John Lazarchick, Children's Hospital of the Medical University of South Carolina
John Lazarchick, Children's Hospital of the Medical University of South Carolina
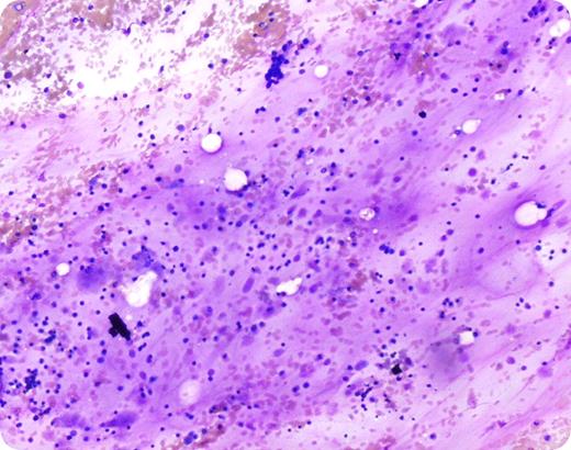
A 25-year-old white female with a history of an eating disorder presented with pancytopenia. Hematopoietic elements including erythroid precursors and megakaryocytes can be recognized in addition to a few fat cells. The amorphous material represents deposit of hyaluronic acid with gelatinous transformation of the marrow. (Wright-Giemsa stain, 10× magnification)
The above image was first published in the ASH IMAGE BANK, a reference and teaching tool that is continually updated with new atlas images and images of case studies. For more information or to contribute to the Image Bank, visit www.ashimagebank.org.
