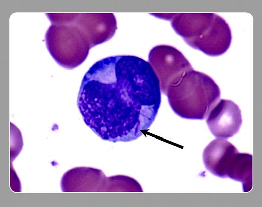
The arrow marks an auer rod. Auer rods are distinctive azurophilic structures resulting from the coalescence of primary granules. They may be found in cells of myeloid lineage in either MDS or AML.FIG1
Many Blood Work images are provided by the ASH IMAGE BANK, a reference and teaching tool that is continually updated with new atlas images and images of case studies. For more information or to contribute to the Image Bank, visit www.ashimagebank.org.
Copyright © 2005 by The American Society of Hematology
2005

Peter Maslak, Memorial Sloan-Kettering Cancer Center