and 1% penicillin/streptomycin/amphotericin. K562 cells were transiently cotransfected for luciferase assays by using either the N-[1-(2,3-dioleoyloxy)]-N,N,N-trimethylammonium transfection reagent (Roche Diagnostics, Indianapolis, IN) as described31 or the Amaxa nucleofection technology (Amaxa Biosystems, Gaithersburg, MD). For the latter approach, 7.5 to 10.0 × 105 cells were resuspended in 100 μL final volume of the solution provided in the Human CD34 Cell Nucleofector Kit diluted 1:1 with phosphate-buffered saline (PBS)/0.1% glucose/0.01% Biobrene; 3 to 4 μg total DNA including the αIIb-598-luciferase, and pCMV-βGal plasmids was added to the cell suspension followed by electroporation with an Amaxa Nucleofector II using program T-16. Parent vectors were included where required to keep total DNA constant. After electroporation, cells were transferred to 2 mL of prewarmed RPMI 1640 with 10% fetal bovine serum in a 6-well plate for 42-hour culture. In the experiments using 5,6-dichloro-1-beta-d-ribofuranosylbenzimidazole (DRB; Sigma-Aldrich, St Louis, MO), flavopiridol (Sanofi-Aventis, Bridgewater, NJ), or control solvents (dimethyl sulfoxide or H2O), the compounds were added 18 hours after transfection. To generate K562 cell lines expressing shRNAs, lentiviral supernatants from HEK293T cells transiently cotransfected with pCMV-dR8.74, pMD2.G, and lentiviral vector were used for spinoculation as previously described.32 Transduced cells were selected in medium with 2 μg/mL puromycin (Sigma-Aldrich) and screened by immunoblot for knockdown of Cdk9 and HEXIM1 expression.
Human CD34+ cells, as previously described,32 were isolated at the National Hematopoietic Cell Processing Core (National Institutes of Health [NIH] grant HL 66947) directed by Dr Shelly Heimfeld (Fred Hutchinson Cancer Research Center, Seattle, WA). Prestimulation medium consisted of serum-free Iscove modified Dulbecco medium with 20% BITS 9500 (StemCell Technologies, Vancouver, BC), 1% penicillin streptomycin amphotericin (Invitrogen, Carlsbad, CA), and 2 mM of l-glutamine, supplemented with stem cell factor (SCF) at 100 ng/mL, thrombopoietin (TPO) at 100 ng/mL, FLT3-ligand (FLT3L) at 100 ng/mL, and interleukin 3 (IL-3) at 20 ng/mL (all from PeproTech, Rocky Hill, NJ). Megakaryocytic differentiation medium resembled the prestimulation medium, except that cytokine supplements consisted of 40 ng/mL human TPO, 25 ng/mL SCF, and 100 ng/mL stromal-derived factor-α (PeproTech). In addition, the megakaryocytic cultures used 6-well plates precoated with fibronectin. After thawing, CD34+ cells underwent 2 days of culture in prestimulation medium followed by 5-day culture in megakaryocytic differentiation medium. Flavopiridol was added to the medium just before initiating 5-day megakaryocytic cultures. For cytology, 2.5 × 104 cells per sample underwent cytospin followed by Wright stain. Lentiviral transduction of CD34+ cells with shRNA constructs used spinoculation and puromycin selection as described for K562 cells.
Animal model
All of the animal experiments were approved by the University of Virginia Animal Care and Use Committee and were performed in an American Association for Laboratory Animal Care–accredited facility. The GATA-1Lo strain, also known as GATA-1ΔneoΔHS,4 possesses a C57BL/6 genetic background and was kindly furnished by Dr John Crispino (Northwestern University, Evanston, IL). Wild-type C57BL/6 mice were purchased from The Jackson Laboratory (Bar Harbor, ME). Six-week-old mice received flavopiridol by daily intraperitoneal injection at 5 to 7 g/kg per day for 7 to 13 days. Control treatment consisted of intraperitoneal injections of equivalent volumes of saline. Retro-orbital blood samples collected in ethylenediaminetetraacetic acid–coated capillary tubes (StatSpin Technologies, Norwood, MA) were analyzed on the Hemavet 850 FS automated CBC analyzer (Drew Scientific, Waterbury, CT). For histology, femurs and spleens were fixed in 10% formalin zinc for 18 hours. The bone was decalcified using Rapid-Cal Immuno solution (BBC Biochemical, Stanwood, WA) for 2 hours. The tissues were then embedded in paraffin, sectioned at 3-μm thickness, and stained with hematoxylin and eosin. Immunoperoxidase staining of spleens for von Willebrand's factor used rabbit polyclonal antibody (no. A082; Dako North America, Carpinteria, CA) at a dilution of 1/3000 on a Dako autostainer.
Flow cytometry
Primary human megakaryocytic cultures were harvested, washed, and stained either with allophycocyanin- or fluorescein isothiocyanate (FITC)–anti-CD41a (BD Biosciences PharMingen, San Diego, CA). Mouse marrow cells harvested from femurs underwent staining with a combination of FITC–anti-CD41a, phycoerythrin–anti-CD71, and allophycocyanin–anti-TER119 (BD Biosciences PharMingen). Negative controls consisted of isotype-matched antibody conjugates. For propidium iodide (PI) staining, cells were first stained with FITC–anti-CD41, washed, then fixed and permeabilized in PI fixative added dropwise with continuous agitation. The PI fixative consisted of one part 50% fetal bovine serum in PBS plus 3 parts ice-cold 70% ethanol. After incubation overnight at 4°C, cells were washed and resuspended in PI staining solution consisting of 50 μg/mL PI (Sigma-Aldrich) in PBS with 100 U/mL of DNase free RNase A (Sigma-Aldrich). For all experiments, analysis of cells used a FACSCalibur instrument (BD Biosciences, San Jose, CA) and FlowJo software (TreeStar, Ashland, OR).
Luciferase assays
Transiently transfected K562 cells were lysed in cell culture lysis reagent (Promega, Madison, WI). Luciferase and β-galactosidase detections were performed as described.31 Results consist of the mean of 3 independent experiments plus or minus SEM and are expressed as fold activation relative to either vector or GATA-1 alone. All transfections were normalized with internal β-galactosidase activity.
Immunoprecipitation and immunoblot
For FLAG immunoprecipitation, proteins were extracted from HEK293T cells 42 hours after transfection with the following extraction buffer: 50 mM Tris HCl, 150 mM NaCl, 0.5% Nonidet P-40, 1 mM MgCl2, 50 μM ZnSO4, 10 mM NaF, 1 mM Na3VO4, and Complete ethylenediaminetetraacetic acid-free protease inhibitor cocktail (Roche Diagnostics). Extracts were precleared by centrifugation and immunoprecipitated with agarose beads covalently modified with mouse monoclonal FLAG antibody (M2; Sigma-Aldrich). Elution of complexes with sodium dodecyl sulfate–polyacrylamide gel electrophoresis (SDS-PAGE) loading buffer was followed by SDS-PAGE and immunoblot. Immunoprecipitation of endogenous K562 GATA-1 was performed with the N6 rat monoclonal antibody exactly as described.33 Antibodies for immunoblot included mouse anti-FLAG M2, mouse anti-β-actin, and mouse anti-tubulin (Sigma-Aldrich); rabbit anti-RUNX1 and rabbit anti-Cdk9 (Cell Signaling Technology, Danvers, MA); rat anti–GATA-1 (N1), goat anti-FOG1, rabbit anti-cyclin T1, and rabbit anti-integrin αIIb (Santa Cruz Biotechnology, Santa Cruz, CA); rabbit anti-HEXIM1 (Abcam, Cambridge, MA); and rabbit anti-globin (Accurate Chemical & Scientific, Westbury, NY).
Chromatin immunoprecipitation
Chromatin immunoprecipitation used the Chromatin Immunoprecipitation Assay Kit from Millipore (Billerica, MA) and followed the manufacturer's guidelines. K562 cells treated 48 hours with 25 nM of phorbol ester or dimethyl sulfoxide solvent control underwent fixation with 1% fomaldehyde at 37°C for 10 minutes. Lysates at 5 × 106 cell equivalents per milliliter underwent sonication consisting of 30 pulses at 5 seconds per pulse. Diluted, precleared supernatants were immunoprecipitated with 3 μg of antibody per 3 × 106 cell equivalents. Antibodies consisted of rabbit anti-RNAPII (H224; Santa Cruz Biotechnology) and rabbit IgG (ChromaPure; Jackson ImmunoResearch Laboratories, West Grove, PA). Immunocomplexes collected on protein A agarose beads were washed and eluted, followed by reversal of cross-linkage, proteinase K digestion, phenol-chloroform extraction, and DNA precipitation. For polymerase chain reaction, we used previously described primer pairs for human αIIb upstream and promoter regions.34 5′ and 3′ primers for exon 13 consisted, respectively, of 5′-TCCTTCCAGACATTGCAGTGGCTG-3′ and 5′-CACCTGGGTATCCGTTGTCATCGA-3′.
Microscopy, image acquisition, and image preparation
Images were acquired using an Olympus (Tokyo, Japan) BX51 microscope equipped with an Olympus DP70 digital camera. Objective lenses consisted of Uplan Fl 20×/0.50 NA and Uplan Fl 40×/0.75 NA. Image acquisition and processing used Adobe Photoshop, CS3/10.0 and CS2/9.0 (Adobe Systems, San Jose, CA), respectively.
Statistical analysis
Comparisons of peripheral blood platelet counts in flavopiridol- versus saline-treated groups used an unpaired, 2-tailed Student t test with unequal variance, with P values less than .05 considered significant.
Results
P-TEFb contributes to the transcriptional cooperation of GATA-1 and RUNX1
Previous studies have shown functional and physical interaction of GATA-1 and RUNX1 in the transactivation of megakaryocytic promoters.18,31,35 To determine a role for kinase signaling in this functional interaction, various inhibitory compounds were screened. MEK and Cdk inhibitors previously shown to block RUNX1 phosphorylation, U0126, and alsterpaullone36,37 did not inhibit GATA-1 cooperation with RUNX1; however, the Cdk inhibitor roscovitine did exert a clear inhibitory effect (not shown). Roscovitine inhibits Cdks 1, 2, 5, 7, and 9, whereas alsterpaullone inhibits Cdk1.37,38 To identify functionally relevant Cdks, p21CIP, an inhibitor of Cdk2, and dominant-negative mutants of Cdk 5, 7, and 9 mutants were tested in the transactivation assay. In this screen, only the dominant-negative Cdk9 interfered with the cooperation of GATA-1, RUNX1, and CBFβ (Figure 1A). The Cdk9 inhibitors flavopiridol and DRB, as well as the Cdk9 antagonist HEXIM1,21 also blocked cooperation of GATA-1, RUNX1, and CBFβ (Figure 1B,C), further implicating P-TEFb.
Involvement of P-TEFb in GATA-1 cooperation with RUNX1/CBFβ. (A,B) K562 cells underwent transient transfection with the αIIb-598–luciferase reporter plus expression constructs for GATA-1 (G1), RUNX1 (R1), and CBFβ (Cb) as indicated. Results are mean of 3 independent experiments plus or minus SEM and are expressed as fold activation relative to GATA-1 alone or to vector. All transfections were normalized with cotransfected pCMVβGAL. (A) Transfections also included expression constructs for the dominant-negative mutants Cdk7 KK41/42NQ (dnCdk7) and Cdk9 D167N (dnCdk9). (B) Transfectants were treated the final 24 hours (of 48-hour incubation) with 100, 200, and 300 nM of flavopiridol (FP) or with 25, 50, and 100 μM of DRB. (C) Luciferase reporter assays were conducted as in panel A. K562 transfections included an expression construct for HEXIM1 (HEX) as indicated.
Involvement of P-TEFb in GATA-1 cooperation with RUNX1/CBFβ. (A,B) K562 cells underwent transient transfection with the αIIb-598–luciferase reporter plus expression constructs for GATA-1 (G1), RUNX1 (R1), and CBFβ (Cb) as indicated. Results are mean of 3 independent experiments plus or minus SEM and are expressed as fold activation relative to GATA-1 alone or to vector. All transfections were normalized with cotransfected pCMVβGAL. (A) Transfections also included expression constructs for the dominant-negative mutants Cdk7 KK41/42NQ (dnCdk7) and Cdk9 D167N (dnCdk9). (B) Transfectants were treated the final 24 hours (of 48-hour incubation) with 100, 200, and 300 nM of flavopiridol (FP) or with 25, 50, and 100 μM of DRB. (C) Luciferase reporter assays were conducted as in panel A. K562 transfections included an expression construct for HEXIM1 (HEX) as indicated.
Coimmunoprecipitation assays examined physical interactions of GATA-1 and RUNX1 with cyclin T1. When expressed alone, FLAG-RUNX1 showed an interaction with endogenous cyclin T1 (Figure 2A), consistent with previous descriptions.39 Coexpression of GATA-1 did not diminish, and possibly enhanced, the interaction of FLAG-RUNX1 with cyclin T1. FLAG-GATA-1 alone interacted with endogenous cyclin T1 to a similar degree as FLAG-RUNX1, with no enhancement provided by RUNX1 coexpression. In contrast to FLAG-GATA-1, the FLAG tagged transcription factors Ets1 and C/EBPα failed to interact with endogenous cyclin T1 despite similar expression levels (Figure 2B).
Interaction of GATA-1 with cyclin T1. (A) 293T cells were transfected with constructs encoding either FLAG-RUNX1 (Flag-R1) plus or minus untagged GATA-1 (G1) or FLAG-GATA-1 (Flag-G1) plus or minus untagged RUNX1 (R1). FLAG-immunoprecipitation (IP) was followed by immunoblotting (IB) of immunoprecipitates and inputs with the indicated antibodies. (B) Specificity of interaction. 293T cells transfected with expression vectors for FLAG tagged GATA-1 (G1), Ets1, or C/EBPα (C/α) were subjected to immunoprecipitation and immunoblotting as in panel A. (C) Inducible interaction of endogenous GATA-1 and cycin T1 proteins. Extracts from K562 cells either untreated or treated 48 hours with 25 nM of TPA underwent immunoprecipitation with equal amounts of control rat IgG or N6 monoclonal rat anti-GATA-1 antibody. Immunoprecipitates and inputs underwent immunoblotting with the indicated antibodies. (D) Requirement of P-TEFb kinase activity for inducible recruitment of GATA-1. Coimmunoprecipitations were conducted as in panel C on cells treated 48 hours with 25 nM of TPA plus or minus 100 nM of flavopiridol (FP). (E) Global remodeling of P-TEFb during megakaryocytic induction. Coimmunoprecipitations were conducted as in panel C on cells treated 48 hours with 25 nM of TPA. Immunoprecipitating antibodies consisted of control rabbit IgG or rabbit anticyclin T1 (T1). Immunoblotting was performed for GATA-1 (G1), HEXIM1 (H1), Cdk9, and cyclin T1.
Interaction of GATA-1 with cyclin T1. (A) 293T cells were transfected with constructs encoding either FLAG-RUNX1 (Flag-R1) plus or minus untagged GATA-1 (G1) or FLAG-GATA-1 (Flag-G1) plus or minus untagged RUNX1 (R1). FLAG-immunoprecipitation (IP) was followed by immunoblotting (IB) of immunoprecipitates and inputs with the indicated antibodies. (B) Specificity of interaction. 293T cells transfected with expression vectors for FLAG tagged GATA-1 (G1), Ets1, or C/EBPα (C/α) were subjected to immunoprecipitation and immunoblotting as in panel A. (C) Inducible interaction of endogenous GATA-1 and cycin T1 proteins. Extracts from K562 cells either untreated or treated 48 hours with 25 nM of TPA underwent immunoprecipitation with equal amounts of control rat IgG or N6 monoclonal rat anti-GATA-1 antibody. Immunoprecipitates and inputs underwent immunoblotting with the indicated antibodies. (D) Requirement of P-TEFb kinase activity for inducible recruitment of GATA-1. Coimmunoprecipitations were conducted as in panel C on cells treated 48 hours with 25 nM of TPA plus or minus 100 nM of flavopiridol (FP). (E) Global remodeling of P-TEFb during megakaryocytic induction. Coimmunoprecipitations were conducted as in panel C on cells treated 48 hours with 25 nM of TPA. Immunoprecipitating antibodies consisted of control rabbit IgG or rabbit anticyclin T1 (T1). Immunoblotting was performed for GATA-1 (G1), HEXIM1 (H1), Cdk9, and cyclin T1.
Endogenous GATA-1 and cyclin T1 interaction was analyzed in K562 erythroleukemic cells subjected to megakaryocytic induction with phorbol ester (TPA). As shown in Figure 2C, immunoprecipitation of GATA-1 revealed clear interaction with cyclin T1 in TPA-induced but not untreated cells; no changes in input protein levels resulted from the TPA treatment. To study further the basis for this interaction, cells were treated with flavopiridol before immunoprecipitation. This treatment clearly prevented the inducible association of cyclin T1 with GATA-1 while having no effect on the constitutive association of endogenous FOG1 with GATA-1 (Figure 2D). Immunoprecipitation of endogenous cyclin T1 confirmed the recruitment of GATA-1 to P-TEFb during megakaryocytic induction and showed concomitant dissociation of HEXIM1 (Figure 2E). These results indicate that P-TEFb undergoes dynamic remodeling and activation during megakaryocytic induction, with recruitment of GATA-1 occurring in a manner dependent on Cdk9 activity.
Because P-TEFb regulates transcriptional elongation, experiments addressed how megakaryocytic induction affects RNAPII distribution at the endogenous αIIb gene. Chromatin immunoprecipitation showed no change in promoter-associated RNAPII after induction. However, RNAPII located in the middle (exon 13) of the gene increased (Figure S1, available on the Blood website; see the Supplemental Materials link at the top of the online article). These results indicate that activation of αIIb expression associated with megakaryocytic induction occurs at the level of transcriptional elongation rather than transcriptional initiation.
Implication of P-TEFb in megakaryocytic differentiation
Initially, to address the role of P-TEFb in megakaryocytic differentiation, we expressed shRNAs targeting Cdk9 in K562 cells, which possess potential for both megakaryocytic and erythroid differentiation. Strikingly, cells with the greatest degree of Cdk9 knockdown, those expressing shRNAs C9 sh 494 and C9 sh 496, showed spontaneous erythroid differentiation consisting of red cell pellets, α-globin up-regulation, and RUNX1 down-regulation (Figure 3A). We have previously shown RUNX1 down-regulation to represent an early event in erythroid differentiation.31 Levels of the αIIb megakaryocytic integrin were assessed in the shRNA-transduced cells undergoing phorbol ester (TPA) induction of megakaryocytic differentiation. Notably, Cdk9 knockdown potently inhibited up-regulation of αIIb in TPA-induced cells (Figure 3B).
Cdk9 signaling promotes megakaryocytic and inhibits erythroid induction. (A) K562 cells transduced with lentiviral shRNA constructs targeting Cdk9 (C9) underwent immunoblotting of whole cell lysates with the indicated antibodies. (B) Cells from panel A were treated 72 hours with 25 nM of TPA before immunoblotting. (C,D) K562 cells transduced with lentiviral shRNA constructs targeting HEXIM1 (H1) were subjected to immunoblot analysis of the whole cell lysates with the indicated antibodies. R1 indicates RUNX1. Where designated, cells received 200 nM of flavopiridol (FP) for 24 hours before harvesting. (E) Cells from panel C treated with 25 nM of TPA underwent immunoblot analysis. Arrows indicate position of αIIb integrin.
Cdk9 signaling promotes megakaryocytic and inhibits erythroid induction. (A) K562 cells transduced with lentiviral shRNA constructs targeting Cdk9 (C9) underwent immunoblotting of whole cell lysates with the indicated antibodies. (B) Cells from panel A were treated 72 hours with 25 nM of TPA before immunoblotting. (C,D) K562 cells transduced with lentiviral shRNA constructs targeting HEXIM1 (H1) were subjected to immunoblot analysis of the whole cell lysates with the indicated antibodies. R1 indicates RUNX1. Where designated, cells received 200 nM of flavopiridol (FP) for 24 hours before harvesting. (E) Cells from panel C treated with 25 nM of TPA underwent immunoblot analysis. Arrows indicate position of αIIb integrin.
In a complementary approach, K562 cells were transduced with shRNA vectors targeting HEXIM1, the P-TEFb antagonist.21 Of the 5 lentiviral constructs screened, H1 sh 32 almost completely knocked down HEXIM1 expression (Figure 3C). Notably, this knockdown correlated with an up-regulation of RUNX1 that was reversible with flavopiridol treatment (Figure 3D). RUNX1 up-regulation has been shown to correlate with early megakaryocytic differentiation in both primary cells and in K562 cells.31 In contrast to RUNX1, neither GATA-1 nor FOG1 underwent up-regulation in the HEXIM1-knockdown cells, arguing against a generalized increase in protein expression. αIIb integrin expression with TPA induction was also determined, and HEXIM1 knockdown correlated with enhanced levels of αIIb in both uninduced and induced cells (Figure 3E).
To assess the contribution of P-TEFb to primary megakaryocytic differentiation, unilineage cultures of human CD34+ cells underwent treatment with flavopiridol. The concentrations used in these assays of 50 nM and 100 nM have previously been shown to be in a range selective for inhibition of Cdk9, with no effects on the closely related kinase Cdk7.26,27 Cells maintained in megakaryocytic culture conditions (“Cell culture and transfections”) underwent assessment for differentiation at day 5 by flow cytometry and cytospin analysis. Treatment with 50 nM of flavopiridol caused a 7-fold decrease in mature megakaryocytes (CD41bright with high forward scatter), a 2.5-fold decrease in promegakaryocytes (CD41bright with low forward scatter), and a morphologic shift of megakaryocytes from large cells with lobulated nuclei to intermediate-sized cells with round nuclei, ie micromegakaryocytes (Figure 4A); 100 nM of flavopiridol showed inhibitory effects that were even more pronounced. PI staining revealed a 3-fold decrease in the megakaryocytic polyploid fraction (8N and 16N) associated with 50 nM of flavopiridol treatment (Figure 4B). This treatment had no effects on the cell-cycle characteristics of the nonmegakaryocytic cells (CD41−), confirming that flavopiridol at 50 nM did not inhibit cell-cycle Cdks in these cultures.
Cdk9 inhibitor interferes with primary human megakaryocyte development. (A,B) Purified human CD34+ cells underwent culture 5 days in unilineage megakaryocytic medium containing TPO, SCF, stromal-derived factor-α, and the indicated doses of flavopiridol (FP). (A) Flow cytometry (FACS) assessment of CD41 expression and forward light scatter (FSC), a reflection of cell size. Analyses were performed on gated viable populations, with percentages of CD41bright FSChi (mature megakaryocytes) and CD41bright FSClo (promegakaryocytes) cells determined using FlowJo software. Wright-stained cytospins were photographed (original magnification ×100). (Top row) Two fields with typical polyploid control megakaryocytes (
). (B) Ploidy analysis of CD41+ and CD41− cells within the cultures. Cells were stained with FITC-anti-CD41 and propidium iodide, followed by FACS analysis and quantitation with FlowJo software.
Cdk9 inhibitor interferes with primary human megakaryocyte development. (A,B) Purified human CD34+ cells underwent culture 5 days in unilineage megakaryocytic medium containing TPO, SCF, stromal-derived factor-α, and the indicated doses of flavopiridol (FP). (A) Flow cytometry (FACS) assessment of CD41 expression and forward light scatter (FSC), a reflection of cell size. Analyses were performed on gated viable populations, with percentages of CD41bright FSChi (mature megakaryocytes) and CD41bright FSClo (promegakaryocytes) cells determined using FlowJo software. Wright-stained cytospins were photographed (original magnification ×100). (Top row) Two fields with typical polyploid control megakaryocytes (
). (B) Ploidy analysis of CD41+ and CD41− cells within the cultures. Cells were stained with FITC-anti-CD41 and propidium iodide, followed by FACS analysis and quantitation with FlowJo software.
To confirm that the effects of flavopiridol were the result of Cdk9 inhibition, CD34+ cells underwent transduction with lentiviral shRNA vectors targeting Cdk9. Cells expressing C9 sh 494 and C9 sh 496 (Figure 3A) showed defects similar to those seen with flavopiridol treatment (Figure S2). In particular, these cells showed diminished CD41 expression and defects in polyploidization within the CD41+ fraction. In addition, most of the megakaryocytes had hypolobulated nuclear morphology, as seen with flavopiridol treatment.
Synthetic lethal interaction of GATA-1 deficiency and P-TEFb inhibition
To study functional interaction between GATA-1 and P-TEFb in murine megakaryopoiesis, we obtained the GATA-1Lo strain (also known as GATA-1ΔNeoΔHS) in which targeted deletion of an upstream DNAse I hypersensitivity site selectively impairs GATA-1 expression in the megakaryocytic lineage.4 MEP cells homozygous or hemizygous for the hypomorphic GATA-1Lo allele display an 80% reduction in GATA-1 mRNA levels.8 These mice, as well wild-type controls, received daily intraperitoneal injections of low-dose flavopiridol (5-7 mg/kg) over the course of 7 to 14 days. To examine effects on megakaryopoiesis, initial studies followed platelet counts in the various treatment groups. After 1 week, flavopiridol-treated GATA-1Lo mice showed an approximately 2-fold decrease in platelet counts (P = .018) compared with their saline-treated counterparts, with respective means (± SD) of 117 (± 53) versus 208 (± 34) (Figure 5A). By contrast, flavopiridol-treated wild-type mice showed a slight increase in platelet counts that was not statistically significant (919 ± 161 vs 764 ± 72).
Synthetic interaction of megakaryocyte GATA-1 deficiency with P-TEFb inhibition. (A) GATA-1Lo mice (G1Lo) and age-matched wild-type C57BL/6 received 5 mg/kg per day of flavopiridol (FP; 5 mice per group) or saline control (4 mice per group) for 7 consecutive days. Blood samples from the retro-orbital plexus were then analyzed on a Hemavet automated analyzer for platelet counts. (B) Mice, as in panel A, received a 9-day course of flavopiridol (FP) at the same dose or saline. Marrows were then analyzed by FACS. In rows 1 and 2, marrow cells were costained with anti-CD41 and propidium iodide (PI). The CD41+ cells (percentages indicated in row 2) were gated for ploidy analysis using FlowJo software. Numbers in row 1 indicate percentage of total cells within each ploidy category. In rows 3 and 4, marrow cells were costained antibodies to CD41, TER119 (erythroid marker), and CD71 (transferrin receptor), with quadrant percentages as indicated.
Synthetic interaction of megakaryocyte GATA-1 deficiency with P-TEFb inhibition. (A) GATA-1Lo mice (G1Lo) and age-matched wild-type C57BL/6 received 5 mg/kg per day of flavopiridol (FP; 5 mice per group) or saline control (4 mice per group) for 7 consecutive days. Blood samples from the retro-orbital plexus were then analyzed on a Hemavet automated analyzer for platelet counts. (B) Mice, as in panel A, received a 9-day course of flavopiridol (FP) at the same dose or saline. Marrows were then analyzed by FACS. In rows 1 and 2, marrow cells were costained with anti-CD41 and propidium iodide (PI). The CD41+ cells (percentages indicated in row 2) were gated for ploidy analysis using FlowJo software. Numbers in row 1 indicate percentage of total cells within each ploidy category. In rows 3 and 4, marrow cells were costained antibodies to CD41, TER119 (erythroid marker), and CD71 (transferrin receptor), with quadrant percentages as indicated.
To analyze megakaryocytes in the various groups, flow cytometry was used to characterize ploidy and surface antigen expression in marrow CD41+ cells from animals treated for 9 days. In wild-type mice, flavopiridol had minimal effects on the ploidy or phenotype of megakaryocytes (Figure 5B). By contrast, similar treatment of GATA-1Lo mice had striking effects on megakaryocytes, including a 2.5-fold increase in their frequency and a 2.5-fold decrease in the polyploid (≥ 8N) fraction. Additional abnormalities consisted of CD71 and TER119 expression in approximately 60% and approximately 25% of megakaryocytes, respectively (Figure 5B); both of these antigens are erythroid markers that do not normally occur in the megakaryocyte lineage.
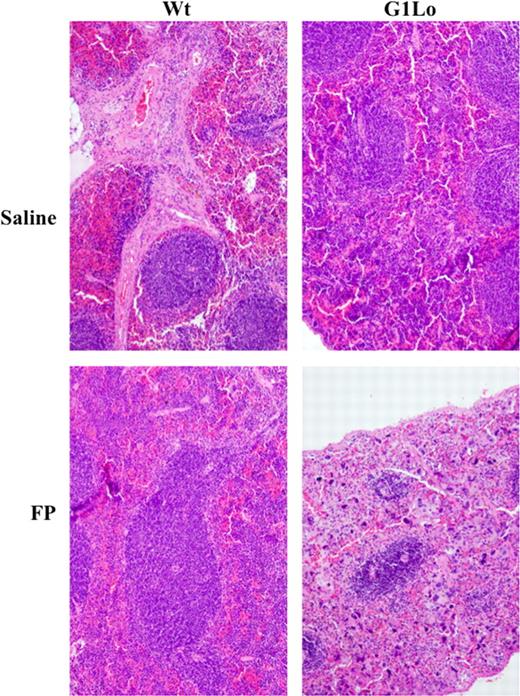
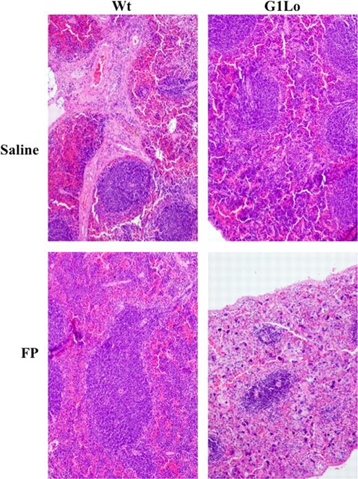
Histologically, the spleens and marrows from treated GATA-1Lo mice displayed architectural disruption caused by replacement of the normal cellular elements by abnormal small megakaryocytes with hypolobulated or round nuclei, that is, micromegakaryocytes (Figure 6). The megakaryocytic derivation of these cells was confirmed by immunostaining for von Willebrand factor (VWF; Figure S3). Marrows from day 7 of treatment were remarkable for infiltration by sheets of poorly differentiated blastic cells (Figure 7C). All of the control groups (wild-type ± flavopiridol and GATA-1Lo + saline) at all of the time points analyzed showed histologically normal spleen and marrow architecture.
Splenic disruption by megakaryoblastic proliferative disorder. After treatment for 9 days with 5 mg/kg per day of intraperitoneal flavopiridol, mice were killed for histologic analysis of spleens. Comparisons include C57BL/6 (Wt) and GATA-1Lo (G1Lo) strains treated either with saline or flavopiridol (FP). Shown are representative hematoxylin and eosin–stained splenic sections (original magnification ×100).
Splenic disruption by megakaryoblastic proliferative disorder. After treatment for 9 days with 5 mg/kg per day of intraperitoneal flavopiridol, mice were killed for histologic analysis of spleens. Comparisons include C57BL/6 (Wt) and GATA-1Lo (G1Lo) strains treated either with saline or flavopiridol (FP). Shown are representative hematoxylin and eosin–stained splenic sections (original magnification ×100).
Reversibility of the megakaryoblastic proliferative disorder. (A-D) C57BL/6 and GATA-1Lo (G1Lo) mice received daily intraperitoneal injection of flavopiridol (7 mg/kg per day) for 7 consecutive days, followed by 2 weeks of no treatment. (A,B) Platelet counts and hematocrits were obtained on days 0, 7, and 21 as indicated. Each line represents an individual mouse. (A,B) Two independent experimental trials. (C) Representative mice were killed at days 0, 7, and 21. Sections from femurs were stained with hematoxylin and eosin (original magnification ×400). Arrows show examples of cells with blastic morphology. (D) Flow cytometry on marrows from mice in panel C.
Reversibility of the megakaryoblastic proliferative disorder. (A-D) C57BL/6 and GATA-1Lo (G1Lo) mice received daily intraperitoneal injection of flavopiridol (7 mg/kg per day) for 7 consecutive days, followed by 2 weeks of no treatment. (A,B) Platelet counts and hematocrits were obtained on days 0, 7, and 21 as indicated. Each line represents an individual mouse. (A,B) Two independent experimental trials. (C) Representative mice were killed at days 0, 7, and 21. Sections from femurs were stained with hematoxylin and eosin (original magnification ×400). Arrows show examples of cells with blastic morphology. (D) Flow cytometry on marrows from mice in panel C.
The unique phenotype obtained with flavopiridol treatment of GATA-1Lo mice suggested convergent activity of GATA-1 and P-TEFb on common target genes. Alternatively, these 2 factors might act on distinct sets of complementing target genes. To begin to address this question, we examined megakaryocytic expression of VWF in the treatment groups. Previous in vitro studies have identified a critical GATA binding site within the VWF proximal promoter, and in vivo studies have shown loss of GATA-1 expression in megakaryocytes to cause decreased levels of VWF mRNA.40,41 Flavopiridol-treated wild-type mice had normal, high levels of megakaryocytic VWF, whereas GATA-1Lo mice showed slightly decreased expression. Notably, megakaryocytes from the flavopiridol treated GATA-1Lo mice displayed markedly decreased VWF expression (Figure S3), consistent with the corresponding gene serving as a common target of both GATA-1 and P-TEFb regulation.
Reversibility of the megakaryoblastic proliferation
Additional experiments examined whether the effects of flavopiridol on GATA-1Lo mice were reversible. In these experiments, GATA-1Lo and control mice received 7 mg/kg per day intraperitoneal flavopiridol for 7 consecutive days followed by 14 days of no treatment. In 2 independent trials, GATA-1Lo but not control mice showed significant declines in platelet counts and hematocrits (Figure 7A,B). Subsequent withdrawal of flavopiridol consistently resulted in complete recovery of both parameters. Analysis of marrow histology revealed corresponding changes, with marrow replacement by sheets of blasts on day 7 and normalization of morphology after 14 days off flavopiridol (Figure 7C). These findings were corroborated by flow cytometry on the marrow, showing emergence of the abnormal CD41+ CD71+ population on day 7, followed by regression of this population on day 21 (Figure 7D).
Discussion
Our results show a contribution by P-TEFb to the transcriptional cooperation of GATA-1 and RUNX1/CBFβ in the transactivation of a megakaryocytic promoter. RUNX1 has been previously shown to bind directly to cyclin T1,39 a finding supported in the current study (Figure 2A). Importantly, the previous study showed that RUNX1 alone exerted a negative effect on P-TEFb activity, blocking transcriptional elongation off of the CD4 promoter through sequestration of cyclin T1 in an inactive complex.39,42 Thus, the engagement of P-TEFb by GATA-1 in the context of GATA-1-RUNX1 complexes may counteract a negative influence exerted by RUNX1 on Cdk9 function. Such a mechanism could permit GATA-1 to convert RUNX1 from a repressor to an activator of megakaryocytic genes.
RUNX1 also appears to be a downstream target of P-TEFb signaling. In particular, shRNA knockdown of Cdk9 in K562 cells caused RUNX1 down-regulation (Figure 3A), whereas HEXIM1 knockdown induced RUNX1 up-regulation (Figure 3D). Reversal by flavopiridol confirmed that the effect of HEXIM1 knockdown resulted from enhanced Cdk9 activity. These results resemble the findings of Meier et al,24 in which morpholino knockdown of Cdk9 in zebrafish embryos repressed RUNX1 expression in the dorsal aorta at 28 hours after fertilization. Thus, RUNX1 may reside within a regulatory loop for P-TEFb activity in hematopoietic differentiation.
Physical association of P-TEFb with GATA-1 transcriptional complexes was previously identified in a protein interaction screen using MEL cell in vivo biotinylation and pulldown of Ldb1, a GATA-associated factor.24 Whether this interaction was mediated by GATA-1 or occurred directly through Ldb1 remains unestablished. Notably, Cdk9 dissociated from the Ldb1/GATA-1 transcriptional complex on erythroid induction of MEL cells, suggesting dynamic modulation of its recruitment during differentiation. Our results confirm the plasticity of such complexes, showing assembly of endogenous GATA-1 and cyclin T1 in K562 cells only in association with megakaryocytic induction. The signals regulating this assembly are not well characterized but appear to involve Cdk9 activation. The consequences of this assembly most probably include enhanced transcriptional elongation on megakaryocytic target genes, such as αIIb (Figure S1).
Using 3 different approaches, we provide evidence that P-TEFb contributes to megakaryocytic differentiation (Figures 3,4). With regard to the use of flavopiridol, the Lis laboratory has demonstrated that doses of 500 nM or less are highly selective in vivo for Cdk9, with no inhibitory effect on the highly homologous Cdk7 (70% similar to Cdk9).26,27 The basis for this selectivity derives from the ability of flavopiridol stoichiometrically to bind Cdk9 in a unique manner that is noncompetitive with adenosine triphosphate (ATP), whereas its interaction with other kinases occurs in a manner competitive with ATP; thus, in the ATP-rich intracellular milieu, inhibitory effects are restricted to Cdk9 (D. Price, University of Iowa, oral communication, February 12, 2008).25 Our results show inhibition of primary megakaryocytic differentiation by doses of flavopiridol that have no effect on the cell-cycle profile of nonmegakaryocytic cells, further confirming that cell-cycle regulatory kinases were not inhibited in these cultures. These results were validated with shRNA knockdown of Cdk9 in primary megakaryocytic cultures (Figure S2).
Although initially identified as a regulator of the general transcriptional machinery, P-TEFb has become increasingly implicated as a mediator of tissue-specific differentiation programs. Thus, ablation of P-TEFb function in zebrafish embryogenesis elicits a highly selective phenotype, with disruption of definitive but not primitive hematopoiesis.24 Regulation of global P-TEFb activity by upstream signaling pathways plays a critical role in several differentiation programs.22,23,43 Of potential relevance to megakaryopoiesis, induction of myocyte hypertrophy was associated with super-activation of Cdk9 signaling, and interference with this signaling blocked the characteristic phenotypic changes, which include cellular enlargement and nuclear polyploidization.23 By contrast, in MEL cells, induction of erythroid differentiation correlated with HEXIM1 up-regulation and Cdk9 inactivation,22,44 and treatment with the Cdk9 inhibitor DRB21 induced erythroid differentiation consisting of growth arrest, hemoglobinization, and Band 3 expression.45 Our data confirm that diminished P-TEFb function may promote erythroid differentiation (Figure 3A) and raise the possibility that thresholds of Cdk9 activity could affect differentiation pathways of bipotent MEP. Additional support for this notion comes from the up-regulation of erythroid markers seen on megakaryocytic cells from GATA-1Lo mice treated with flavopiridol (Figures 5B, 7D).
In vivo functional interaction between GATA-1 and P-TEFb in megakaryopoiesis is suggested by the striking megakaryocytic abnormalities unique to the GATA-1Lo mice receiving low-dose flavopiridol. Why flavopiridol failed to disrupt megakaryopoiesis in wild-type control mice, given its inhibitory effects on megakaryopoiesis of normal human CD34+ cells (Figure 4), may relate to issues of dosage and homeostatic compensation. In particular, the doses provided most probably fall below the threshold for inhibition of normal murine megakaryopoiesis. In addition, wild-type, but not GATA-1Lo, mice may possess a mechanism to compensate for the inhibitory effects of flavopiridol, eg, up-regulation of TPO or its receptor. If megakaryocytes from GATA-1Lo mice completely lack GATA-1 expression, one would predict lack of “synthetic lethality” with P-TEFb inhibition because of the loss of GATA-1 causing complete disruption of the relevant signaling pathway. However, GATA-1Lo MEP retain 20% GATA-1 expression8 and may represent a critical target cell for the effects of flavopiridol. Furthermore, GATA-2, which is up-regulated in GATA-1Lo megakaryocytes, can partially but not completely compensate for GATA-1 loss in megakaryopoiesis.46
The rapidly reversible megakaryoblastic proliferation in flavopiridol-treated GATA-1Lo mice represents a novel murine phenotype with some intriguing parallels to the human DS-TMD. Both entities depend on functional deficiency of GATA-1, both display reversibility, and both show megakaryocytic expression of erythroid markers, including transferrin receptor.47 More specifically, recent gene expression profiles from 2 studies have found expression of erythroid genes, including high levels of the transferrin receptors Tfr1 and Tfr2, to distinguish DS megakaryoblasts from megakaryoblasts found in non-DS leukemias.48,49 However, the direct relevance of P-TEFb signaling to DS-TMD remains to be determined by molecular characterization of patient specimens. Interestingly, another feature characteristic of DS megakaryoblasts, RUNX1 down-regulation,48 is also found in the context Cdk9 knockdown24 (Figure 3).
An Inside Blood analysis of this article appears at the front of this issue.
The online version of this article contains a data supplement.
The publication costs of this article were defrayed in part by page charge payment. Therefore, and solely to indicate this fact, this article is hereby marked “advertisement” in accordance with 18 USC section 1734.
Acknowledgments
The authors thank Drs B. Matija Peterlin, Michael Schneider, Anindya Dutta, and Didier Trono for generosity in providing plasmids; Drs Shelly Heimfeld and John Crispino for supplying CD34+ cells and GATA-1Lo mice, respectively; Lisa Vohwinkel of the Department of Pathology Tissue Processing Core for histologic preparations; Joanne Lannigan of the University of Virginia FACS core for guidance in ploidy studies; and Dr Klaus Ley and the University of Virginia Cardiovascular Research Center for access to and assistance with the Hemavet analyzer.
The flavopiridol was generously provided by Sanofi-Aventis Pharmaceuticals and the National Cancer Institute, NIH (Bethesda, MD).
This work was supported by NIH grants T32 CA009109 (Cancer Research Training in Molecular Biology; K.E.E.), F32 HL0860046 (G.C.B.), CA100057, and CA93735 (A.N.G.), and a Ruth L. Kirschstein National Research Service Award (G.C.B.).
National Institutes of Health
Authorship
Contribution: K.E.E. and I.S.M. designed experiments, performed research, and analyzed data; L.L.D., G.C.B., K.D.O., J.F.C., and S.L.G. performed research and analyzed data; and A.N.G. designed experiments, analyzed data, and wrote paper.
Conflict-of-interest disclosure: The authors declare no competing financial interests.
Correspondence: Adam N. Goldfarb, University of Virginia School of Medicine, PO Box 800904, Charlottesville, VA 22908; e-mail: ang3x@virginia.edu.











). (B) Ploidy analysis of CD41+ and CD41− cells within the cultures. Cells were stained with FITC-anti-CD41 and propidium iodide, followed by FACS analysis and quantitation with FlowJo software.

