Abstract
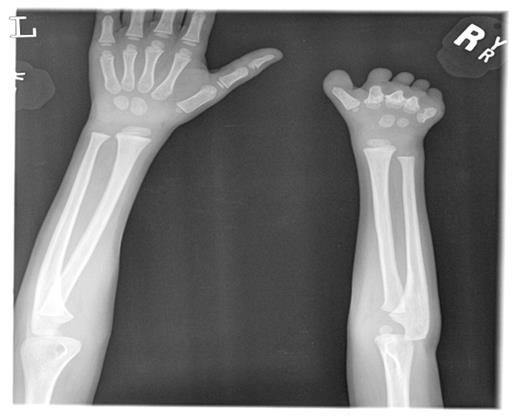
We describe a 2-year-old child with an incidental finding of persistent elevated platelet count. The platelet count at the time of referral was 900 × 109/L. His physical examination revealed bony abnormalities of the right upper extremity, and hand. (Photo1) X-Ray of the hand revealed amputation of the fingers of the right hand with rudimentary metacarpal bones, and evidence of shorter radius and ulna of the of the left forearm when compared to the right. The physical examination was otherwise normal with the exception of moderate splenomegaly. Further workup revealed normal iron stores, and no inflammatory process which could explain the thrombocytosis. Chromosomal breakage and rearrangements studies were normal and confirmed a normal male karyotype. A bone marrow aspirate and biopsy revealed megakaryocytic hyperplasia with many binucleated and trinucleated megakaryocytes. (Photo 2) The erythroid and myeloid series were well represented and of normal morphology. Flow cytometry for ALL specific and CMLspecific markers were normal. The platelet count reached 2,800 × 109/L, and serum thrombopoietin level was obtained, which returned 2119.8 pg/ml. The patient was placed on hydroxyurea and aspirin 81mg/day, and reduction in the platelet count occurred. After six months of hydroxyurea therapy the platelet count rose again to pretreatment levels. Hydroxyurea was discontinued and anagrelide started with moderate platelet reduction. Family members were also evaluated. The siblings all had normal platelet counts but the mother had an elevated platelet count 900 × 10 9/L. The bone marrow aspirate of the childs mother was also consistent with ET. The JAK2 kinase mutation was not found in the mother or the child. The childs mother was also found to have an elevated thrombopoietin level of 475.6 pg/ml and was started on hydroxyurea.
No connection has been made between our patients congenital anomalies and the thrombocytosis. To our knowledge there have been no other reports of such features in either adult or pediatric patients with ET. Because this childs mother was also subsequently diagnosed with ET, familial ET is a more likely diagnosis. The diagnosis of familial ET is further supported by the elevated TPO concentration in our patient. Sporadic cases of familial ET with elevated thrombopoietin concentrations have been reported. Although ET has been reported in patients as young a 6 weeks, our case is different than other reported pediatric cases of ET because of not only the elevated TPO but the associated skeletal anomalies of our patient. To date neither the child or the mother has suffered any thrombohemorrhagic events, which have been reported to occur at rates varying from 20% to 40%. The mother and child are being followed prospectfully with serial blood counts, serum TPO concentrations.
Disclosure: No relevant conflicts of interest to declare.
Author notes
Corresponding author

