To probe the pathophysiologic mechanisms underlying neutropenia in patients with chronic idiopathic neutropenia (CIN) with hypoplastic and left-shifted granulocytic series in the bone marrow (BM), we have studied granulocytopoiesis in 32 adults with CIN by evaluating the number and survival characteristics of cells in several stages of granulocyte differentiation using flow cytometry and BM culture assays. We found that patients with CIN displayed a low percentage of CD34+/CD33+ cells, defective granulocyte colony-forming unit (CFU-G) growth potential of BM mononuclear or purified CD34+ cells, and low CFU-G recovery in long-term BM cultures (LTBMCs), compared with controls (n = 46). A low percentage of CD34+/CD33+ cells in patients was associated with accelerated apoptosis and Fas overexpression within this cell compartment compared with controls. No significant difference was documented in the percentage of apoptotic cells or the Fas+ cells within the fractionated CD34+/CD33, CD34/CD33+, and CD34/CD33/CD15+ BM subpopulations or the peripheral blood neutrophils, suggesting that the underlying cellular defect in CIN probably concerns the committed granulocyte progenitors. LTBMC stromal layers from patients produced abnormally high amounts of tumor necrosis factor α and cytokine levels in culture supernatants inversely correlated with the number of myeloid progenitor cells and positively with the proportion of apoptotic CD34+ cells. Patient LTBMC stromal layers displayed pathologic interferon γ and Fas-ligand mRNA expression and failed to support normal myelopoiesis. These data suggest that impaired granulocytopoiesis in CIN is probably due to overproduction of inflammatory cytokines by immune cells within the BM microenvironment that may exert an inhibitory effect on myelopoiesis by inducing Fas-mediated apoptosis in the granulocyte progenitors.

The term chronic idiopathic neutropenia (CIN) is addressed to any persistent unexplained reduction in the number of circulating neutrophils below the lower limit of the normal distribution for a given ethnic population.1-4 The disorder can be identified among the other types of chronic neutropenias by its acquired character, the absence of phasic variations in neutrophil count, lack of clinical and laboratory evidence for any underlying systemic disease to which neutropenia might be ascribed, and absence of any drug relationship. Typically, CIN is characterized by low incidence of infections and usually benign outcome.5,6 The disorder displays a female predominance2,5,7 and an HLA class II genetic predisposition.8 

Disparate mechanisms have been implicated in the pathogenesis of CIN, including decreased neutrophil production in the bone marrow (BM),1,2,4,9 excessive margination or enhanced neutrophil extravasation into the tissues,10,11 and immune-mediated destruction of mature blood neutrophils or their marrow progenitors.12,13 BM morphology varies according to the presumed underlying pathophysiology. Neutropenia due to increased peripheral sequestration or destruction of mature neutrophils is usually associated with a compensatory hyperplasia of the BM myeloid precursor cells, whereas severe myeloid hypoplasia might imply rare cases of immune-mediated destruction of BM immature myeloid progenitor cells by humoral or cellular cytotoxic mechanisms.14 In the majority of CIN cases, however, BM morphology does not clearly explain the degree of neutropenia and a mild myeloid hypoplasia affecting mainly the postmitotic, maturating pool of the granulocytic series is typically recognized.14-16 

In vitro BM growth studies using culture techniques have long been used to assess patterns of granulocytopoiesis and determine possible pathogenetic mechanisms underlying CIN.17,18 No conclusive evidence, however, has been reported regarding the number and functional characteristics of the BM myeloid colony-forming cells since increased,19 normal,20 or decreased myeloid progenitor cell growth has been described in the affected subjects.9 21 These inconsistencies might be explained by the diversity of the patients studied in regard to the underlying pathophysiology, given that cases with immune- and nonimmune-mediated neutropenia have been recorded.

In the present study, we probed more deeply into the mechanisms of granulocytopoiesis in patients with CIN displaying myeloid hypoplasia and negative tests for antineutrophil antibodies. This type of the disorder is the most commonly seen in adults.2 15 We specifically examined the BM myeloid cell reserve and function in several stages of granulocyte differentiation, from the early progenitors to the mature neutrophils. We also explored the influence of patients' marrow microenvironment on myelopoiesis by investigating the capacity of BM stromal cells to induce and support the growth of the myeloid progenitor cells.

Patients

We have studied 32 adults (28 women and 4 men) with CIN satisfying the previously reported diagnostic criteria for CIN.4,6,8 The patients had persistent neutropenia22 with neutrophil counts below 1800/μL blood (1415 ± 310/μL) for a period ranging from 12 to 180 months (median duration, 91 months); no clinical, serologic, or ultrasonic evidence of any underlying disease known to be associated with neutropenia; no history of exposure to irradiation or use of chemical compounds or intake of drugs to which neutropenia might be ascribed; and normal BM karyotype and negative serum leukoagglutination and immunofluorescence tests for antineutrophil antibodies.23 Cyclic and familial neutropenias were excluded by performing serial neutrophil enumerations in the patients and their family members. All patients studied displayed hypoplastic and left-shifted myeloid series evaluated in marrow smears stained with May-Grünwald-Giemsa and trephine biopsy specimens. As controls, 46 hematologically healthy subjects undergoing surgery for lumbar fixation or healthy volunteers, age- and sex-matched with the patients, were studied. Informed consent according to the Helsinki Protocol was obtained from all subjects studied. Detailed patient characteristics are summarized in Table1.

BM samples

BM cells obtained from posterior iliac crest aspirates were immediately diluted 1:1 in Iscove modified Dulbecco medium (IMDM; Gibco, Invitrogen, Paisley, United Kingdom), supplemented with 100 IU/mL penicillin-streptomycin (PS; Gibco) and 10 IU/mL preservative-free heparin (Sigma, St Louis, MO). Diluted BM samples were centrifuged on Lymphoprep (Nycomed Pharma, Oslo, Norway) at 400g for 30 minutes at room temperature to obtain the BM mononuclear cells (BMMCs).

Purification of BM myeloid progenitor and precursor cells

BMMCs from CIN patients and healthy controls were fractionated into CD34+ early progenitor, CD34/CD33+ myeloid progenitor, and CD34/CD33/CD15+ granulocyte precursor cells using sequential immunomagnetic labeling and sorting according to the manufacturer's protocol (Miltenyi Biotec, Bergisch Gladbach, Germany). In all experiments, purity of each subpopulation was more than 96% as estimated by flow cytometry.

Flow cytometric analysis of CD34+ cells

An indirect immunofluorescence technique was used to quantitate the CD34+ cells and their subpopulations in the BMMC fraction. In brief, 1 × 106 BMMCs were stained with phycoerythrin (PE)–conjugated mouse antihuman CD34 monoclonal antibody (mAb) (QBEND-10; Immunotech, Marseille, France) and fluorescein isothiocyanate (FITC)–conjugated mouse antihuman CD33 mAb (D3HL60-251; Immunotech) for 30 minutes on ice. PE- and FITC-conjugated mouse IgG isotype-matched controls were used as negative controls. Cells were washed twice in phosphate-buffered saline (PBS)/1% fetal bovine serum (FBS; Gibco)/0.05% sodium azide and fixed in 500 μL 2% paraformaldeyde solution (PFA; Sigma). Data were acquired and processed on 500 000 events using an Epics Elite model flow cytometer (Coulter, Miami, FL). The estimation of CD34+/CD33+ cells was performed in the gate of cells with low forward (FSC) and low right-angle side scatter (SSC) properties.

7-AAD staining for the study of apoptosis

Aliquots of 1 × 106 BMMCs were stained with PE-conjugated anti-CD34 and FITC-conjugated mouse antihuman Fas (CD95; LOB 3/17; Serotec, Oxford, United Kingdom) mAbs as described (see “Flow cytometric analysis of CD34+cells”). In some experiments, aliquots of 1 × 106 purified CD34+ or CD34/CD33+ and CD34/CD33/CD15+ cells were also stained with FITC-conjugated anti-Fas and PE-conjugated anti-CD33 mAbs or FITC-conjugated anti-Fas and PE-conjugated mouse antihuman CD15 (80H5; Immunotech) mAbs, respectively. The cells were further stained prior to fixation with 100 μL 7-amino-actinomycin D solution (200 μg/mL; 7-AAD; Calbiochem-Novabiochem, La Jolla, CA) as previously described24 and analyzed on 500 000 events using 5 parameters: FSC, SSC, and triple-color immunofluorescence from FITC, PE, and 7-AAD. For the BMMCs, a scattergram was created by combining SSC with CD34 fluorescence in the gate of cells with low FSC and SSC properties and a second scattergram by combining CD34 and Fas fluorescence in the gate of CD34+ cells. Finally, a scattergram was created by combining FSC with 7-AAD fluorescence to quantitate 7-AAD (live), 7-AADdim (early apoptotic), and 7-AADbright (late apoptotic) cells in the gate of CD34+ BMMCs. For the purified CD34+cells, after creating a scattergram combining SSC with CD33 fluorescence, a second scattergram was created by combining CD33 with Fas fluorescence gated on the CD33+ purified CD34+ cells (Figure 1). Similarly, for the purified CD34/CD33+ and CD34/CD33/CD15+ cells, a scattergram was created by combining SSC with CD15 fluorescence gated on each purified population and a second scattergram by combining CD15 with Fas fluorescence gated on the CD15+ cells of each purified population (Figure 2). In each case, a scattergram of FSC versus 7-AAD fluorescence was generated for quantification of live, early, and late apoptotic cells in the gates of CD34+/CD33, CD34+/CD33+, CD33+/CD15, CD33+/CD15+, and CD33/CD15+ cells, representing the sequential stages of granulocyte differentiation. In each cell population, a subset analysis in the Fas+ and Fas cells was also performed. A representative example of this analysis is shown in Figures 1 and 2. Results of apoptosis were expressed as total 7-AAD+ (7-AADbright plus 7-AADdim) cells.

Fig. 1.

Study of apoptosis in purified CD34+ cells.

(A) Scattergram of forward scatter (FSC) versus right-angle side scatter (SSC), to allow gating on CD34+ cells by excluding cell debris (R1). (B) Scattergram of anti-CD33 fluorescence versus SSC gated on R1 to allow gating on CD33+ (R2) or CD33 (R3) cells within the CD34+ (R1) cell fraction. (C) Scattergram of anti-CD33 versus anti-Fas fluorescence gated on R2, showing the Fas+ (R4) and Fas(R5) CD34+/CD33+ cells. A similar scattergram gated on R3 allowed the quantification of Fas+ and Fas CD34+/CD33 cells. (D) Scattergram of FSC versus 7-AAD fluorescence gated on R2, showing 7-AADbright (late apoptotic), 7-AADdim (early apoptotic), and 7-AAD (live) CD34+/CD33+ cells. Similar scattergrams gated on R2+R4 or R2+R5 regions allowed the estimation of 7-AADbright, 7-AADdim, and 7-AADcells within the CD34+/CD33+/Fas+or CD34+/CD33+/Fassubpopulations, whereas scattergrams gated on R3+R4 or R3+R5 regions allowed the estimation of 7-AADbright, 7-AADdim, and 7-AAD cells within the CD34+/CD33/Fas+ or CD34+/CD33/Fassubpopulations.

Fig. 1.

Study of apoptosis in purified CD34+ cells.

(A) Scattergram of forward scatter (FSC) versus right-angle side scatter (SSC), to allow gating on CD34+ cells by excluding cell debris (R1). (B) Scattergram of anti-CD33 fluorescence versus SSC gated on R1 to allow gating on CD33+ (R2) or CD33 (R3) cells within the CD34+ (R1) cell fraction. (C) Scattergram of anti-CD33 versus anti-Fas fluorescence gated on R2, showing the Fas+ (R4) and Fas(R5) CD34+/CD33+ cells. A similar scattergram gated on R3 allowed the quantification of Fas+ and Fas CD34+/CD33 cells. (D) Scattergram of FSC versus 7-AAD fluorescence gated on R2, showing 7-AADbright (late apoptotic), 7-AADdim (early apoptotic), and 7-AAD (live) CD34+/CD33+ cells. Similar scattergrams gated on R2+R4 or R2+R5 regions allowed the estimation of 7-AADbright, 7-AADdim, and 7-AADcells within the CD34+/CD33+/Fas+or CD34+/CD33+/Fassubpopulations, whereas scattergrams gated on R3+R4 or R3+R5 regions allowed the estimation of 7-AADbright, 7-AADdim, and 7-AAD cells within the CD34+/CD33/Fas+ or CD34+/CD33/Fassubpopulations.

Close modal
Fig. 2.

Study of apoptosis in purified CD33+ and CD15+ cells.

(A) Scattergram of anti-CD15 fluorescence versus right-angle side scatter (SSC) of purified CD33+ cells allows distinction between CD33+/CD15+ (R2) and CD33+/CD15 (R3) cells. (B) Scattergram of anti-CD15 versus anti-Fas fluorescence gated on R2 showing Fas+ (R4) and Fas (R5) CD33+/CD15+ cells. (C) Scattergram of anti-CD15 versus anti-Fas fluorescence gated on R3 showing Fas+ (R4) and Fas (R5) CD33+/CD15 cells. (D) Scattergram of forward scatter (FSC) versus 7-AAD fluorescence gated on R2 showing apoptotic and live CD33+/CD15+ cells. (E) Scattergram of anti-CD15 fluorescence versus SSC of purified CD33/CD15+ cells (R6). (F) Scattergram of FSC versus 7-AAD fluorescence gated on R6 showing apoptotic and live CD33/CD15+ cells.

Fig. 2.

Study of apoptosis in purified CD33+ and CD15+ cells.

(A) Scattergram of anti-CD15 fluorescence versus right-angle side scatter (SSC) of purified CD33+ cells allows distinction between CD33+/CD15+ (R2) and CD33+/CD15 (R3) cells. (B) Scattergram of anti-CD15 versus anti-Fas fluorescence gated on R2 showing Fas+ (R4) and Fas (R5) CD33+/CD15+ cells. (C) Scattergram of anti-CD15 versus anti-Fas fluorescence gated on R3 showing Fas+ (R4) and Fas (R5) CD33+/CD15 cells. (D) Scattergram of forward scatter (FSC) versus 7-AAD fluorescence gated on R2 showing apoptotic and live CD33+/CD15+ cells. (E) Scattergram of anti-CD15 fluorescence versus SSC of purified CD33/CD15+ cells (R6). (F) Scattergram of FSC versus 7-AAD fluorescence gated on R6 showing apoptotic and live CD33/CD15+ cells.

Close modal

For the study of apoptosis of peripheral blood neutrophils, aliquots of 100 μL EDTA (ethylenediaminetetraacetic acid)–anticoagulated, fresh or stored overnight at room temperature, blood samples were washed twice and stained with 7-AAD as described (see “7-AAD staining for the study of apoptosis”). Following centrifugation and removal of the supernatant, contaminating red cells were lysed with 0.12% formic acid and samples were fixed in 0.2% PFA using the Q-prep reagent system (Coulter). The samples were analyzed on 10 000 events by creating a scattergram of FSC versus 7-AAD fluorescence gated on the cells with high forward and high side scatter properties where neutrophils are included.

Clonogenic progenitor cell assays

BMMCs or purified CD34+ BM cells were cultured in 35-mm Petri dishes in 1 mL IMDM supplemented with 30% FBS, 1% bovine serum albumin (Gibco), 10−4 M mercaptoethanol (Sigma), 0.075% sodium bicarbonate (Gibco), 2 mM l-glutamine (Sigma), 0.9% methylcellulose (Stem Cell Technologies, Vancouver, BC, Canada), in the presence of 5 ng granulocyte-macrophage colony-stimulating factor (R & D Systems, Minneapolis, MN), 50 ng interleukin 3 (R & D Systems), and 2 IU erythropoietin (Janssen-Ciliag, Athens, Greece) at a concentration of 105 BMMCs or 3 × 103 CD34+ cells/mL culture medium. Following 14 days of culture in a 37°C-5%CO2 fully humidified atmosphere, myeloid colonies were scored and classified as granulocyte colony-forming units (CFU-Gs), macrophage colony-forming units (CFU-Ms), and granulocyte-macrophage colony-forming units (CFU-GMs), according to established criteria.25 Results were finally expressed as CFU-Gs, total CFU-Ms (CFU-Ms plus CFU-GMs), and total CFU-GMs (CFU-Gs plus total CFU-Ms).

Limiting dilution assay for quantification of LTC-ICs

Seven dilutions of a single suspension of CD34+cells were overlaid on preformed murine MS-5 stromal layers26 at concentrations ranging from 10 to 1000 cells/well in 96-well culture plates as previously detailed.27 Cultures were fed weekly by demi-depopulation, and after 5 weeks were overlaid with methylcellulose culture medium with growth factors as described (see “Clonogenic progenitor cell assays”). The frequency of long-term culture-initiating cells (LTC-ICs) was calculated by determining the CD34+ cell dilution that resulted in 37% or fewer wells negative for colonies28 using a Fig.P Biosoft PC program (Biosoft, Cambridge, United Kingdom). Using this culture system, one can also calculate the proliferative potential of LTC-ICs for each subject by dividing the sum total of colonies at week 5 by the number of LTC-ICs among the CD34+ cells plated.29 

Assessment of BM stromal cell function

Standard long-term BM cultures.

Long-term bone marrow cultures (LTBMCs) from 107 BMMCs were grown according to the standard technique25 in 10 mL IMDM supplemented with 10% FBS, 10% horse serum (Gibco), 100 IU/mL PS, 2 mmol l-glutamine and 10−6 mol hydrocortisone sodium succinate (Sigma) and incubated in a 33°C-5%CO2 fully humidified atmosphere. At weekly intervals, the cultures were fed by demi-depopulation and nonadherent cells were counted and assayed for clonogenic progenitor cells as described (see “Clonogenic progenitor cell assays”).

Cytokine measurement in LTBMC supernatants.

Cell-free supernatants of confluent LTBMCs (week 3-4) were stored at −70°C for quantification of tumor necrosis factor α (TNF-α), interferon γ (IFN-γ), and soluble Fas ligand (FasL) using the respective enzyme-linked immunosorbent assays (ELISAs). The sensitivity of these assays is 0.09 pg/mL for TNF-α (Biosource International, Camarillo, CA), 0.1 pg/mL for IFN-γ (Biotrak; Amersham International, Buckinghamshire, United Kingdom), and 0.1 ng/mL for FasL (Bender Medsystems; Medsystems Diagnostics, Vienna, Austria).

RT-PCR for the detection of IFN-γ and FasL in LTMBC stromal cells.

Total mRNA was extracted from adherent cells derived from confluent LTBMCs 24 hours after half medium change using Trizol reagent (Gibco) according to the manufacturer's instructions. Contaminating DNA was removed by digestion with RNAse-free DNAse. The SUPERSCRIPT Preamplification System (Gibco) was used for first-strand cDNA synthesis from 3 μg total RNA, followed by reverse transcription–polymerase chain reaction (RT-PCR) with specific primers. PCR products were normalized according to the amount of glycerol aldehyde phosphate dehydrogenase (GAPDH) in the samples. The following primers were used. For IFN-γ, the forward primer was 5′-GCATCGTTTTGGGTTCTCTTGGCTGTTACTGC-3′ and the reverse primer 5′-CTCCTTTTTCGCTTCCCTGTTTTAGCTGCTGG-3′ (PCR product size, 427 bp). The probe 5′-GAGTGTGGAGACCATCAAGG-3′ was end labeled using polynucleotide kinase (Roche, Mannheim, Germany) with γ32P] adenosine triphosphate (ATP) and used in Southern blot analysis.30For FasL, the forward primer was 5′-GGATTGGGCCTGGGGATGTTTCA-3′, the reverse primer 5′-TTGTGGCTCAGGGGCAGGTTGTTG-3′ (PCR product size, 348 bp), and the probe 5′-GGTCCATGCCTCTGGAATGG-3′. For GAPDH the forward primer was 5′-CCACCCATGGCAAATTCCATGGCA-3′, the reverse primer 5′-TCTAGACGGCAGGTCAGGTCCACC-3′ (PCR product size, 597 bp), and the probe 5′-TGAGAAGTATGACAACAGCC-3′. For IFN-γ and FasL, conditions for 35 cycles of PCR amplification following initial denaturation were 94°C for 1 minute, 68°C (IFN-γ) or 65°C (FasL) for 1 minute, and 72°C for 1 minute. For GAPDH, conditions for 25 cycles PCR were 94°C for 45 seconds, 63°C for 30 seconds, and 72°C for 50 seconds. PCR products were electrophoresed on a 1.5% agarose gel and visualized under ultraviolet light by ethidium-bromide staining before transfer onto a nylon membrane (Hybond N+; Amersham) for hybridization. Positive control for IFN-γ and FasL was cDNA from peripheral blood mononuclear or Jurkat cells, respectively, following induction with phorbol myristate acetate (PMA; 100 ng/mL) plus ionomycin (1 μM) for 4 hours.31 

Recharged LTBMCs.

A 2-stage culture procedure was used to test the capacity of patient BM stromal layers to support normal hematopoiesis. Confluent stromal layers from patients and healthy controls grown in standard LTBMCs were irradiated (10 Gy) and recharged with 5 × 104 normal allogeneic CD34+ BM cells as previously described.27,32 33 In each experiment, flasks were recharged in triplicate and CD34+ cells from the same healthy control were used to test cultures from patients and healthy controls. Cultures were monitored weekly by determining the number of nonadherent cells and the frequency of clonogenic progenitor cells.

Statistical analysis

Data were analyzed in the Graphpad Prism statistical PC program (Graphpad Software, San Diego, CA) by means of the Student ttest and the Pearson coefficient of correlation test. Standard 2-way analysis of variance was applied to define differences in the number of nonadherent cells and the number of clonogenic progenitor cells in LTBMCs and the χ2 test to define differences in IFN-γ and FasL expression in LTBMC stromal layers between patients and controls. Grouped data are expressed as mean ± 1 SD.

BM progenitor cells

Flow cytometric analysis of CD34+ cells in the BMMC fraction of CIN patients and healthy controls is presented in Table2. The patients displayed significantly lower percentage of CD34+ cells compared with the controls (P < .0001) due to the lower proportion of both the committed myeloid CD34+/CD33+(P < .0001) and the more primitive CD34+/CD33 (P = .0039) cells. However, the percentage of CD33+ cells detected within the CD34+ cell fraction was significantly lower in the patients (12.04% ± 4.42%) compared with the controls (24.60% ± 15.82%;P = .0002) suggesting that the reduced proportion of the CD34+/CD33+ cells in CIN patients does not simply reflect the lower total CD34+ cell numbers but concerns specifically the myeloid progenitors. It has been shown that the CD34+/CD33 BM cell fraction contains a significant proportion of the early progenitors cells.34However, despite the low percentage of CD34+/CD33 cells in our CIN patients, the frequency of LTC-ICs, representing the best available approximation of primitive stem cells,35 did not differ significantly between patients (3.53 ± 1.54/103 CD34+cells; n = 15) and healthy controls (3.20 ± 1.86/103CD34+ cells; n = 20; P = .582). Similarly, the proliferative potential of patient LTC-ICs (0.88 ± 0.34) did not differ statistically from the respective control subjects (0.97 ± 0.28; P = .513). Taken together, these data suggest that CIN patients display normal number and proliferative characteristics of primitive stem cells but display low frequency of committed myeloid progenitors.

Survival characteristics of BM myeloid cells and peripheral blood neutrophils

To explore whether the decrease of CD34+ cell percentages in CIN patients is due to increased apoptosis, we first evaluated the proportion of apoptotic cells within the CD34+ fraction of BMMCs (Table 2). We found that patient (n = 31) CD34+ BMMCs contained a significantly higher number of apoptotic cells compared with the controls (n = 29;P = .0189). In contrast, no statistically significant difference was found between patients and controls in the percentage of apoptotic cells detected in the non-CD34+ BMMC fraction (P = .162).

Because Fas antigen expression has been associated with apoptosis of BM hematopoietic progenitor cells,36 we next evaluated the expression of this molecule on patient CD34+ cells (Table2). The proportion of Fas+ cells detected in the CD34+ BMMC fraction was significantly higher in the patients (n = 31) compared with the controls (n = 28;P = .0043) and individual Fas+ cell proportions correlated positively with the percentages of apoptotic CD34+ cells (r = .469, P = .049), suggesting that Fas expression is possibly actively involved in the apoptotic depletion of patient progenitor cells. The highly significant difference in the percentage of apoptotic cells detected between the Fas+ (38.84% ± 24.71%) and Fas(7.47% ± 9.09%; P < .0001) CD34+ cells in the patients corroborates this assumption.

Having demonstrated that increased apoptosis is probably involved in the reduction of patient CD34+ cells, we next evaluated the survival characteristic of the committed myeloid progenitor cells in CIN using immunomagnetically sorted highly purified CD34+cells (Table 2). We found that the percentage of apoptotic cells within the CD34+/CD33+ cell fraction was significantly higher in the patients (n = 18) compared with the controls (n = 10;P = .0054). In contrast, no statistically significant difference was found between patients and controls in the percentage of apoptotic cells detected within the CD34+/CD33 cell fraction (P = .268). Notably, the proportion of apoptotic cells was significantly higher among the CD34+/CD33+ than the CD34+/CD33 cells in the patients (P = .024) but not in the control subjects (P = .867). Furthermore, the aforementioned increased expression of Fas on patient progenitor cells was found to characterize specifically the CD34+/CD33+ subpopulation (P = .0059) because no statistically significant difference was documented between patients and controls in the expression of Fas detected within the CD34+/CD33 cell fraction (P = .061). Moreover, the increased apoptosis in patients' CD34+/CD33+ cell compartment was mainly due to an increased proportion of apoptotic cells within the CD34+/CD33+/Fas+ subpopulation (23.95% ± 22.59% in the patients versus 8.38% ± 9.14% in the controls; P = .048) because no significant difference could be demonstrated between patients and controls in the proportion of apoptotic cells detected within the CD34+/CD33+/Fas cell fraction (10.79% ± 14.36% and 4.38% ± 9.44%, respectively;P = .218). These findings suggest that Fas antigen up-regulation and increased apoptosis are probably involved in the aforementioned reduction of the committed myeloid CD34+/CD33+ cells in patients with CIN.

To investigate whether accelerated apoptosis characterizes specifically the BM myeloid progenitor cells or is a feature of all stages of granulocyte differentiation in CIN, we next evaluated the survival characteristics of BM myeloid precursor cells. The percentage of apoptotic cells and the proportion of Fas+ cells detected in the CD34/CD33+-purified cell fraction did not differ significantly between patients (n = 18) and control subjects (n = 10) (P = .246 and P = .060, respectively). Notably, the percentage of apoptotic cells did not differ significantly between Fas+-purified and Fas-purified CD33+ cells in both patients (P = .324) and normal controls (P = .424). On further analysis, no significant difference could be demonstrated between patients and controls in the percentage of apoptotic cells detected within the CD34/CD15/CD33+(7.61% ± 5.92% versus 5.80% ± 4.72%, respectively;P = .414) and CD34/CD15+/CD33+(11.19% ± 12.78% versus 9.27% ± 6.41%, respectively;P = .661) subpopulations. Similarly, no statistically significant difference was found between patients (n = 18) and control subjects (n = 10) in the percentage of apoptotic cells (P = .0570) or the proportion of Fas+ cells (P = .1851) detected within the CD34/CD33/CD15+-purified cell fraction. Furthermore, the proportion of apoptotic cells did not differ between the Fas+- and Fas-purified CD15+ cells in both patients (P = .255) and control subjects (P = .313). Taken together, these findings indicate that BM early (CD34/CD33+) and mature (CD34/CD33/CD15+) granulocyte precursor cells display normal survival characteristics in patients with CIN.

Finally, we examined the apoptotic rate of patient peripheral blood neutrophils using fresh or overnight stored EDTA-anticoagulated blood samples as previously suggested.37 38 The percentage of apoptotic neutrophils detected in freshly drawn blood samples from CIN patients (2.36% ± 1.62%, n = 23) was not statistically different from the controls (1.73% ± 0.70%, n = 13;P = .150), nor were the proportions of Fas+neutrophils significantly different between patients (51.54% ± 26.01%) and control subjects (61.95% ± 23.55%;P = .209). Following overnight storage, a highly significant increase was observed in the percentage of apoptotic neutrophils in both CIN patients (31.99% ± 16.17%) and healthy controls (30.91% ± 17.07%) compared to baseline (P < .0001 and P < .0001, respectively), which was associated with a significant reduction in the proportion of Fas+ neutrophils after storage (20.70% ± 24.77% in the patients and 14.61% ± 11.31% in the controls) in comparison to baseline (P < .001 in patients andP < .0001 in the controls). However, no significant difference was documented between patients and controls in the percentage of apoptotic or the proportion of Fas+ stored neutrophils (P = .833 and P = .351, respectively), suggesting that peripheral blood neutrophils display normal survival characteristics in CIN. Notably, no significant difference was found in apoptosis between the Fas+ and Fas fresh or stored neutrophils in either patients (P = .361 and P = .083, respectively) or control subjects (P = .135 and P = .120, respectively).

Colony-forming cells

The frequency of clonogenic progenitor cells in the BMMC fraction of CIN patients (n = 31) and healthy controls (n = 34) is depicted in Figure 3. The mean number of total CFU-GMs obtained by 107 BMMCs was significantly lower in the patients (4516 ± 2073) compared with the controls (7650 ± 2136; P < .0001). This decrease reflected probably the lower number of CFU-Gs in CIN patients compared with controls (2290 ± 1289 versus 4556 ± 1919;P < .0001) because no statistically significant difference was found between patients and control subjects in the number of total CFU-Ms (2226 ± 1559 versus 3094 ± 2365;P = .0886).

Fig. 3.

Myeloid progenitor cells in CIN patients.

The left graph represents the mean number (± SEM) of CFU-Gs, total CFU-Ms, and total CFU-GMs obtained by 107 BMMCs of CIN patients (; n = 31) and healthy controls (■; n = 34) using clonogenic assays. The right graph represents the mean colony values (± SEM) obtained by 5 × 104 immunomagnetically sorted CD34+cells in 23 CIN patients () and 15 healthy controls (■). Comparison between patient and control values was performed by means of the Student t test.

Fig. 3.

Myeloid progenitor cells in CIN patients.

The left graph represents the mean number (± SEM) of CFU-Gs, total CFU-Ms, and total CFU-GMs obtained by 107 BMMCs of CIN patients (; n = 31) and healthy controls (■; n = 34) using clonogenic assays. The right graph represents the mean colony values (± SEM) obtained by 5 × 104 immunomagnetically sorted CD34+cells in 23 CIN patients () and 15 healthy controls (■). Comparison between patient and control values was performed by means of the Student t test.

Close modal

To investigate whether the decreased CFU-GM formation in CIN is due to the low progenitor cell number in patients' BMMC fraction or is the consequence of a progenitor cell defect, we tested the clonogenic potential of purified CD34+ BM cells (Figure 3). We found that the total CFU-GM number obtained by 5 × 104CD34+ cells was significantly lower in the patients (668 ± 499, n = 23) compared with the controls (993 ± 362, n = 15; P = .037) and this reduction was essentially due to the low number of CFU-Gs in the patients (331 ± 186 versus 537 ± 180 in the controls; P = .0018) because no significant difference was found between patients and controls in the number of CFU-Ms (337 ± 327 and 456 ± 294, respectively;P = .262). These findings are in agreement with the flow cytometric data suggesting low frequency of committed myeloid progenitor cells in CIN and provide strong evidence for selective decrease of the granulocyte progenitor cells in these patients.

Standard LTBMCs

Typical confluent stromal layers were formed over the first 3 to 4 weeks in both patient (n = 31) and normal (n = 34) LTBMCs. However, the average nonadherent cell recovery was significantly lower in patient LTBMCs compared with controls (F = 5.415 > F3051, P < .01) and the mean duration of colony production by nonadherent cells was also significantly lower in patients (5.7 ± 1.5 weeks) compared with control subjects (8.6 ± 1.5 weeks; P < .0001; Figure4A). In addition, the CFU-GM content of the nonadherent cell fraction of patient LTBMCs was lower than the normal cultures (F = 80.860 > F3221,P < .0001) and this reduction was due to the lower number of both the CFU-Gs (F = 65.946 > F3221,P < .0001) and CFU-Ms (F = 10.378 > F3201, P < .01) in the patients (Figure 4B). These data might reflect a defect in the number and functional characteristics of patient progenitor cells or a defect in the capacity of BM stromal cells to support autologous myelopoiesis.

Fig. 4.

LTBMCs.

(A) Mean number (± SEM) of nonadherent cells detected weekly in LTBMCs of CIN patients (●; n = 31) and healthy controls (○; n = 34) over a period of 8 weeks. (B) Mean frequency (± SEM) of myeloid progenitor cells in the nonadherent cell fraction throughout 8 weeks of culture. Comparison between patient and control cultures was performed using the 2-way analysis of variance test.

Fig. 4.

LTBMCs.

(A) Mean number (± SEM) of nonadherent cells detected weekly in LTBMCs of CIN patients (●; n = 31) and healthy controls (○; n = 34) over a period of 8 weeks. (B) Mean frequency (± SEM) of myeloid progenitor cells in the nonadherent cell fraction throughout 8 weeks of culture. Comparison between patient and control cultures was performed using the 2-way analysis of variance test.

Close modal

Cytokine production by LTBMC stromal layers

It has been reported that the constitutive production of inhibitory cytokines in the BM microenvironment may mediate hematopoietic progenitor cell inhibition.32,39-41 To examine the possible inhibitory effect of BM stromal cells on hematopoiesis in CIN, we first evaluated the levels of TNF-α, IFN-γ, and FasL, molecules known to have proapoptotic properties,42 in the supernatants of confluent LTBMCs from patients and controls. We found that TNF-α levels were significantly higher in the patients (7.41 ± 6.19 pg/mL; median, 6.05 pg/mL; range, 1.26-32.3 pg/mL; n = 26) than the controls (3.24 ± 1.76 pg/mL; median, 3.52 pg/mL; range, 0.35-6.06 pg/mL; n = 12;P = .029; Figure 5) and individual TNF-α values inversely correlated with the numbers of CFU-GMs (r = −0.367, P = .030) and positively with the proportions of CD34+/Fas+ cells (r = .709,P < .0001) and the percentages of CD34+/7-AAD+ cells (r = .783,P < .0001; Figure 6). These data suggest that increased TNF-α production by patient stromal cells may exert a negative effect on the myeloid progenitor cell growth by inducing apoptosis in the CD34+ cell population.

Fig. 5.

Levels of TNF-α in LTBMC supernatants.

Circles represent individual values of TNF-α in LTBMC supernatants harvested on confluence and determined by means of ELISA in 26 patients with CIN and 12 healthy controls. The mean concentration of the cytokine in patients and control subjects and the 95% confidence limits are indicated by horizontal lines and dotted rectangles, respectively. Comparison was performed using the Student ttest (P = .0029).

Fig. 5.

Levels of TNF-α in LTBMC supernatants.

Circles represent individual values of TNF-α in LTBMC supernatants harvested on confluence and determined by means of ELISA in 26 patients with CIN and 12 healthy controls. The mean concentration of the cytokine in patients and control subjects and the 95% confidence limits are indicated by horizontal lines and dotted rectangles, respectively. Comparison was performed using the Student ttest (P = .0029).

Close modal
Fig. 6.

Correlations between the levels of TNF-α in LTBMC supernatants and the numbers of myeloid progenitor cells and apoptotic CD34+ cells.

Diagrams show linear regression analysis for the correlation between the values of TNF-α in LTBMC supernatants and the number of total CFU-GMs (A), the percentages of CD34+/Fas+cells (B), and the proportions of CD34+/7-AAD+cells (C) in the entire group of subjects studied (26 CIN patients and 12 healthy controls). Coefficient of correlation (r) and degree of significance (P) are indicated. Regression lines are shown as solid lines and the 95% confidence limits as dotted lines. CIN patients (●); healthy controls (○).

Fig. 6.

Correlations between the levels of TNF-α in LTBMC supernatants and the numbers of myeloid progenitor cells and apoptotic CD34+ cells.

Diagrams show linear regression analysis for the correlation between the values of TNF-α in LTBMC supernatants and the number of total CFU-GMs (A), the percentages of CD34+/Fas+cells (B), and the proportions of CD34+/7-AAD+cells (C) in the entire group of subjects studied (26 CIN patients and 12 healthy controls). Coefficient of correlation (r) and degree of significance (P) are indicated. Regression lines are shown as solid lines and the 95% confidence limits as dotted lines. CIN patients (●); healthy controls (○).

Close modal

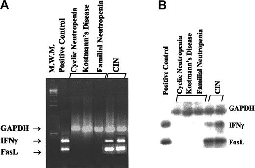
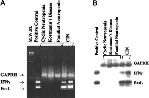
Because ELISA failed to detect IFN-γ or FasL in LTBMC supernatants from any of the subjects studied, we examined the mRNA expression of these molecules in electrophoresed RT-PCR products derived from adherent cells of the cultures. In keeping with previous reports,39 IFN-γ mRNA expression was not found in any of the normal cultures (n = 10). However, 7 of 18 CIN patients (39%) displayed IFN-γ mRNA expression in their stromal layers (P < .05). Similarly, FasL expression was detected in none of the normal but in 9 of 18 (50%) CIN stromal cell preparations (P < .05). Interestingly, the IFN-γ expressing stromal cell layers coexpressed FasL mRNA. In contrast, IFN-γ and FasL mRNA was not detected in stromal cell extracts derived from patients with cyclic (n = 1), severe congenital (n = 1), or familial (n = 2) neutropenia (Figure 7).

Fig. 7.

IFN-γ and FasL expression in LTBMC stromal layers.

Total mRNA was extracted from adherent cells of confluent LTBMCs from patients and controls and subjected to RT-PCR analysis for IFN-γ and FasL expression using specific primers. PCR products were electrophoresed on a 1.5% agarose gel and visualized under ultraviolet light by ethidium-bromide staining. As positive controls for IFN-γ and FasL expression, cDNA was obtained from peripheral blood mononuclear (IFN-γ) or Jurkat (FasL) cells stimulated with phorbol myristate acetate (PMA;100 ng/mL) plus ionomycin (1 μM) for 4 hours. (A) RT-PCR detection of IFN-γ and FasL in cell cultures derived from positive controls and representative patients with CIN. Three samples derived from patients with cyclic, severe congenital (Kostmann disease) and familial neutropenia, respectively, were negative for IFN-γ and FasL and are also shown. GAPDH was used as a control for cDNA amplification. (B) Hybridization of RT-PCR products derived from the positive controls, the 2 CIN patients, and the 3 patients with cyclic, severe congenital, and familial neutropenia was performed using gene-specific primers to confirm the nature of the amplified products. MWM indicates molecular weight marker.

Fig. 7.

IFN-γ and FasL expression in LTBMC stromal layers.

Total mRNA was extracted from adherent cells of confluent LTBMCs from patients and controls and subjected to RT-PCR analysis for IFN-γ and FasL expression using specific primers. PCR products were electrophoresed on a 1.5% agarose gel and visualized under ultraviolet light by ethidium-bromide staining. As positive controls for IFN-γ and FasL expression, cDNA was obtained from peripheral blood mononuclear (IFN-γ) or Jurkat (FasL) cells stimulated with phorbol myristate acetate (PMA;100 ng/mL) plus ionomycin (1 μM) for 4 hours. (A) RT-PCR detection of IFN-γ and FasL in cell cultures derived from positive controls and representative patients with CIN. Three samples derived from patients with cyclic, severe congenital (Kostmann disease) and familial neutropenia, respectively, were negative for IFN-γ and FasL and are also shown. GAPDH was used as a control for cDNA amplification. (B) Hybridization of RT-PCR products derived from the positive controls, the 2 CIN patients, and the 3 patients with cyclic, severe congenital, and familial neutropenia was performed using gene-specific primers to confirm the nature of the amplified products. MWM indicates molecular weight marker.

Close modal

Recharged LTBMCs

To test the hematopoiesis-supporting capacity of patient stromal cells independently of the autologous progenitor cells, confluent LTBMCs from 4 CIN patients with IFN-γ– and FasL-expressing stromal cells and 4 healthy controls were recharged with normal CD34+ cells. The frequency of CFU-GMs and CFU-Gs obtained over a period of 5 weeks after the CD34+ cell inoculum were lower in patient LTBMCs compared with controls (F301 = 5.716 and F301 = 6.670, respectively; P < .05 and P < .05, respectively), indicating further the inhibitory effect of CIN BM microenvironment on myelopoiesis (Figure8).

Fig. 8.

Recharged LTBMCs.

Preformed irradiated LTBMC stromal layers from 4 CIN patients with IFN-γ– and FasL-expressing stromal cells () and 4 healthy controls (■) were recharged with normal CD34+ cells. The left graph represents the mean (± SEM) number of total CFU-GMs and the right graph the mean (± SEM) frequency of CFU-Gs obtained in the nonadherent cell fraction over a period of 5 weeks after the CD34+ cell inoculum, in patient and normal LTBMCs. Comparison was performed using the 2-way variance analysis test.

Fig. 8.

Recharged LTBMCs.

Preformed irradiated LTBMC stromal layers from 4 CIN patients with IFN-γ– and FasL-expressing stromal cells () and 4 healthy controls (■) were recharged with normal CD34+ cells. The left graph represents the mean (± SEM) number of total CFU-GMs and the right graph the mean (± SEM) frequency of CFU-Gs obtained in the nonadherent cell fraction over a period of 5 weeks after the CD34+ cell inoculum, in patient and normal LTBMCs. Comparison was performed using the 2-way variance analysis test.

Close modal

Acquired CIN in adults has long been recognized more as a syndrome than a disease generally characterized by a homogenous constellation of clinical features and a rather unifying natural history but variable underlying pathophysiology and BM morphology.2,4,5,20Serum antineutrophil antibody screening, marrow examination, and in vitro culture studies evaluating the granulocyte progenitor growth potential have been used to determine parameters with possible pathophysiologic relevance in the clinical setting of this variable disease state.18,20 Results from such studies have revealed a common cellular defect in a subgroup of patients with negative serum antineutrophil antibody activity that concerns a selective hypoplasia of the BM granulocytic series with increased immature–mature cell ratio suggesting either a defective myeloid cell development or loss of cells during the differentiation process.15 

In an attempt to probe the pathophysiologic mechanisms underlying CIN, we have investigated cell reserves and function in several stages of granulocyte differentiation in CIN patients using in vitro culture assays and flow cytometry. The data of the study show significant quantitative and functional abnormalities of the granulocyte progenitor cells indicated by the low percentage of CD34+/CD33+ cells, the low frequency of CFU-G progenitors cells within the BMMCs or the purified CD34+cell fraction, and the low CFU-G recovery in LTBMCs. To characterize further the underlying cellular defect in CIN, we conducted apoptosis studies in unfractionated and purified BM-derived granulocyte progenitor and precursor cell populations as well as in peripheral blood neutrophils. These studies demonstrated accelerated apoptosis in the CD34+ cell fraction of the patients concerning specifically the committed CD34+/CD33+ but not the more primitive CD34+/CD33 cells. In keeping with this finding is the normal number and proliferative capacity of the early progenitor cells (LTC-ICs) in the patients. Furthermore, CIN patients displayed normal rate of spontaneous apoptosis in more mature stages of granulocyte differentiation, namely, the CD33+/CD15, CD33+/CD15+, and CD33/CD15+ cells and peripheral blood neutrophils. These data indicate that accelerated apoptosis in patients' BM myeloid cell compartment characterizes specifically the committed granulocyte progenitor cells.

Increased apoptosis of BM progenitor cells has been implicated in the pathophysiology of marrow failure associated with myelodysplastic syndromes and aplastic anemia43 and Fas receptor triggering on hematopoietic progenitors has been recognized as a central pathway for the elimination of stem cells in these conditions.42,44 We therefore evaluated Fas antigen expression on the progenitor cells of patients with CIN and we found a significant up-regulation of this molecule on the CD34+cell fraction that specifically characterized the CD34+/CD33+ committed myeloid progenitor cell subpopulation but not the more primitive CD34+/CD33 cells. Although Fas antigen expression is not always associated with apoptotic cell death,45 it seems likely that the Fas pathway is actively involved in the apoptotic depletion of patient CD34+/CD33+ cells because the proportion of apoptotic cells was significantly higher among the Fas+than among the Fas cells. In addition, the increased apoptosis detected within the CD34+/CD33+ cell fraction of the patients was mainly due to the significantly higher rate of apoptosis within the CD34+/CD33+/Fas+ but not within the CD34+/CD33+/Fas cells of the patients compared with the controls. The correlation between the proportions of Fas+ and apoptotic CD34+ cells corroborates further the assumption of a Fas-induced apoptotic depletion of patient progenitor cells.

Flow cytometric analysis of BM myeloid precursor cells and peripheral blood neutrophils did not show significant differences between CIN patients and healthy controls in the proportion of Fas+cells. Furthermore, no significant differences were documented in the above populations in the frequency of apoptotic cells detected between the Fas+ and the Fas cells of CIN patients or control subjects. These data are consistent with a possible constitutive expression of Fas in the mature stages of the myeloid development. Constitutive expression of Fas antigen on normal peripheral blood neutrophils has also been described46 and increased FasL-mediated destruction of neutrophils has been involved in the pathogenesis of neutropenia associated with Felty syndrome and other disorders of large granular lymphocytes.47 

Although Fas antigen is normally expressed on various hematopoietic cell subjects, it has been shown that normal hematopoietic progenitor cells do not express Fas or express the antigen at low level under steady-state conditions.36 However, overproduction of TNF-α and IFN-γ in the setting of BM failure syndromes has been reported to induce Fas up-regulation on marrow CD34+ cells rendering them susceptible to FasL-mediated apoptosis.44Our CIN patients displayed increased levels of TNF-α in their LTBMC supernatants that correlated with the proportion of Fas+and apoptotic CD34+ cells while they also exhibited pathologic IFN-γ and FasL expression in their stromal layers. IFN-γ and FasL are produced mainly by activated lymphocytes that might persist in LTBMC conditions39 affecting patients' myeloid progenitor cell growth. The fact, however, that BMMCs from patients with IFN-γ– and FasL-expressing stromal cells did not display cytokine mRNA expression in all cases and vice versa (data not shown), suggests that probably more than one cell population may produce the inflammatory cytokines in patients' BM microenvironment in the setting of a cross talk between the immune cells. Circumstantial evidence showing that BM-derived macrophages may also produce IFN-γ and FasL on activation48,49 and solid evidence suggesting that both activated macrophages and lymphocytes may be the source of TNF-α production50 corroborates this assumption. The precise origin of TNF-α–, IFN-γ–, and FasL-producing cells in patients' BM microenvironment will be an interesting area for future studies.

Accelerated apoptosis of BM myeloid progenitor cells has been recently recognized as a common pathophysiologic feature in neutropenias associated with congenital hematologic disorders such as cyclic and severe congenital neutropenia (Kostmann disease),38,51myelokathexis,37 and Shwachman-Diamond syndrome.52 Although the precise cellular or molecular defects and factors that predispose BM myeloid cells to increased apoptosis in these neutropenic states remain largely unknown, it has been suggested that the high rate of apoptotic death of BM granulocyte progenitor and precursor cells largely contributes to compromised granulocytopoiesis in these conditions. The fact, however, that our control cases with congenital neutropenias did not express FasL and IFN-γ mRNA in their stromal cell suggests that a mechanism other that inflammatory cytokine production may be implicated in the apoptotic cell death of the BM myeloid cells in these disease states.

LTBMC stromal layers from the patients failed to support autologous hematopoiesis as indicated by the low number of nonadherent cells, the low frequency of clonogenic progenitor cells in the nonadherent cell fraction, and the short duration of colony production by nonadherent cells in comparison to normal LTBMCs. Patient LTBMC layers displayed also a negative effect on allogeneic normal CD34+ cell growth, corroborating further the assumption of an inhibitory role of BM microenvironment on hematopoiesis in patients with CIN.

In summary, the findings of the present study suggest that impaired granulocytopoiesis in patients with CIN is associated with accelerated apoptosis of the BM myeloid progenitor cells. We assume that the overproduction of TNF-α, IFN-γ, and FasL by immune cells within the BM microenvironment of patients with CIN probably exerts an inhibitory effect on myelopoiesis by inducing the Fas-mediated apoptosis on the granulocyte progenitors. The inciting events, however, preceding the marrow failure in the disorder, the possible association of the BM immune dysregulation with the previously described HLA class II genetic predisposition,8 and the cause for the selective inhibition of the myeloid development remain to be clarified.

The authors wish to thank Dr Maria Psyllaki for estimating differential counts in BM smears from CIN patients and control subjects and the staff of the Institute of Clinical Immunology and Transfusion Medicine of the Justus-Liebig University for performing the antineutrophil antibody screening.

Prepublished online as Blood First Edition Paper, November 27, 2002; DOI 10.1182/blood-2002-09-2898.

Supported by a grant from the University Hospital of Heraklion, Greece.

The publication costs of this article were defrayed in part by page charge payment. Therefore, and solely to indicate this fact, this article is hereby marked “advertisement” in accordance with 18 U.S.C. section 1734.

1
Kyle
RA
Linman
JW
Chronic idiopathic neutropenia: a newly recognized entity?
N Engl J Med.
279
1968
1015
1019
2
Dale
DC
Guerry
D
Wewerka
JR
Bull
JM
Chusid
MJ
Chronic neutropenia.
Medicine (Baltimore).
58
1979
128
144
3
Haddy
TB
Rana
SR
Castro
O
Benign ethnic neutropenia: what is a normal absolute neutrophil count?
J Lab Clin Med.
133
1999
15
22
4
Papadaki
HA
Palmblad
J
Eliopoulos
GD
Non-immune chronic idiopathic neutropenia of adult: an overview.
Eur J Haematol.
67
2001
35
44
5
Kyle
RA
Natural history of chronic idiopathic neutropenia.
N Engl J Med.
302
1980
908
909
6
Palmblad
J
Papadaki
HA
Eliopoulos
G
Acute and chronic neutropenias: what is new?
J Intern Med.
250
2001
476
491
7
Papadaki
HA
Xylouri
I
Coulocheri
S
Kalmanti
M
Kafatos
A
Eliopoulos
GD
Prevalence of chronic idiopathic neutropenia of adults among an apparently healthy population living on the island of Crete.
Ann Hematol.
78
1999
293
297
8
Papadaki
HA
Eliopoulos
GD
Coulocheri
SA
Spyropoulou
M
Stavropoulos-Giokas
C
Increased frequency of HLA-DRB1*1302 haplotype in patients with nonimmune chronic idiopathic neutropenia of adults [letter].
Blood.
97
2001
580
581
9
Papadaki
HA
Giouremou
K
Eliopoulos
GD
Low frequency of myeloid progenitor cells in chronic idiopathic neutropenia of adults may be related to increased production of TGF-beta1 by bone marrow stromal cells.
Eur J Haematol.
63
1999
154
162
10
Bishop
CR
Rothstein
G
Ashenbrucker
HE
Athens
JW
Leukokinetic studies, XIV: blood neutrophil kinetics in chronic, steady-state neutropenia.
J Clin Invest.
50
1971
1678
1689
11
Papadaki
HA
Eliopoulos
GD
Enhanced neutrophil extravasation may be a contributing factor in the determination of neutropenia in patients with chronic idiopathic neutropenia of adults.
Eur J Haematol.
61
1998
272
277
12
Hartman
KR
LaRussa
VF
Rothwell
SW
Atolagbe
TO
Ward
FT
Klipple
G
Antibodies to myeloid precursor cells in autoimmune neutropenia.
Blood.
84
1994
625
631
13
Shastri
KA
Logue
GL
Autoimmune neutropenia.
Blood.
81
1993
1984
1995
14
Young
NS
Agranulocytosis.
Bone Marrow Failure Syndromes.
Young
NS
2000
156
182
Saunders
Philadelphia, PA
15
Dale
DC
Neutrophil disorders: benign, quantitative abnormalities of neutrophils.
Hematology.
Williams
WJ
Beutler
E
Erslev
AJ
Lichtman
MA
1991
807
816
McGraw-Hill
New York, NY
16
Papadaki
HA
Chatzivassili
A
Stefanaki
K
Koumaki
V
Kanavaros
P
Eliopoulos
GD
Morphologically defined myeloid cell compartments, lymphocyte subpopulations, and histological findings of bone marrow in patients with nonimmune chronic idiopathic neutropenia of adults.
Ann Hematol.
79
2000
563
570
17
Greenberg
PL
Schrier
SL
Granulopoiesis in neutropenic disorders.
Blood.
41
1973
753
769
18
Greenberg
PL
Clinical relevance of in vitro study of granulocytopoiesis.
Scand J Haematol.
25
1980
369
381
19
Papadaki
HA
Gibson
FM
Rizzo
S
Gordon-Smith
EC
Marsh
JC
Assessment of bone marrow stem cell reserve and function and stromal cell function in patients with autoimmune cytopenias.
Blood.
96
2000
3272
3275
20
Greenberg
PL
Mara
B
Steed
S
Boxer
L
The chronic idiopathic neutropenia syndrome: correlation of clinical features with in vitro parameters of granulocytopoiesis.
Blood.
55
1980
915
921
21
Morardet
N
Mielot
F
Tchernia
G
Morel-Brossel
S
Parmentier
C
Granulocyte progenitor cells (CFC) culture in the adult chronic idiopathic neutropenia: a study of 12 cases.
Nouv Rev Fr Hematol.
22
1980
125
134
22
Lichtman
MA
Neutrophil disorders: classification and manifestations.
Hematology.
Williams
WJ
Beutler
E
Erslev
AJ
Lichtman
MA
1991
802
806
McGraw-Hill
New York, NY
23
Bux
J
Behrens
G
Jaeger
G
Welte
K
Diagnosis and clinical course of autoimmune neutropenia in infancy: analysis of 240 cases.
Blood.
91
1998
181
186
24
Philpott
NJ
Turner
AJ
Scopes
J
et al
The use of 7-amino actinomycin D in identifying apoptosis: simplicity of use and broad spectrum of application compared with other techniques.
Blood.
87
1996
2244
2251
25
Coutinho
LH
Gilleece
MH
De Wynter
EA
Will
A
Testa
NG
Clonal and long-term cultures using human bone marrow.
Haemopoiesis: A Practical Approach. Oxford
Testa
NG
Molineux
G
1993
75
106
Oxford University Press
United Kingdom
26
Issaad
C
Croisille
L
Katz
A
Vainchenker
W
Coulombel
L
A murine stromal cell line allows the proliferation of very primitive human CD34++/CD38− progenitor cells in long-term cultures and semisolid assays.
Blood.
81
1993
2916
2924
27
Papadaki
HA
Gibson
FM
Psyllaki
M
Gordon-Smith
EC
Marsh
JC
Eliopoulos
GD
Assessment of bone marrow stem cell reserve and function and stromal cell function in patients with severe congenital neutropenia.
Eur J Haematol.
67
2001
245
251
28
Weaver
A
Ryder
WDJ
Testa
NG
Measurement of long-term culture initiating cells (LTC-ICs) using limiting dilution: comparison of endpoints and stromal support.
Exp Hematol.
25
1997
1333
1338
29
Rizzo
S
Scopes
J
Elebute
M
Papadaki
HA
Gordon-Smith
EC
Gibson
FM
Stem cell defect in aplastic anemia: reduced long term culture-initiating cells (LTC-IC) in CD34+ cells isolated from aplastic anemia patient bone marrow.
Hematol J.
3
2002
230
236
30
Sambrook
J
Fritsch
EF
Maniatis
T
Molecular Cloning: A Laboratory Manual.
1989
Cold Spring Harbor Laboratory Press
Old Spring Harbor, NY
31
Oyaizu
N
Than
S
McCloskey
TW
Pahwa
S
Requirement of p56lck in T-cell receptor/CD3-mediated apoptosis and Fas-ligand induction in Jurkat cells.
Biochem Biophys Res Commun.
213
1995
994
1001
32
Papadaki
HA
Kritikos
HD
Gemetzi
C
et al
Bone marrow progenitor cell reserve and function and stromal cell function are defective in rheumatoid arthritis: evidence for a tumor necrosis factor alpha-mediated effect.
Blood.
99
2002
1610
1619
33
Papadaki
HA
Boumpas
DT
Gibson
FM
et al
Increased apoptosis of bone marrow CD34(+) cells and impaired function of bone marrow stromal cells in patients with systemic lupus erythematosus.
Br J Haematol.
115
2001
167
174
34
Garland
JM
Rudin
CE
Introduction to the hematopoietic system.
Colony-Stimulating Factors: Molecular and Cellular Biology.
Garland
JM
Quesenberry
PJ
Hilton
DJ
1997
1
33
Marcel Dekker
New York, NY
35
Sutherland
HJ
Lansdorp
PM
Henkelman
DH
Eaves
AC
Eaves
CJ
Functional characterization of individual human hematopoietic stem cells cultured at limiting dilution on supportive marrow stromal layers.
Proc Natl Acad Sci U S A.
87
1990
3584
3588
36
Nagafuji
K
Shibuya
T
Harada
M
et al
Functional expression of Fas antigen (CD95) on hematopoietic progenitor cells.
Blood.
86
1995
883
889
37
Aprikyan
AA
Liles
WC
Park
JR
Jonas
M
Chi
EY
Dale
DC
Myelokathexis, a congenital disorder of severe neutropenia characterized by accelerated apoptosis and defective expression of bcl-x in neutrophil precursors.
Blood.
95
2000
320
327
38
Aprikyan
AA
Liles
WC
Rodger
E
Jonas
M
Chi
EY
Dale
DC
Impaired survival of bone marrow hematopoietic progenitor cells in cyclic neutropenia.
Blood.
97
2001
147
153
39
Selleri
C
Maciejewski
JP
Sato
T
Young
NS
Interferon-gamma constitutively expressed in the stromal microenvironment of human marrow cultures mediates potent hematopoietic inhibition.
Blood.
87
1996
4149
4157
40
Selleri
C
Sato
T
Anderson
S
Young
NS
Maciejewski
JP
Interferon-gamma and tumor necrosis factor-alpha suppress both early and late stages of hematopoiesis and induce programmed cell death.
J Cell Physiol.
165
1995
538
546
41
Papadaki
HA
Kritikos
HD
Valatas
V
Boumpas
DT
Eliopoulos
GD
Anemia of chronic disease in rheumatoid arthritis is associated with increased apoptosis of bone marrow erythroid cells: improvement following anti-tumor necrosis factor-alpha antibody therapy.
Blood.
100
2002
474
482
42
Gersuk
GM
Beckham
C
Loken
MR
et al
A role for tumour necrosis factor-alpha, Fas and Fas-Ligand in marrow failure associated with myelodysplastic syndrome.
Br J Haematol.
103
1998
176
188
43
Young
NS
Bone Marrow Failure Syndromes.
2000
Saunders
Philadelphia, PA
44
Maciejewski
J
Selleri
C
Anderson
S
Young
NS
Fas antigen expression on CD34+ human marrow cells is induced by interferon γ and tumor necrosis factor α and potentiates cytokine-mediated hematopoietic suppression in vitro.
Blood.
85
1995
3183
3190
45
Miyawaki
T
Uehara
T
Nibu
R
et al
Differential expression of apoptosis-related Fas antigen on lymphocyte subpopulations in human peripheral blood.
J Immunol.
149
1992
3753
3758
46
Liles
WC
Klebanoff
SJ
Regulation of apoptosis in neutrophils: Fas track to death?
J Immunol.
155
1995
3289
3291
47
Liu
JH
Wei
S
Lamy
T
et al
Chronic neutropenia mediated by Fas ligand.
Blood.
95
2000
3219
3222
48
Rothfuchs
AG
Gigliotti
D
Palmblad
K
Andersson
U
Wigzell
H
Rottenberg
ME
IFN-alpha beta-dependent, IFN-gamma secretion by bone marrow-derived macrophages controls an intracellular bacterial infection.
J Immunol.
167
2001
6453
6461
49
Kitagawa
M
Yamaguchi
S
Takahashi
M
Tanizawa
T
Hirokawa
K
Kamiyama
R
Localization of Fas and Fas ligand in bone marrow cells demonstrating myelodysplasia.
Leukemia.
12
1998
486
492
50
Rook
G
Balkwill
F
Cell-mediated immune reactions.
Immunology. London
Roitt
I
Brostoff
J
Male
D
1998
121
138
Mosby
United Kingdom
51
Dale
DC
Person
RE
Bolyard
AA
et al
Mutations in the gene encoding neutrophil elastase in congenital and cyclic neutropenia.
Blood.
96
2000
2317
2322
52
Dror
Y
Freedman
MH
Shwachman-Diamond syndrome marrow cells show abnormally increased apoptosis mediated through the Fas pathway.
Blood.
97
2001
3011
3016

Author notes

Helen A. Papadaki, Department of Hematology of the University Hospital of Heraklion, PO Box 1352, Heraklion, Crete, Greece; e-mail: epapadak@med.uoc.gr.

Sign in via your Institution