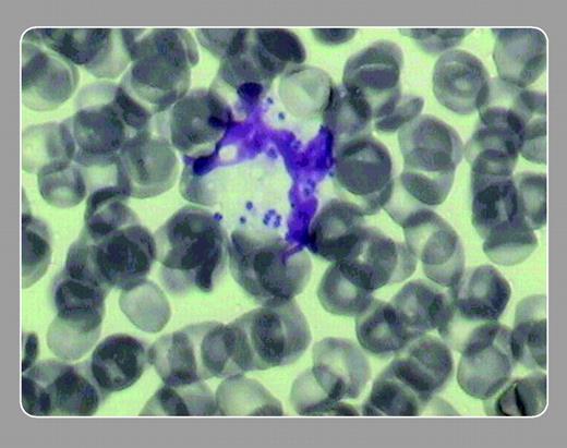
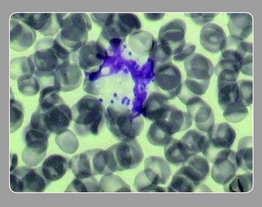
Peripheral blood smear showing intraneutrophil diplococci in a case of meningococcal sepsis and purpura fulminans.FIG1
Jaime Ferrer Cañabate and José M. Zarauz, Hospital Rafael Méndez, Lorca, Spain
Jaime Ferrer Cañabate and José M. Zarauz, Hospital Rafael Méndez, Lorca, Spain
Many Blood Work images are provided by the ASH IMAGE BANK, a reference and teaching tool that is continually updated with new atlas images and images of case studies. For more information or to contribute to the Image Bank, visit www.ashimagebank.org.
Copyright © 2005 by The American Society of Hematology
2005


Jaime Ferrer Cañabate and José M. Zarauz, Hospital Rafael Méndez, Lorca, Spain