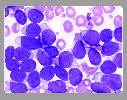
The blasts in the bone marrow aspirate appear “rounded” or “regular” with a scant amount of cytoplasm. Some elongated forms may also be noted. The chromatin pattern is smooth, and few nucleoli may be present.
Peter Maslak, Memorial Sloan-Kettering Cancer Center
The blasts in the bone marrow aspirate appear “rounded” or “regular” with a scant amount of cytoplasm. Some elongated forms may also be noted. The chromatin pattern is smooth, and few nucleoli may be present.
Peter Maslak, Memorial Sloan-Kettering Cancer Center
Many Blood Work images are provided by the ASH IMAGE BANK, a reference and teaching tool that is continually updated with new atlas images and images of case studies. For more information or to contribute to the Image Bank, visit www.ashimagebank.org.
