Topics:
leukemia, monocytic, acute
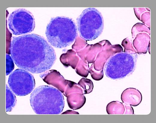
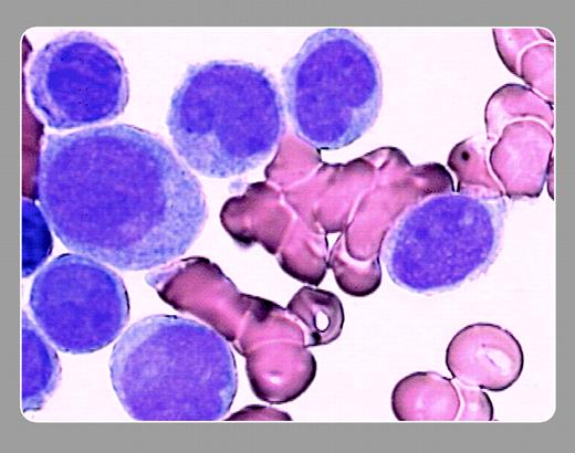
High-power view of the bone marrow aspirate, showing monocytic forms with characteristic folded nuclei and coarse, “ground glass” cytoplasm (1000 × MacNeal tetrachrome).FIG1
The above image was first published in the ASH IMAGE BANK, a reference and teaching tool that is continually updated with new atlas images and images of case studies. For more information or to contribute to the Image Bank, visit www.ashimagebank.org.
Copyright © 2004 by The American Society of Hematology
2004

Peter Maslak, Memorial Sloan-Kettering Cancer Center

Peter Maslak, Memorial Sloan-Kettering Cancer Center