Abstract
Allogeneic stem cell transplantation is curative for certain cancers, but the high doses of chemotherapy/radiotherapy lead to toxicity. Here, we treat patients with refractory cancer with 100 cGy total body irradiation (TBI) followed by infusion of nonmobilized pheresed allogeneic peripheral blood cells. Twenty-five patients, with a median age of 47 years, with refractory cancers were enrolled. Eighteen patients received sibling and 7 received unrelated cord blood cells. Donor chimerism was assessed at weeks 1, 2, 3, 4, and 8 after transplantation. Seven patients with solid tumors received a sibling transplant and 6 received a cord blood transplant; none achieved donor chimerism, but 1 treated at the higher dose level of 1 × 108 CD3+ cells/kg had a transient nodal response. Twelve patients with hematologic malignancies were treated; 1 received a cord blood transplant and 11 received sibling donor cells. Nine of these 11 patients achieved donor chimerism, ranging from 5% to 100%. Four patients had sustained complete remission of their cancers, including one patient with transient 5% donor chimerism. The development of chimerism correlated with hematologic malignancy (P < .001), total previous myelotoxic chemotherapy (P < .001), T-cell dose (P = .03), and graft-versus-host disease (P = .01). Tumor response correlated with donor chimerism (P = .01). Engraftment was achieved in patients with hematologic malignancies who had been heavily pretreated, suggesting the degree of immunosuppression may be a determinant of engraftment. Low-dose TBI and allogeneic lymphocyte infusion may induce remission in patients with refractory hematologic malignancy.
Introduction
Myeloablative chemotherapy and radiotherapy followed by allogeneic stem cell transplantation has been shown to be curative for certain hematologic malignancies, aplastic anemia, and genetic diseases.1-3 The morbidity of the procedure has limited allogeneic transplantation to younger patients in good physical condition.4,5 Many centers have set age eligibility criteria at younger than 50 or 60 years.6,7 However, the majority of patients with leukemia and lymphoma are over the age of 50 years.8 Therefore, novel strategies are needed to care for these patients.
Work from our laboratory, in a syngeneic murine model, has shown that in a nonablative transplant model, engraftment can be achieved using a high stem cell dose.9 Using a BALB/c male-to-female transplant model, we have shown that 40% donor chimerism can be achieved by injection of 200 million cells into the nonirradiated mice. Using the same murine model, we have shown that a dose of 100 cGy radiation (minimal myeloablation) permits 60% to 80% donor chimerism, with injection of only 40 million marrow cells.10 These studies indicate that in this syngeneic murine model, the dose of 100 cGy is toxic to stem cells, but not myelotoxic, and suggest that the final host and donor ratio may be determined by competition between host and donor stem cells.
Recently, Slavin et al, Khouri et al, and others have used minimally ablative doses of chemotherapy (“mini-transplants”) to treat older patients with hematologic malignancies.11-13 These studies were based on previous data that showed that donor lymphocyte infusions can induce remissions in patients who have a relapse after allogeneic transplantation, illustrating a graft-versus-leukemia effect.14-16 In the experience at the M. D. Anderson Center (Houston, TX), 15 patients with advanced leukemia or myelodysplastic syndromes, who were not candidates for conventional transplantation because of age or comorbid medical conditions, received an allogeneic stem cell transplant after conditioning with a purine analog-based nonmyeloablative chemotherapy regimen. Thirteen patients had engraftment, with one treatment-related death; 3 patients are alive without disease 6 months after treatment.17 Porter et al treated 18 patients with interferon and donor lymphocyte infusions.18 Prior autologous transplantation was associated with late chimerism, and one patient developed pancytopenia.
“Mini-transplants” have been studied in patients with diseases traditionally treated with stem cell transplantation, such as leukemia and lymphoma that is responsive to chemotherapy, and in patients with matched or one antigen-mismatched sibling donors. In this phase 1 study, we treated patients with refractory cancer, including solid tumors not traditionally treated with transplantation. Because the majority of patients do not have a family matched donor, we also extended this therapy to patients without family donors through the use of umbilical cord blood.19,20 Umbilical cord blood has been a useful alternative stem cell source for patients without family donors, but it has not been studied after a low-dose radiation-conditioning regimen.21-24 We selected the dose of 100 cGy based on our preclinical studies, which used a syngeneic model.
Patients and methods
Umbilical cord blood collections and processing
Cord blood units were obtained from the American Red Cross Cord Blood Program. All cord blood donors signed an informed consent approved by the Institutional Review Board of the University of Massachusetts Medical School, Memorial Health Care, or St Vincent's Hospital, (Worcester, MA) depending on the hospital of delivery. Cord blood was collected only from single birth, term, low-risk deliveries, and the blood was collected with the placenta in utero after cleansing the cord with alcohol and Betadine. The blood was collected into a standard blood donor bag containing 35 mL citrate phosphate dextrose (CPD; Baxter Healthcare, Deerfield, IL). Cord blood was processed and cryopreserved according to the methods of Rubinstein et al.20 Cord blood was stored in the liquid phase of liquid nitrogen until ready for use. Cord blood was thawed just prior to transplantation according to methods of Kurtzberg et al.22
Patient eligibility
Patients between the ages of 18 and 75 years with histologically proven malignancy refractory to conventional therapy were eligible for this study. Patients required an HLA-identical or one-antigen mismatched family donor or a 4 of 6, 5 of 6, or 6 of 6 antigen-matched umbilical cord blood unit. Patients were required to have pulmonary function tests with carbon monoxide diffusion in the lung 50% or greater predicted and a creatinine clearance more than 50 mL/min. Patients and donors signed written informed consents approved by the Institutional Review Board of University of Massachusetts Medical School.
Donor lymphocyte collection
Donors received no filgrastim or chemotherapy priming. Leukapheresis was performed using conventional techniques for mononuclear cell collection. The target dose was initially set at 1 × 107 CD3+ cells/kg (2 patients) and was then increased to 1 × 108 CD3+ cells/kg. Donors were collected a second consecutive day if the target dose was not reached on the first day of collection.
Conditioning regimen
Patients were treated with 100 cGy total body irradiation (TBI) given by lateral opposing fields at a dose rate of 10 cGy/min. Individual patient specific compensators were used to provide x-ray dose uniformity throughout the patient. There was no normal tissue (pulmonary or renal) shielding. Treatment was given in the morning, and the pheresis product was given 4 to 6 hours after the TBI. Treatment was given to recipients as outpatients and no graft-versus-host (GVHD) disease prophylaxis was administered. A second pheresis product infusion (no TBI) was offered at 8 weeks after the first infusion for patients with less than 50% donor chimerism.
Follow-up after transplantation
Patients were followed in the outpatient clinic weekly for 4 weeks, then at 8 weeks, 16 weeks, and then at 6-month intervals. The assessment included blood counts, GVHD assessment, and chimerism analysis. No routine prophylactic antibiotics, growth factors, or immunosuppression were given. GVHD was graded according to the Glucksberg criteria.25 At 8 weeks after infusion, a bone marrow aspirate and biopsy and a formal tumor staging (computed tomography [CT] scans as appropriate) were performed.
Chimerism analysis
The primary end point of the study was donor-recipient chimerism measured at 1, 2, 3, 4, and 8 weeks after infusion. After the first 8 weeks, chimerism was performed at 16 weeks, and then every 6 months in the long-term survivors. Chimerism was performed by the Baltimore Rh Typing Laboratory (BRT) and was performed on nucleated cells isolated from whole blood. Short tandem repeat testing in multiplex battery was performed by BRT.26,27 The samples were processed using a modified guanidinium-based isolation method and isolated DNA quantitated in a test gel.28 DNA (1 ng) was subjected to Taqstart antibody-regulated polymerase chain reaction (PCR) amplification with Promega Power Plex 1.1 and 2.1 primer sets (Madison, WI).29 The amplified DNA was run in a 43-cm denaturing polyacrylamide gel and scanned using an FMBIOII fluorescent imager. Relative genomic copy number of donor and recipient cells in each posttransplantation sample was estimated by analyzing the area under the signal spectrum peaks corresponding to relevant alleles. The reproducible level of sensitivity in our assay, as monitored by control mixture lanes, was 5% to 7%. Percent donor engraftment or chimerism was defined as the percent of total cells derived from estimates of donor DNA.
Statistical analysis
Disease (hematologic malignancy versus solid tumor), graft type (cord blood versus sibling), T-cell dose (1 × 108 CD3 cells/kg versus other), development of GVHD, number of prior chemotherapy drugs, days of neutropenia, and number of platelet and red blood cell (RBC) transfusions were studied as predictive factors for 2 end points of donor chimerism and tumor response. In univariate analysis, the Fisher exact test was used to test the difference of proportional distribution of donor chimerism and tumor response among different categories of all these 7 factors. The association between donor chimerism and tumor response was tested using the McNemar test. A multivariate, exact logistic regression analysis (Cytel Statistical Software, Cambridge, MA) was fitted to examine disease type, T-cell dose, graft type, and number of prior chemotherapies as predictors for chimerism. All statistical analyses were conducted with SAS 8.0.30
Results
Patient characteristics
From June 1998 to June 2000, 25 patients with refractory cancer enrolled in this phase 1 study. Patient and disease characteristics are summarized in Table 1. In brief, the median age was 47 years (range, 24-68 years). Thirteen patients had solid tumors: 3 patients with lung cancer, 2 patients each with melanoma and esophageal cancer, and 1 patient each with hepatocellular carcinoma, neuroendocrine carcinoma, adrenocortical cancer, pancreatic cancer, sarcoma, and renal cell carcinoma. Twelve patients had hematologic malignancies: 7 patients with lymphoma, 2 patients with myeloma, and 3 with leukemia. The median time from diagnosis to transplantation was 13 months (range, 4-105 months).
Prior treatment before transplantation is outlined in Table2. For patients with solid tumors, the median number of prior chemotherapy regimens was 1 (range, 0-5). For patients with hematologic malignancies, the median number of prior chemotherapy regimens was 4 (range, 2-6). This group included 5 patients with prior autologous transplants and 1 patient who had received a prior allogeneic transplant from another donor. Ten of the 12 patients with hematologic malignancy, but none with solid tumors, had received cyclophosphamide.
Donor characteristics
Family donors.
Eighteen donors were family donors. The median donor age was 47 years (range, 22-71 years). Donors were either fully HLA compatible siblings (n = 17) or 1 antigen-mismatched sibling (n = 1). Eight donors were men and 10 donors were women; 4 donor-recipient pairs were sex mismatched. Thirteen donors underwent 1 pheresis procedure and 5 underwent 2 pheresis procedures. The median number of CD34+cells/kg infused was 5.2 × 104 (range, 1.5 × 104 to 2.8 × 105 cells/kg). Two patients, early in the study, received 1 × 107CD3+ cells/kg; the other 16 patients received 1 × 108 CD3+ cells/kg.
Cord blood donors.
Cord blood donors were selected from the American Red Cross Cord Blood Program and selection was based on HLA match and the number of nucleated cells/kg of the recipient. One patient received a cord unit matched at 6 of 6 HLA loci. Three patients received a cord unit matched at 5 of 6 HLA loci, and 3 patients received a unit matched at 4 of 6 HLA loci. The median number of CD34+ cells/kg infused was 3.1 × 104 (range, 1.1 to 10.7 × 104cells/kg). The median number of CD3+ cells/kg infused was 1.7 × 106 (range, 0.5 to 3.7 × 106cells/kg).
Engraftment
Patients' blood counts dropped 3 to 4 weeks after therapy. The median days of neutropenia (absolute neutrophil count [ANC]) in the first 8 weeks after transplantation was 6 days (range, 0-48 days) for the sibling transplants and 0 days for the cord blood transplants (range, 0-5 days), and occurred a median of 21 days after transplantation. For the sibling transplants, 2 patients with a solid tumor and 6 patients with hematologic malignancies had a neutrophil count lower than 500. The median days of neutropenia for the 9 chimeric patients was 14 days (range, 0-48 days). Twenty patients required blood transfusions; the median number of RBC transfusions was 2 (range, 0-42). The median number of RBC transfusions for the chimeric patients was 6 (range, 0-42). The median number of platelet transfusions for all patients was 1 (range, 0-62). The median number of platelet transfusions for the chimeric patients was 6 (range, 0-62).
Response and chimerism
Cord blood recipients.
Seven patients received a cord blood graft. Six of these patients had solid tumors and one patient had lymphoma. Of these 7 patients, none achieved a tumor response or evidence of donor chimerism.
Patients with solid tumors.
Thirteen patients were treated for refractory solid tumors. Six received a cord blood infusion. Seven patients received a transplant from a sibling; of these, 2 patients were treated at the lower cell dose of 1 × 107 CD3+ cells/kg. These 2 patients did not show engraftment nor did they have a tumor response. Five patients were treated at the higher cell dose of 1 × 108 CD3+ cells/kg. None of these 5 patients developed any evidence of donor chimerism. One patient, a woman with adrenocortical cancer, achieved a nodal response between 4 and 8 weeks after infusion. She was the only patient with a solid tumor to receive a second lymphocyte infusion of 1 × 108CD3+ cells/kg as planned 8 weeks after infusion. She did not develop any evidence of donor chimerism after the second infusion either; her disease later progressed and she died of recurrent cancer.
Patients with hematologic malignancy.
Twelve patients with hematologic malignancies were treated. One patient received a cord blood transplant. The response and chimerism analyses of the 11 patients treated with a sibling transplant are displayed in Table 3. Eleven patients received a sibling infusion at a dose of 1 × 108 CD3+cells/kg. Nine of 11 patients achieved some degree of donor chimerism. Three patients achieved 100% donor chimerism in the 4 weeks after infusion, and 2 patients achieved 67% chimerism. Two patients achieved 10% donor chimerism, and 2 patients achieved 5% donor chimerism. At 8 weeks after infusion, 3 of the 7 surviving patients showed 100% donor cells, and 1 patient showed 5% donor cells. In 3 of the 9 patients, evidence of donor DNA was transient, and there was conversion to recipient DNA.
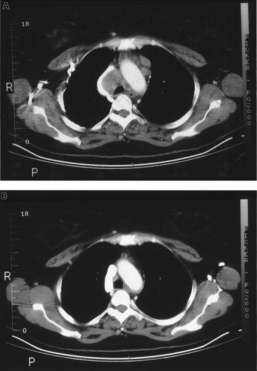
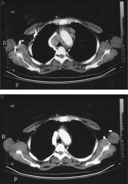
Four patients achieved a complete remission (CR) of their cancer. One patient achieved CR with transient 5% donor chimerism, and the other 3 patients who achieved CR had 100% donor chimerism. The first patient achieved a CR although she had only transient 5% donor chimerism. This patient, a 51-year-old woman with large cell lymphoma, had a relapse after autologous transplantation. Histology at the time of relapse was a follicular mixed lymphoma. She had been treated with radiotherapy and salvage chemotherapy without response. At the time of treatment, she had extensive pretracheal, subcarinal, and hilar adenopathy. Her course is outlined in Table 4. She developed 5% donor chimerism at 1 week after transplantation. Subsequent chimerism studies performed weekly through 4 weeks, at 8 weeks, and every 6 months have shown only recipient cells. There was depression of blood counts, which had increased by the week 8 evaluation. Figure1 demonstrates serial CT images before treatment and at 8 weeks after treatment. The CT scans show a dramatic resolution of the chest adenopathy. The patient is alive and well, 42 months after transplantation. Restaging CT scans at 36 months also showed no evidence of disease and the patient's blood showed all recipient cells.
CT scans from patient 1.
(A) Chest CT scan images before treatment. (B) Chest CT scan images at 8 weeks after treatment shows resolution of adenopathy.
CT scans from patient 1.
(A) Chest CT scan images before treatment. (B) Chest CT scan images at 8 weeks after treatment shows resolution of adenopathy.
Three other patients achieved CR from their cancers; these 3 patients had 100% donor chimerism. One patient, a 56-year-old woman with a T-cell lymphoblastic lymphoma, had a recurrence after autologous transplantation. She had 100% donor chimerism at 4 weeks after infusion. She was in CR on her 8-week postinfusion restaging CT scans and remained persistently 100% chimeric at 8 weeks after infusion. She developed mild skin GVHD, requiring treatment with steroids and cyclosporine. She had a relapse 5 months after infusion and died of recurrent disease.
The third patient who achieved CR was a 55-year-old woman with multiple myeloma, who had recurrence after autologous stem cell transplantation, and multiple other chemotherapies, resulting in pancytopenia at the time of treatment. She developed complete donor chimerism by 4 weeks after infusion and was in CR by bone marrow aspirate and biopsy. Her course was complicated by skin GVHD, pancytopenia, andPseudomonas sepsis. Therefore, at 8 weeks after infusion, she received a second infusion of granulocyte colony-stimulating factor (G-CSF)–primed stem cells (0.5 × 106 CD34+cells/kg) from the same donor. She remained completely 100% donor chimeric. She developed GVHD of the liver and died of liver failure 3.5 months after infusion. Autopsy revealed liver GVHD and no evidence of myeloma.
The fourth patient who achieved CR was a 24-year-old woman with acute myelogenous leukemia (AML), who had failed 3 different induction regimens, and was treated in frank relapse. She developed CR, documented by bone marrow histology and flow cytometry, and demonstrated persistent 100% donor chimerism after transplantation. Her course was complicated by pancytopenia and she received an infusion of αβ T-cell–depleted donor bone marrow (courtesy of Chimeric Therapies, Sharon Hill, PA), which was tolerated well. She is now in remission, documented by bone marrow histology and flow cytometry, and 100% donor cells, 20 months after her initial infusion.
In addition, one patient with chronic lymphocytic leukemia (CLL) who did not show any evidence of donor chimerism had a transient 75% reduction in lymph node size.
GVHD
Acute GVHD occurred in 6 patients. Five of the 9 patients (55%) who developed donor chimerism developed acute GVHD. Two patients, who did not have tumor response and were 10% donor chimerism, had grade II skin GVHD, which responded to steroids. One of these patients had histologic documentation. Another patient with CLL, with transient partial remission (PR), also developed histologically documented skin GVHD, but did not have any evidence of donor chimerism, as assayed by our methods, and studied at 1, 2, 3, 4, and 8 weeks after infusion. The 3 patients with 100% donor chimerism also developed GVHD; 2 patients had histologic documentation of grade II skin GVHD; the other patient (as discussed above) had liver GVHD. One patient (who was 100% donor chimeric and has had a CR—the fourth patient outlined above) developed chronic GVHD, but only 6 patients had donor engraftment and were alive at 100 days to be evaluable for chronic GVHD.
Toxicity
There was one treatment-related death as described above. This patient also had Pseudomonas sepsis, thought secondary to prolonged pancytopenia, which predated the primary infusion. Five additional patients (including 3 of the 4 patients with a CR) required admission for fever and neutropenia, with positive blood cultures forKlebsiella and Pseudomonas in one patient and positive blood cultures for Enterobacter in another patient. Four of the 6 patients who were admitted for fever and neutropenia were chimeric patients and 2 were nonchimeric. Two of the 4 responding patients did require subsequent stem cell infusions. One of these patients was pancytopenic prior to initiating treatment, as discussed above. There were no other significant infections in this cohort of heavily pretreated patients. The low-dose TBI was well tolerated without evidence of acute morbidity.
Survival
One patient died of a treatment-related death (4%). Twenty patients have died of progressive disease between 1 and 12 months after transplantation. Two patients survive in CR, at 42 and 20 months after therapy. Both these patients had hematologic malignancies and had some evidence of donor chimerism. One patient with sarcoma who did not develop chimerism survives with stable disease, 24 months after therapy. The development of a partial tumor response without donor chimerism was seen in 2 patients, suggesting a possible effect of the 100-cGy dose alone. However, these responses were seen between 4 and 8 weeks after transplantation, in between the time points that chimerism assays were performed (a limitation of the study), also suggesting the possibility of a missed transient chimerism.
Associations with donor chimerism
We examined the following variables as univariate associations for the development of donor chimerism: disease (hematologic malignancy versus solid tumor), graft type (cord blood versus sibling), T-cell dose (1 × 108 CD3+ cells/kg versus other), development of GVHD, number of prior chemotherapy drugs, days of neutropenia, and number of platelet and RBC transfusions. The number of prior chemotherapy regimens was evaluated on a myelotoxicity index, with chemotherapy regimens with one drug given a score of 1, 2 drugs a score of 2, and so on. A prior bone marrow transplant (BMT) was given a score of 5. For example, a patient who had received CHOP chemotherapy plus a BMT would receive a score of 9. Prior chemotherapy was highly statistically correlated with chimerism (P < .001). Other variables shown to have a significant association with donor chimerism were a diagnosis of hematologic malignancy (P < .001), higher T-cell dose (P = .03), sibling graft (P = .03), more than 5 platelet transfusions (P = .01), and the presence of GVHD (P = .01). These factors are outlined in Table5. It is possible that transfusion use and GVHD are the result of chimerism rather than a predictor of donor chimerism.
A multivariate, exact logistic regression analysis was fitted to examine disease type, T-cell dose, graft type, and number of prior chemotherapies as predictors of chimerism. Due to the high correlation between disease type and T-cell dose, both variables could not be simultaneously fit in the same model. In a model with T-cell dose, graft type, and number of prior chemotherapies as predictors, only number of prior chemotherapies remained to be a significant predictor of chimerism (P = .006, odds ratio of chimerism associated with each one additional score was 1.58, 95% CI, 1.10-3.08).
Associations with tumor response
We studied also univariate correlations with tumor response. Donor chimerism was shown to be associated with tumor response (P = .01).
Discussion
Traditional transplantation is associated with high doses of myeloablative chemotherapy and radiotherapy.1-7 In this study, we treated patients with low-dose TBI and have demonstrated that 100 cGy is sufficient to achieve engraftment in some patients with refractory cancer.
Because most patients do not have a matched family donor, umbilical cord blood has been used as an alternative donor source.21-24,31 Unrelated cord blood banks have been developed in New York, St Louis, Worcester, Milan, Dusseldorf, Barcelona, and other sites.20,32-36 Conditioning regimens that have been used include cyclophosphamide/TBI (1375 cGy)/antithymocyte globulin, etoposide/cytosine arabinoside/cyclophosphamide/TBI (1200 cGy), melphalan/TBI (1350 cGy), antithymocyte globulin, and others.22 37
In our study, using 100 cGy TBI, engraftment with cord blood was not demonstrated. The lack of engraftment may be related to the conditioning regimen or cord blood factors. Because engraftment was demonstrated in similar patients receiving sibling transplants using 100 cGy TBI, we postulate that the lack of engraftment was due to the lower T-cell dose in the cord blood units. However, 6 of the 7 cord blood transplants were performed in patients with solid tumors, who showed no engraftment even with sibling donors. The median CD3+ dose in the cord blood units was 1.7 × 106/kg as compared to 1 × 108/kg in the sibling recipients, a difference of 2 logs. Therefore, it is unlikely that pooling of 2 to 3 cord blood units would produce a T-cell dose comparable to the sibling grafts.
The majority of our patients had end-stage solid tumors. In these patients, there was no evidence of donor engraftment and only one transient nodal response. Eligibility criteria for this phase 1 study included life expectancy at greater than 1 month; therefore, many terminal patients enrolled. The protocol will now be amended to include a 3-month life expectancy. The patients with solid tumors were less heavily pretreated than the patients with hematologic malignancies were, and the types of chemotherapy received were less immunosuppressive than those used in the patients with hematologic cancers. Ten of 12 patients with hematologic malignancy had received cyclophosphamide as noted above. We postulate that previous chemotherapy, particularly transplant doses of chemotherapy and high doses of alkylating agents, may facilitate engraftment and chimerism, on the basis of immune competition issues, such as the lack of ability of the heavily pretreated patients to reject the donor cells. Alternatively, the prior chemotherapy may deplete host stem cells severely and facilitate engraftment on the basis of stem cell competition.10 It is possible that more pretransplantation myelosuppressive therapy might improve engraftment in these patients. However, additional immunosuppression could increase the risk of aplasia and might be performed more safely using G-CSF–mobilized stem cells.
The most promising results were seen in the patients with hematologic malignancies treated with sibling transplants. Eleven patients were treated with this approach, and 9 showed some evidence of donor chimerism. Because the chimerism assay studied only the nucleated cell population, we are unable to comment on specific lineage engraftment, except that the patients with 100% engraftment represented multilineage engraftment. A limitation of the study is the absence of data on specific T-cell chimerism; this may explain the lack of identifiable chimerism in one patient who developed GVHD and those patients who had disease regression but no chimerism. Our subsequent studies will assess T-cell–specific chimerism. Childs et al recently reported regression in patients with refractory renal cell cancer treated with cyclophosphamide and fludarabine followed by allogeneic peripheral blood stem cell transplantation.38 In our study, 4 of 11 patients with refractory hematologic cancer achieved CR. Although we cannot prove definitively that the responses were not related to the effects of 100 cGy alone, we believe that is unlikely because all 3 patients who developed 100% donor chimerism were complete responders. The disease in patient 1 had not responded to higher doses of radiotherapy administered before this treatment, and it would be unlikely to have such a dramatic response to 100 cGy alone. Patients who did not develop chimerism, as assayed in this study, did not have a sustained response. The transplant-related mortality was low at less than 5% (1 patient with GVHD) for all patients and 11% for chimeric patients. The patient who died of GVHD was 1 of the 3 patients with 100% chimerism. Ferrara and others have postulated that GVHD is related to a cytokine storm, and that higher TBI doses lead to an increase in GVHD severity by causing higher levels of inflammatory cytokines.39 We speculate that the extensive pretreatment many of these patients received contributed to their ability to engraft donor cells with a low-dose TBI therapy.
Our patients received nonmobilized peripheral blood cells, which contained a target T-cell dose of 1 × 108CD3+ cells/kg. Initially, a nonmobilized product was chosen because of the different lymphocyte properties compared to a G-CSF–stimulated product and because of the literature on donor lymphocyte infusions.15 16 No target dose of CD34+ cells was required; however, the CD34+cells/kg in the sibling donor patients ranged from 1.5 × 104 to 2.8 × 105 with a median dose of 5.2 × 104 CD34+ cells/kg in the product, about 2 logs lower than in traditional transplantation. Stem cell dose was not the object of the study but an interesting finding was that chimerism did occur with a low CD34+ cell/kg dose. Nonmobilized blood has CD34+ cells and can give at least short-term 100% chimerism. However, a higher rate of chimerism might have been seen with a higher CD34 dose. In addition, 2 patients required subsequent infusions of stem cells, which is a drawback of this approach; one of these patients (myeloma) was pancytopenic at the time of the first infusion. The use of a G-CSF–mobilized product may reduce the risk of pancytopenia, and will be used in future studies.
The patient with the most durable response had only transient chimerism to a level of 5%. She also had transient pancytopenia that corresponded with the tumor response. There may be several mechanisms for response. The goal is to cure patients with partial or transient chimerism, thereby reducing the toxicity of a full myeloablative regimen. Ability to achieve chimerism was associated with the presence of a hematologic malignancy and the development of GVHD. Both permanent and transient chimerisms were associated with tumor responses.
The 100-cGy TBI as a conditioning regimen is novel. It is unlikely that the therapeutic benefit in this trial is related to the 100 cGy alone, because donor chimerism was associated with tumor response. Alternatively, it is possible that engraftment could have occurred without any irradiation, given the immunosuppressive state of the patients. The marrow effects of the 100 cGy can be illustrated in the 11 nonchimeric patients who also experienced decreased blood counts. In a study examining 100 cGy as salvage therapy in canine lymphoma, thrombocytopenia has been a major toxicity (personal communication, Angela Frimberger). Storb et al have used several approaches in the canine model, using 100 to 200 cGy, with and without CTLA4Ig, which blocks T-cell costimulator activity.40,41 McSweeney et al have reported the use of the nonmyeloablative approach in 44 patients with hematologic malignancies who were not end stage; 80% showed engraftment beyond 2 months. The transplant-related mortality was 6.8%, and 16 of the 42 patients had a major disease response.42,43 Porter et al treated 18 patients with interferon followed by donor lymphocyte infusion; a fatal case of marrow aplasia occurred, which may have been related to interferon, a known marrow suppressant.18 Other strategies have included a 550-cGy regimen and low-dose fludarabine/Cytoxan.44 45
The optimal low dose–conditioning regimen has yet to be defined. The lower the dose of radiation that can be given, the lower the potential toxicity to the patient. In this preliminary study, we have shown that engraftment can occur in humans with a radiation dose as low as 100 cGy. Tumor response can be seen with either complete or partial chimerism, and immune suppression may be a determinant of engraftment.
The authors acknowledge Shelly Anderson and Christina Giza for their excellent technical assistance in preparation of the manuscript. The authors thank Chimeric Therapies for a graft manipulation.
Supported in part by a grant from the Our Danny Cancer Fund, University of Massachusetts Medical School.
The publication costs of this article were defrayed in part by page charge payment. Therefore, and solely to indicate this fact, this article is hereby marked “advertisement” in accordance with 18 U.S.C. section 1734.
References
Author notes
Karen K. Ballen, Massachusetts General Hospital, 100 Blossom Street, Boston, MA 02114; e-mail: kballen@partners.org.

