A 56-year-old man presented for hematology consultation after splenomegaly (16 cm) was incidentally discovered on CT urogram. Laboratory evaluation was significant for mild thrombocytopenia (161 k/μL), with an otherwise normal complete blood count.
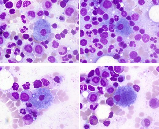
A bone marrow biopsy was performed and was normocellular for age (50%) with mildly increased megakaryocytes without overt atypia, unremarkable myeloid and erythroid maturation and morphology, and an increased population of large-sized cells on the aspirate smears (Figure). Flow cytometric analysis showed no evidence of hematolymphoid neoplasia, and karyotype was normal, 46,XY[20].
What is the finding depicted in the Figure?
Hemophagocytic histiocytes
Sea blue histiocytes
Gaucher cells/pseudo-Gaucher cells
Langerhans cells
Competing Interests
Dr. Perez Botero and Dr. Hintzke indicated no relevant conflicts of interest.
For the solution to the quiz, visit The Hematologist online, www.ashpublications.org/thehematologist/pages/interesting_bone_marrow_finding_in_a_patient_with_splenomegaly.
