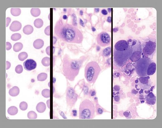
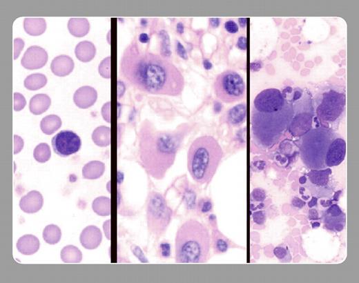
The left panel is a peripheral smear showing that the associated anemia is usually macrocytic and that the platelet count is normal or elevated. The center panel is a marrow biopsy and the right panel, a marrow aspirate; both show the monolobated and hypolobated nuclei of megakaryocytes in this syndrome.
THE ASH IMAGE BANK, a reference and teaching tool, is continually updated with new atlas images and images of case studies. For more information or to contribute to the Image Bank, visit www.ashimagebank.org.
Copyright © 2003 The American Society of Hematology
2003

