Abstract
We investigated the frequency of bone marrow (BM) involvement by nonhematological tumors in unselected BM biopsy samples from 10,112 patients. Plastic embedded BM biopsy sections were retrospectively analyzed, with special focus on
Frequency of BM involvement by nonhematological malignancies,
the advantage of plastic-embedded BM biopsy specimens over paraffin-embedded samples,
Complementarity of marrow biopsy to aspiration smears.
the causes of false-negative results when using aspiration smears, and
analysis of primary sites of metastatic solid tumors.
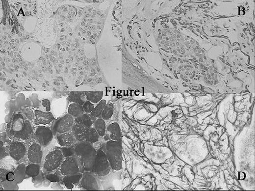
Overall 101 of the 10112 BM samples showed nonhematological tumor metastases, accounting for 1.0% of all analyzed specimens, which was higher than data reported on the basis of paraffin embedded samples. Of 74 aspiration smears obtained concurrently with the 101 biopsy sections, 55 were also positive for metastatic carcinoma. That is, the detection rate of metastatic tumors based on the aspiration smears was 74.3% relative to the rate observed on biopsy sections. All 101 sections with metastatic tumors showed various degrees of myelofibrosis (including 67cases with severe myelofibrosis [+++]) which was thought to be partly responsible for false negative results on aspiration samples. Primary tumors were documented ante-mortem in 50 of the 101 BM biopsy-positive patients (49.5%). The most frequent primary sites were lung, gastroinyestinal tract, and breast, in good agreement with data in the literature. In conclusion, nonhematological tumor metastases in unselected bone marrow are not exceptional findings. Plastic embedded BM biopsy examination is helpful in detecting unknown metastatic nonhematological malignancies and apparently more sensitive than paraffin embedded BM biopsies.
Author notes
Disclosure: No relevant conflicts of interest to declare.

