Subjects:
BloodWork
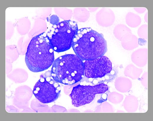
The bone marrow aspirate contains blasts that are deeply basophilic and vacuolated and that have the immunophenotype of a mature B cell.FIG1
Many Blood Work images are provided by the ASH IMAGE BANK, a reference and teaching tool that is continually updated with new atlas images and images of case studies. For more information or to contribute to the Image Bank, visit www.ashimagebank.org.
Copyright © 2006 by The American Society of Hematology
2006

Peter Maslak, Memorial Sloan-Kettering Cancer Center

Peter Maslak, Memorial Sloan-Kettering Cancer Center