Peter Maslak, Memorial Sloan-Kettering Cancer Center
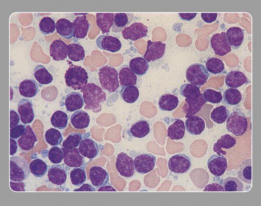
Bone marrow aspirate with an increased number of lymphocytes. They appear mature with scant cytoplasm and condensed, clumped chromatin. Lymphocytes are friable, and some may become distorted or smudged in the process of spreading the spicule and making the slide.
Peter Maslak, Memorial Sloan-Kettering Cancer Center
Bone marrow aspirate with an increased number of lymphocytes. They appear mature with scant cytoplasm and condensed, clumped chromatin. Lymphocytes are friable, and some may become distorted or smudged in the process of spreading the spicule and making the slide.
Many Blood Work images are provided by the ASH IMAGE BANK, a reference and teaching tool that is continually updated with new atlas images and images of case studies. For more information or to contribute to the Image Bank, visit www.ashimagebank.org.
