Peripheral T-cell lymphoma not otherwise specified (PTCL-NOS) is a rare mature T-cell non-Hodgkin lymphoma (NHL) seen in both children and adults. Although it is the most common nonanaplastic mature T-cell lymphoma of childhood, it is quite rare and, therefore, the standard of care remains largely undefined. It is a disease characterized by clinical and pathological heterogeneity and is generally associated with an aggressive clinical course and poor prognosis in adults. Retrospective reports on treatment outcomes for pediatric PTCL-NOS are limited by small cohorts, variable clinical presentations, and heterogeneous treatment regimens. Although published survival rates in children appear encouraging compared with those from prospective studies in adults, the prognosis is guarded, and relatively low curative outcomes are in stark contrast to more common pediatric NHL. Although recent landmark gene profiling studies have shed light on the molecular landscape of the disease in adults, identifying molecular subgroups with prognostic significance, the biology of PTCL-NOS remains unclear in children. Here, we review the clinical presentation and diagnosis, historical treatment approaches, current knowledge of the disease biology, and the role of hematopoietic stem cell transplant (HSCT) in PTCL-NOS in children to pursue a better understanding of this heterogeneous condition and empower physicians to use this information to best support our pediatric population. Studies focusing on pediatric PTCL-NOS are required to unravel the disease biology in children, improve risk stratification, and better define upfront treatment through the role of targeted agents and HSCT, as we look to future directions of the care of children with PTCL-NOS.
Introduction
Non-Hodgkin lymphoma (NHL) encompasses neoplasms of both B- and T-cell origin. The fifth edition of the World Health Organization classification of lymphoid neoplasms further subdivides T-cell and natural killer (NK)-cell neoplasms.1 This includes precursor T-cell neoplasms (T-cell lymphoblastic lymphoma/leukemia) arising in central lymphoid tissue (bone marrow and thymus), and a wide array of distinct mature T-cell neoplasms arising in peripheral lymphoid tissue.2 Although the latter are typically referred to as peripheral T-cell lymphomas, this manuscript will use the terminology mature T-cell lymphomas to label this group of >30 neoplasms, in hopes of avoiding the inevitable acronym mix-up when referring to peripheral T-cell lymphomas (a group of diverse mature T-cell neoplasms) and peripheral T-cell lymphoma, not otherwise specified (PTCL-NOS, a diagnostic entity categorized within this umbrella).
Mature T-cell lymphomas originate from postthymic T-cells, which mature and undergo T-cell receptor gene rearrangement in the thymus. Many have been associated with an aggressive clinical course as compared with rare B-cell NHL types; however, some mature T-cell lymphomas are indolent and treatable with less-intensive therapies.3 Diagnosis may be challenging, requiring careful expert analysis of the clinical presentation, histology, immunophenotype, and molecular profile of these rare lymphomas.4
Characterized by clinical heterogeneity, mature T-cell lymphomas can be grouped by clinical phenotype based on disease presentation: nodal, extranodal, leukemic/systemic, or cutaneous (Table 1).5 Although the World Health Organization and International Consensus Classification systems list >30 distinct mature T/NK-cell neoplasms, many of them have rarely, if ever, been reported in children. Anaplastic lymphoma kinase (ALK)–positive anaplastic large cell lymphoma (ALCL) is by far the most common mature T-cell lymphoma of childhood, after which the other entities in children are considered rare. This includes ALK-negative ALCL, PTCL-NOS, subcutaneous panniculitis-like T-cell lymphoma (SPTCL), hepatosplenic T-cell lymphoma, primary cutaneous γ/δ T-cell lymphoma, extranodal NK/T-cell lymphoma, systemic Epstein-Barr virus–positive T-cell lymphoma of childhood, primary cutaneous T-cell lymphomas/lymphoid proliferations, and nodal T-follicular helper (TFH) cell lymphoma angioimmunoblastic-type (AITL). The rare and extremely rare entities previously reported in children are contextualized in Table 2.3,5-24
Categorization of mature T-cell lymphomas based on clinical phenotype
| Nodal |
| ALK-positive ALCL |
| ALK-negative ALCL |
| PTCL-NOS |
| Nodal TFH cell lymphoma, angioimmunoblastic type |
| Nodal TFH cell lymphoma, follicular type |
| Nodal TFH cell lymphoma, NOS |
| EBV+ nodal T- and NK-cell lymphoma |
| Extranodal |
| Hepatosplenic T-cell lymphoma |
| Extranodal NK/T-cell lymphoma |
| Enteropathy-associated T-cell lymphoma |
| Monomorphic epitheliotropic intestinal T-cell lymphoma |
| Intestinal T-cell lymphoma, NOS |
| Indolent T-cell lymphoma of the gastrointestinal tract |
| Indolent NK-cell LPD of the gastrointestinal tract |
| Breast implant-associated ALCL |
| Leukemic/systemic |
| Systemic EBV+ T-cell lymphoma of childhood |
| Systemic chronic active EBV disease |
| Aggressive NK-cell leukemia |
| Adult T-cell leukemia/lymphoma |
| T-large granular lymphocytic leukemia |
| NK-large granular lymphocytic leukemia |
| T-cell prolymphocytic leukemia |
| Sézary syndrome |
| Cutaneous |
| Mycosis fungoides |
| Primary cutaneous CD30+ T-cell LPD: lymphomatoid papulosis |
| Primary cutaneous CD30+ T-cell LPD: primary cutaneous ALCL |
| Subcutaneous panniculitis-like T-cell lymphoma |
| Primary cutaneous γ/δ T-cell lymphoma |
| Primary cutaneous CD4+ small or medium T-cell LPD |
| Hydroa vacciniforme LPD |
| Severe mosquito bite allergy |
| Primary cutaneous acral CD8+ LPD |
| Primary cutaneous CD8+ aggressive epidermotropic cytotoxic T-cell lymphoma |
| Primary cutaneous peripheral T-cell lymphoma, NOS |
| Nodal |
| ALK-positive ALCL |
| ALK-negative ALCL |
| PTCL-NOS |
| Nodal TFH cell lymphoma, angioimmunoblastic type |
| Nodal TFH cell lymphoma, follicular type |
| Nodal TFH cell lymphoma, NOS |
| EBV+ nodal T- and NK-cell lymphoma |
| Extranodal |
| Hepatosplenic T-cell lymphoma |
| Extranodal NK/T-cell lymphoma |
| Enteropathy-associated T-cell lymphoma |
| Monomorphic epitheliotropic intestinal T-cell lymphoma |
| Intestinal T-cell lymphoma, NOS |
| Indolent T-cell lymphoma of the gastrointestinal tract |
| Indolent NK-cell LPD of the gastrointestinal tract |
| Breast implant-associated ALCL |
| Leukemic/systemic |
| Systemic EBV+ T-cell lymphoma of childhood |
| Systemic chronic active EBV disease |
| Aggressive NK-cell leukemia |
| Adult T-cell leukemia/lymphoma |
| T-large granular lymphocytic leukemia |
| NK-large granular lymphocytic leukemia |
| T-cell prolymphocytic leukemia |
| Sézary syndrome |
| Cutaneous |
| Mycosis fungoides |
| Primary cutaneous CD30+ T-cell LPD: lymphomatoid papulosis |
| Primary cutaneous CD30+ T-cell LPD: primary cutaneous ALCL |
| Subcutaneous panniculitis-like T-cell lymphoma |
| Primary cutaneous γ/δ T-cell lymphoma |
| Primary cutaneous CD4+ small or medium T-cell LPD |
| Hydroa vacciniforme LPD |
| Severe mosquito bite allergy |
| Primary cutaneous acral CD8+ LPD |
| Primary cutaneous CD8+ aggressive epidermotropic cytotoxic T-cell lymphoma |
| Primary cutaneous peripheral T-cell lymphoma, NOS |
EBV, Epstein-Barr virus; LPD, lymphoproliferative disorder.
Categorizing the rare mature T/NK-cell lymphoid neoplasms previously reported in the pediatric population by prognosis and relative rarity
| Potentially >50% EFS with conventional chemotherapy . | |
|---|---|
| Zebras . | Unicorns . |
| PTCL-NOS | |
| ALK-negative ALCL | |
| Typically <30% EFS without upfront HSCT | |
| Zebras | Unicorns |
| Hepatosplenic TCL | Enteropathy-associated TCL |
| Primary cutaneous γ/δ TCL | Primary cutaneous CD8+ aggressive epidermotropic cytotoxic TCL |
| Nodal TFH cell lymphoma, AITL | |
| Indolent and potentially treatable without cytotoxic chemotherapy | |
| Zebras | Unicorns |
| Subcutaneous panniculitis-like TCL | Indolent T-cell lymphoma of the GI tract |
| Mycosis fungoides | Primary cutaneous acral CD8+ LPD |
| Lymphomatoid papulosis | T-large granular lymphocytic leukemia |
| Primary cutaneous ALCL | |
| Primary cutaneous CD4+ small/medium T-cell LPD | |
| Virus-associated T/NK-cell lymphoid neoplasms | |
| Zebras | Unicorns |
| Limited-stage ENKTL (EBV) | Aggressive NK-cell leukemia (EBV) |
| Advanced-stage ENKTL (EBV) | Adult T-cell leukemia/lymphoma (HTLV-1) |
| Systemic EBV+ TCL of childhood | Severe mosquito bite allergy (EBV) |
| Systemic chronic active EBV disease | |
| Hydroa vacciniforme LPD (EBV) | |
| Potentially >50% EFS with conventional chemotherapy . | |
|---|---|
| Zebras . | Unicorns . |
| PTCL-NOS | |
| ALK-negative ALCL | |
| Typically <30% EFS without upfront HSCT | |
| Zebras | Unicorns |
| Hepatosplenic TCL | Enteropathy-associated TCL |
| Primary cutaneous γ/δ TCL | Primary cutaneous CD8+ aggressive epidermotropic cytotoxic TCL |
| Nodal TFH cell lymphoma, AITL | |
| Indolent and potentially treatable without cytotoxic chemotherapy | |
| Zebras | Unicorns |
| Subcutaneous panniculitis-like TCL | Indolent T-cell lymphoma of the GI tract |
| Mycosis fungoides | Primary cutaneous acral CD8+ LPD |
| Lymphomatoid papulosis | T-large granular lymphocytic leukemia |
| Primary cutaneous ALCL | |
| Primary cutaneous CD4+ small/medium T-cell LPD | |
| Virus-associated T/NK-cell lymphoid neoplasms | |
| Zebras | Unicorns |
| Limited-stage ENKTL (EBV) | Aggressive NK-cell leukemia (EBV) |
| Advanced-stage ENKTL (EBV) | Adult T-cell leukemia/lymphoma (HTLV-1) |
| Systemic EBV+ TCL of childhood | Severe mosquito bite allergy (EBV) |
| Systemic chronic active EBV disease | |
| Hydroa vacciniforme LPD (EBV) | |
“Zebras” reflect diagnoses that are rare but have been reported in large cohorts of children with rare lymphomas or repeatedly reported in case series/reports. “Unicorns” reflect diagnoses that have only been reported infrequently in children in case reports.
EBV, Epstein-Barr virus; EFS, event-free survival; ENKTL, extranodal NK/T-cell lymphoma; GI, gastrointestinal; HTLV-1, human T- lymphotropic virus type 1; LPD, lymphoproliferative disorder; TCL, T-cell lymphoma.
PTCL-NOS is the most common nonanaplastic mature T-cell lymphoma in children.9,10,12,26 Data on PTCL-NOS and other nonanaplastic mature T-cell lymphomas in children are mainly derived from case series.7-10 Outcome varies between disease entities with a good prognosis associated with SPTCL, intermediate outcome for PTCL-NOS, ALK-negative ALCL, and extranodal NK/T-cell lymphoma, and a very poor prognosis for hepatosplenic T-cell lymphoma and the systemic Epstein-Barr virus–positive T-cell lymphoma of childhood (Table 2).3,10
This review, undertaken by members of the Children’s Oncology Group (COG) NHL Committee’s Rare NHL Subcommittee, will focus specifically on PTCL-NOS in the pediatric population. It is challenging to study this disease in children for a variety of reasons. Its rarity presents the biggest challenge to understanding this disease comprehensively. Inherent in the name, PTCL-NOS is a diagnosis of exclusion, fostering heterogeneity and diagnostic dilemmas. Furthermore, treatment studies often group PTCL-NOS with other forms of mature T-cell lymphoma when reporting treatment approaches and outcomes, demonstrating a great deal of variability. Thus, there is much left to learn regarding the biology and treatment of PTCL-NOS in children.
Epidemiology
PTCL-NOS is rare in children and adolescents, constituting <2% of childhood NHL.7,9,10 There are ∼0.34 cases per million population per year diagnosed in children in the United States.3 PTCL-NOS is more common in males, with a median age of ∼60 years in adults27 and just before adolescence in children.6,9-11 As knowledge grows, and classification systems evolve accordingly, it becomes challenging to understand the change in incidence over time.28
Pathology
Inherently heterogeneous, the histological diagnosis of PTCL-NOS can be challenging, even for expert hematopathologists. Considering that PTCL-NOS is a rare diagnosis of exclusion, coupled with the evolution in pathology classification over time, it has been challenging to differentiate this entity. Ultimately, any mature T-cell lymphoma that does not fit criteria for the other T-cell neoplasms falls into the PTCL-NOS “bucket,” thus underlining its heterogeneity.
A wide range of histological features have been described in PTCL-NOS. In children, because ALK-positive ALCL is easily the most common mature T-cell lymphoma, its exclusion by morphology and ALK positivity is essential. ALK-negative ALCL, a rare but important disease in children, is characterized by cell morphology, ALK-negativity, and diffuse CD30 expression.29 The potential for morphological overlap between ALK-negative ALCL and PTCL-NOS can blur the lines of distinction, especially for cases of CD30+ PTCL-NOS.29-31 The biological diversity of PTCL-NOS is not restricted to morphology and immunophenotype, because the cell of origin can also vary, from α-β T cells derived from the adaptive immune system to γ-δ T cells derived from the innate immune system.5 The lack of large-scale studies offering comprehensive histological descriptions of PTCL-NOS in children creates scenarios in which extrapolation from adult data offers the most insight. Clear histological differences between the 2 groups have not yet been identified.
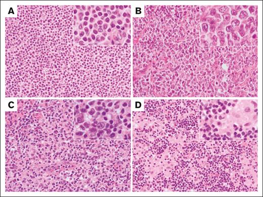
In adult studies of PTCL-NOS, microscopic descriptions reveal architectural destruction by lymphocytic infiltrates ranging in size, morphology, and immunophenotype. Neoplastic T cells can range in size from small-intermediate to large, to polymorphic with cells of varying size (Figure 1).32 The tumor microenvironment can vary as well, sometimes demonstrating a prominent inflammatory background. The cell of origin is often a CD4+ T cell; however, cases can be CD8+, double-negative, or double-positive. Although pan T-cell markers such as CD2 and CD3 are usually positive, aberrant immunophenotypes with loss of T-cell antigens such as CD5 and CD7 are common.27,33 Although T-cell lymphomas of TFH cell origin are exquisitely rare in children, they can share morphological overlap with PTCL-NOS, therefore it is important to exclude AITL through immunohistochemical stains for (at least 2, but preferably 3) TFH antigens such as CD10, B-cell lymphoma 6, programmed cell death protein 1, C-X-C motif chemokine 13, inducible T-cell costimulator, CD154, and C-X-C chemokine receptor (CXCR) type 5.34 As the arsenal of targeted molecular therapies for mature T-cell lymphomas expands, it has become apparent that specific agents (such as histone deacetylase inhibitors) are selectively active against lymphomas of TFH-cell origin.35 CD30 expression in adults with PTCL-NOS is variable, usually ranging from low- to intermediate-level positivity; however, both negative and diffusely positive cases exist.36 Quantification of CD30 positivity is valuable, because even patients with low-level positivity on immunohistochemical stains may respond to anti-CD30 humoral immunotherapy with brentuximab vedotin (Bv).37,38
Variation in morphological findings in PTCL-NOS. Histological features for PTCL-NOS include the following patterns: (A) monomorphic small-intermediate size cells with abundant cytoplasm, (B) monomorphic sheets of large cells, (C) neoplastic cells interspersed within a mixed inflammatory background, or (D) a lymphohistiocytic morphology characterized by small neoplastic cells within clusters of epithelioid histiocytes (termed Lennert pattern). Original magnification x200 and inset magnification x400. Adapted from Amador et al.32
Variation in morphological findings in PTCL-NOS. Histological features for PTCL-NOS include the following patterns: (A) monomorphic small-intermediate size cells with abundant cytoplasm, (B) monomorphic sheets of large cells, (C) neoplastic cells interspersed within a mixed inflammatory background, or (D) a lymphohistiocytic morphology characterized by small neoplastic cells within clusters of epithelioid histiocytes (termed Lennert pattern). Original magnification x200 and inset magnification x400. Adapted from Amador et al.32
Biology
In the past decade, landmark studies have revealed biological variants of PTCL-NOS in adults: PTCL-TBX21 and PTCL-GATA3, based on gene expression profiling. This now defines distinct molecular subgroups that carry prognostic significance.39,40 The TBX21 gene dictates T-helper 1 cell and cytotoxic T-cell differentiation. This subgroup is characterized by higher expression of TBX21; EOMES; and their known target genes CXCR3, IL2RB, CCL3, and IFN-γ.41GATA3 dictates T-helper cell 2 differentiation, affecting the cytokine profile.32,42 This subgroup shows higher expression of GATA3 and its known target genes CCR4, IL18RA, CXCR7, and IK. The PTCL-GATA3 subgroup has also been characterized by greater genomic instability with frequent mutations or loss of tumor suppressor genes along the TP53-CDKN2A/B axis.35 There appears to be a worse prognosis with PTCL-GATA3.32,39 Adult cases with GATA3 expression have an overall survival (OS) of about 19% whereas those with TBX21 expression have a better OS of 38%.39 Furthermore, studies have shown that within the PTCL-TBX21 subgroup, a subset of disease with a high expression of cytotoxic T cells also carries a poorer prognosis.39 Studies suggest these entities can be differentiated using an immunohistochemistry algorithm more easily used than gene expression profiling in the clinical setting.32 There still remains a subset of PTCL-NOS that is yet unclassifiable by gene profiling, further highlighting its biological heterogeneity (Figure 2).39 Another adult study proposed subclassification of the disease into 3 molecular groups, specifically including a group with TP53/CDKN2A alterations.43 Studies have also suggested differences in the tumor microenvironment of these subtypes, which may be exploited in refining future treatment.32
Heat map from gene profiling studies depicting the two major molecular subgroups within PTCL-NOS in adults. Unique gene expression signatures identify the TBX21 and GATA3 subgroups of PTCL-NOS, which are associated with prognostic significance in adults, with worse survival associated with the GATA3 subgroup. A third, unclassifiable subgroup is also identified, highlighting the overall biological heterogeneity that characterizes PTCL-NOS. Adapted from Iqbal et al.39
Heat map from gene profiling studies depicting the two major molecular subgroups within PTCL-NOS in adults. Unique gene expression signatures identify the TBX21 and GATA3 subgroups of PTCL-NOS, which are associated with prognostic significance in adults, with worse survival associated with the GATA3 subgroup. A third, unclassifiable subgroup is also identified, highlighting the overall biological heterogeneity that characterizes PTCL-NOS. Adapted from Iqbal et al.39
The molecular features of pediatric PTCL-NOS are less well described. Although, from limited studies there appears to be differences in the molecular profile of pediatric and adult disease.44,45 Among 20 cases of pediatric PTCL-NOS, targeted sequencing of a series of genes mutated in adult T-cell NHL revealed that 40% of children did not have somatic alterations that aligned with adult disease.44 Among identified variants, mutated genes included TET2, KMT2C, PIK3D, and DMNT3A, and also PHIP, JAK1, JAK3, and SET2. TET2 was the most commonly mutated gene, found in 3 patients, all with the same unique mutation that has not been previously described in adults. No TP53 mutations were seen.44 Programmed cell death protein 1 expression was identified in 30% of cases. Although a small cohort, these findings suggest a biological difference in childhood disease. Data regarding the GATA3 and TBX21 expression are limited in pediatrics. How the incidence and outcome of these subtypes in children and adults compare are still unknown.44
A better understanding of the disease biology is critical for precise classification and prognostication. Could this lead to a future reclassification whereby PTCL-GATA3 and PTCL-TBX21 are distinct diagnoses, and PTCL-NOS refers to the subgroup of patients that remain unclassified? The potential biological distinctions between pediatric and adult disease require further exploration to improve molecular classification, risk stratification, and ultimately guide therapy.
Clinical presentation
In children, the median age at presentation is ∼8 to 12 years.6,9-11 Disease often presents with advanced stage and diffuse involvement including peripheral lymph nodes, mediastinal and intra-abdominal nodes, liver, spleen, bone marrow, and other extranodal sites (Figure 3). In children, this can include any combination of nodal, extranodal, and/or systemic/leukemic disease.6,7,9-11,46 Many also present with B symptoms. Patients may develop malignant effusions, including pleural and pericardial effusions. Laboratory tests often reveal elevated lactate dehydrogenase (LDH).9 Paraneoplastic features including hemophagocytosis with systemic inflammation, pruritis, or eosinophilia can be seen from inflammation of T-cell cytokine production.6 Central nervous system (CNS) involvement, although rare, has been described.9,47-49
Radiographic depiction of clinical presentation of PTCL-NOS. Positron emission tomography scan reveals diffuse nodal and extranodal disease including involvement of axillary and inguinal nodes, parotid glands, anterior mediastinal mass, and spleen, as well as suggestion of bone marrow involvement in a pediatric patient with PTCL-NOS at initial presentation.
Radiographic depiction of clinical presentation of PTCL-NOS. Positron emission tomography scan reveals diffuse nodal and extranodal disease including involvement of axillary and inguinal nodes, parotid glands, anterior mediastinal mass, and spleen, as well as suggestion of bone marrow involvement in a pediatric patient with PTCL-NOS at initial presentation.
Patients with preexisting medical conditions, such as immunodeficiency or autoimmunity, tend to have a higher incidence of PTCL-NOS.10 Nijmegen breakage syndrome and prolonged immunosuppression specifically increase the risk for disease.25,50 It has also been reported in a patient with hyperimmunoglobulin E syndrome.51 It remains uncertain whether distinctions exist differentiating de novo PTCL-NOS, from disease occurring in children with underlying immune dysregulation.
The initial workup includes a physical exam and laboratory evaluation including complete blood counts, complete metabolic panel, LDH, uric acid, and inflammatory markers to screen for hemophagocytic syndrome including ferritin, soluble interleukin-2 receptor, C-reactive protein, and erythrocyte sedimentation rate. Because of the high cooccurrence of preexisting medical conditions, a detailed medical history is critical. Further immunological or germ line testing might be warranted. Tissue biopsy is required for definitive histological diagnosis. Anatomical and functional imaging typically include computed tomography scans and positron emission tomography scans. For children with NHL, bilateral bone marrow aspirate and biopsy and lumbar puncture have been standard components of the staging workup. Although the role of positron emission tomography scan in this disease needs further exploration, including defining its reliability to determine bone marrow involvement in children, it is usually obtained for staging evaluation when feasible at diagnosis, and used to follow treatment response.52 Disease has been reported in the CNS in children with PTCL-NOS. The presence or absence of disease in the CNS or bone marrow may affect physician treatment choice. This will also affect disease assessment in determining remission status before hematopoietic stem cell transplant (HSCT).
Prognostic factors
There is still much left to learn regarding the prognostic features of PTCL-NOS in children. In adults with PTCL-NOS, prognosis is generally determined by the tumor biology and clinical behavior. The International Prognostic Index (IPI), which encompasses age, stage, LDH, performance status, and presence of >1 extranodal disease site, is predictive of outcomes. An IPI score of ≥2 portends worse overall outcomes. The biological subgroup of PTCL-NOS (PTCL-GATA3 vs PTCL-TBX21), also affects outcomes.32,39
Beyond stage and the presence of a preexisting condition, pediatric-specific prognostic factors have yet to be determined. Prior studies suggest that advanced-stage disease portends worse outcomes.6,10 Survival may be worse in patients with underlying diagnoses such as Nijmegen breakage syndrome because they suffer a high rate of treatment-related morbidity and mortality.10,50 With respect to biological factors, the significance of molecular subtypes described in adults is unknown for children. Generally, children seem to have better outcomes than adults.6 It is uncertain whether that is based on the disease biology or the ability of children to better tolerate more intensive chemotherapy and HSCT, which marks an important question for future studies.
Treatment and outcome data in adults
Because data on pediatric treatments are limited, we will first review the experience in adults to frame the discussion of therapy in children. Outcomes in adults with PTCL-NOS are quite poor.4 Although CHOP (cyclophosphamide, doxorubicin, vincristine, and prednisone) chemotherapy is the usual adult approach, it is far from ideal. In a large study of 340 cases of PTCL-NOS in adults reported by the International Peripheral T-cell Lymphoma Project, the OS at 5 years was 32% and the failure-free survival was 20%.27 Studies modifying this backbone are underway, introducing novel agents to increase efficacy.
In adults, many clinical trials have lumped PTCL-NOS with other mature T-cell lymphomas including AITL and ALK-negative and ALK-positive ALCL, using treatment approaches based on CHOP chemotherapy with or without consolidation in first complete remission (CR1) with autologous HSCT.53,54 Studies suggest the addition of etoposide added some benefit, particularly in younger patients.55 ECHELON-2 was a double-blind multicenter, randomized phase 3 trial that compared brentuximab with cyclophosphamide, doxorubicin, prednisone (Bv-CHP) to standard CHOP chemotherapy in adults with mature T-cell lymphomas with at least 10% CD30 expression.56,57 This trial demonstrated a survival benefit with the addition of brentuximab that was more pronounced in patients with ALK-positive ALCL.56 Another recent trial in adults with CD30+ mature T-cell lymphomas examined cyclophosphamide, doxorubicin, etoposide, prednisone, and brentuximab, (CHEP-Bv) with or without autologous HSCT along with brentuximab consolidation. This study, which included 11 adults with PTCL-NOS, demonstrated the treatment approach was generally well tolerated and effective with a complete response rate of 79% and no treatment-related deaths.58
CD30 expression is seen in many lymphomas but the level of expression is variable among different subtypes and even within lesions because of tumor heterogeneity.36,59 This is also the case with PTCL-NOS. Interestingly, the level of CD30 expression may not affect response to brentuximab.37 The response to brentuximab based on the level of expression of CD30 is not entirely known. Studies in adults with mature T-cell lymphoma have demonstrated that even patients with little to no CD30 expression on immunohistochemistry can still respond to brentuximab.37 Level of CD30 expression did not correlate with degree or duration of response.38 This may be because of several factors: tumor heterogeneity, CD30 expression not captured by immunohistochemistry, and alternative mechanisms of action of brentuximab within the tumor microenvironment.38 Thus, further studies can explore the role of the tumor microenvironment in disease biology and treatment response.27 An ongoing study in adults with nonanaplastic mature T-cell lymphomas is evaluating the impact of Bv-CHP for patients with <1% vs 1% to 10% CD30 expression (ClinicalTrials.gov identifier: NCT04569032).
The role of upfront HSCT in adults remains unclear.54 Prior trials suggest that frontline autologous HSCT may confer a survival benefit in high-risk patients (with an IPI score of ≥2) who are chemotherapy-sensitive and achieve complete response.4,54,60-67 Allogeneic HSCT seems to carry significant toxicity in this population.4 A recent randomized phase 3 study compared autologous with allogeneic HSCT in adults and demonstrated no significant difference in OS. The study concluded that although allogeneic HSCT reduced the risk of relapse, the associated toxicity and mortality was high. Thus, they concluded allogeneic transplant in adults be reserved for relapsed/refractory disease, and autologous transplant be used upfront for younger patients with chemotherapy-responsive disease.68
Recent studies have examined new biological agents beyond brentuximab; however, none have emerged as a standard in upfront treatment of PTCL-NOS.4,54,69 A long list of novel agents have been explored in adult clinical trials.4,35,53 These studies included a wide range of mature T-cell lymphoma entities and have revealed differential treatment response to novel agents based on specific disease histology. Lymphomas of TFH-cell origin (ie, AITL) seemed to benefit most from novel agents, being particularly responsive to epigenetic therapies such as histone deacetylase inhibitors (romidepsin and belinostat) and hypomethylating agents (5-azacytidine).70,71 Duvelisib, a phosphoinositide 3-kinase inhibitor that leverages the commonly observed aberrancies along the phosphoinositide 3-kinase/protein kinase B/mammalian target of rapamycin signaling pathway, showed higher overall response rates for relapsed/refractory AITL and PTCL-NOS in comparison with ALCL. Pralatrexate has shown relative success for PTCL-NOS specifically, in relapsed/refractory disease.72,73 The role of these agents in children remains undetermined; however, there is a clinical trial currently enrolling children with PTCL-NOS, for whom pralatrexate is combined with upfront multiagent chemotherapy (ClinicalTrials.gov identifier: NCT03719105). Experts in the field of adult lymphomas have made compelling cases for avoiding a 1-size-fits-all approach for mature T-cell lymphomas and moving toward biologically informed clinical trials that leverage molecular characteristics of specific entities.35,74
Treatment and outcome data in pediatrics
Outcomes in children with PTCL-NOS are seemingly better than adults, with OS estimated at 59% to 65% but with wide confidence intervals (Table 3). These data have important limitations because they are derived from retrospective studies with small sample sizes.7,9,10 There have been no clinical trials systematically comparing treatment regimens and therefore outcome data are gathered from a few heterogeneous case series of PTCL-NOS in children (Table 1).
Summary of select studies of PTCL-NOS in pediatric patients
| Clinical stage and number of cases . | Initial treatment approach . | Study findings . | Survival . | Reference . |
|---|---|---|---|---|
| Stage I/II, n = 6 Stage III/IV, n = 6 |
|
| 5-y EFS: 60%∗ 5-y OS: 70%∗ | 6 |
| Stage I/II, n = 7 Stage III/IV, n = 10 |
|
| Follow-up: 59% were alive | 7 |
| Stage I/II, n = 3 Stage III/IV, n = 15 |
|
| 5-y EFS and OS: 61% ± 11% and 65% ± 11% | 9 |
| Stage I/II, n = 14 Stage III/IV, n = 46 |
|
| 5-y EFS and OS: 47% ± 7% and 56% ± 7% | 10 |
| Stage I/II, n = 0 Stage III/IV, n = 7 |
|
| Alive in CR1: n = 2 Total alive: n = 4 | 25 |
| Clinical stage and number of cases . | Initial treatment approach . | Study findings . | Survival . | Reference . |
|---|---|---|---|---|
| Stage I/II, n = 6 Stage III/IV, n = 6 |
|
| 5-y EFS: 60%∗ 5-y OS: 70%∗ | 6 |
| Stage I/II, n = 7 Stage III/IV, n = 10 |
|
| Follow-up: 59% were alive | 7 |
| Stage I/II, n = 3 Stage III/IV, n = 15 |
|
| 5-y EFS and OS: 61% ± 11% and 65% ± 11% | 9 |
| Stage I/II, n = 14 Stage III/IV, n = 46 |
|
| 5-y EFS and OS: 47% ± 7% and 56% ± 7% | 10 |
| Stage I/II, n = 0 Stage III/IV, n = 7 |
|
| Alive in CR1: n = 2 Total alive: n = 4 | 25 |
ALL, acute lymphoblastic leukemia; APO, doxorubicin, vincristine, prednisone, mercaptopurine, and methotrexate; B-NHL, mature B-cell NHL; CHOP, cyclophosphamide, doxorubicin, vincristine and prednisolone; EFS, event-free survival; HiDAC, high-dose cytarabine; IDMTX, intermediate-dose methotrexate; T-LLy, T-cell lymphoblastic lymphoma; w/wo, with/without.
Indicates survival estimates for entire cohort of mature T-cell lymphomas, including PTCL-NOS.
Disease heterogeneity combined with the limited evidence make it challenging to reach firm conclusions regarding the most effective treatment approach. In a study of 18 cases of pediatric PTCL-NOS, Kontny et al noted a 5-year OS of 65% and event-free survival of 61%. Most patients had advanced-stage disease and received ALCL-style chemotherapy.9 The most commonly used regimens include ALCL-style vs T-cell lymphoblastic lymphoma-based therapy; European expert consensus guidelines favor ALCL-style multiagent chemotherapy regimens.75 These treatment regimens are based on prior pediatric clinical trials from Europe and COG. ALCL-style chemotherapy includes intensive block-like multiagent chemotherapy including high-dose methotrexate, alkylating agents, and glucocorticoids with alternating cycles of doxorubicin vs etoposide/cytarabine. It is administered for 6 3-week cycles based on the prior European ALCL99 study and includes a single dose of intrathecal chemotherapy. T-cell lymphoblastic lymphoma therapy mirrors the treatment approach for T-cell acute lymphoblastic leukemia and includes intensive phases of chemotherapy given over ∼8 months followed by milder maintenance chemotherapy that continues for a treatment duration that lasts >2 years overall. It includes numerous doses of intrathecal chemotherapy and several doses of asparaginase as well.
Although prior studies suggest patients with stage I/II disease may have better outcomes than those with advanced-stage disease, it remains unclear how to risk stratify patients accordingly to guide treatment. It should be noted that comparison of outcomes from clinical trials investigating a wide range of treatment approaches for pediatric ALK-positive ALCL similarly fails to identify a clearly superior regimen, with relapse rates of ∼25% to 30% regardless of upfront therapy.76
Without randomized phase 3 clinical trials asking the question, the role of HSCT in children remains undefined.12,75,77 Studies of patients with PTCL-NOS undergoing HSCT are small.8,10 Mellgren et al examined 16 children that underwent HSCT, 14 allogeneic and 2 autologous. The patients, disease and treatment approaches are quite variable with considerable selection bias, but it seems that those who received transplantation in CR1 or with a good response to chemotherapy had encouraging outcomes.8,10
The largest pediatric study examining HSCT for mature T-cell lymphomas included 38 patients with PTCL-NOS from 1995 to 2005.78 There were 30 and 8 patients who underwent an allogeneic or autologous HSCT, respectively. CR1/partial response was achieved in 22 before HSCT. Patients with stage I/II disease responded well to chemotherapy and entered transplant without progressive disease. Most patients received myeloablative conditioning regimens. After autologous HSCT, 7 of 9 total patients (PTCL-NOS, n = 8; SPTCL, n = 1) remained in remission. After allogeneic HSCT, amongst all patients, the 5-year OS was 58.9%. The 5-year incidence of relapse was 27.6%.78 The authors conclude because of such a small and heterogeneous population, firm recommendations are challenging but both autologous and allogeneic HSCT may play a role in risk-stratified treatment of children with PTCL-NOS. They suggest a risk-stratified treatment platform whereby autologous HSCT is reserved for relapse in patients with lower-risk disease, whereas upfront autologous HSCT be considered for intermediate-risk patients. With respect to allogeneic HSCT, they suggest this may be a reasonable approach for patients with highest risk disease who demonstrate chemosensitivity and reach CR. Defining risk stratification in pediatric PTCL-NOS, however, remains an unmet need. Although the authors do not explicitly define low, intermediate, and high risk, they suggest these categories be based on the aggressiveness of the lymphoma histology and response to chemotherapy.
Whether upfront HSCT should be required or recommended is unclear because of prior studies.8-10,75,78 Although allogeneic HSCT may offer potential graft-versus-lymphoma effect, it also carries a significant morbidity and mortality risk. Moser et al demonstrated that those undergoing allogeneic HSCT had a higher rate of nonrelapse mortality. Most patients underwent myeloablative conditioning that included total body irradiation. Additionally, patients experienced both acute and chronic graft-versus-host disease. Thus, although this may be an effective approach in select patients, the short-term and late effects of allogeneic HSCT must be carefully weighed in such a young population.78 Whatever the approach, it is clear that patients with progressive or refractory disease at the time of HSCT do not benefit whether it be allogeneic or autologous.78
For those who achieve remission, unfortunately, relapses are not uncommon and tend to occur early, within 1 to 2 years of diagnosis.9,10 Data are limited on the best approach to relapsed disease, but salvage is challenging. Effective upfront treatment is critical.8,9 Although most would support HSCT for relapsed disease, attaining enough disease control to proceed to transplant can present an insurmountable challenge. Thus, in children with PTCL-NOS, who have relapsed and are able to achieve disease control, autologous or allogeneic HSCT is a reasonable treatment approach. The role of consolidative HSCT upfront in CR1 is not clear because we have not been able to identify a discrete population in which the benefit of HSCT would outweigh the risks of morbidity and mortality. Ultimately, acknowledging the dismal rates of salvage for patients with relapsed/refractory PTCL-NOS, a careful evaluation of the risk/benefit analysis must be considered when determining the role of upfront HSCT, whether autologous vs allogeneic, for children with PTCL-NOS. Some of the considerations that weigh into this complex decision include the clinical characteristics of initial presentation, kinetics of the treatment response, compatibility of allogeneic HSCT donors, acknowledgement that adult oncologists commonly perform autologous HSCT in CR1, and reconciling the disconnect between relatively encouraging event-free survival for children with PTCL-NOS treated with chemotherapy alone in historical retrospective cohorts and the anecdotal stories of disease-related mortality from the pediatric oncology community.
Overlap between PTCL-NOS and ALK-negative ALCL
Systemic ALCL, ALK-positive and ALK-negative, were originally categorized together based on overlapping morphological and histological features, whereas nonanaplastic mature T-cell lymphomas, such as PTCL-NOS, were considered separately.29 As the scientific understanding of the unique biology of ALK-positive ALCL has emerged, lymphoma classification systems have evolved to distinguish between ALK-positive and ALK-negative disease.79 Furthermore, as ALK-inhibitors have proven tremendously potent therapeutic agents, treatment paradigms for ALK-positive ALCL have diverged. Ultimately, in adults, ALK-negative ALCL appears to share as much in common with PTCL-NOS, with regards to survival outcomes and disease biology, as it does with its ALK-positive counterpart.80
Long-term data from the International T-cell Lymphoma Project in adults reveal higher 5-year progression-free survival for ALK-positive ALCL (71%, n = 131) relative to ALK-negative ALCL (42%, n = 235) and PTCL-NOS (26%, n = 340).81 Other adult studies have also demonstrated inferior outcomes for ALK-negative disease compared with ALK-positive disease.82,83 However, molecular heterogeneity also exists within ALK-negative ALCL and seems to have prognostic significance. In 1 study of 73 adults with ALK-negative ALCL, the 5-year OS was 90% for patients with DUSP22 rearrangements (n = 22, 30%) and 17% for patients with TP63 rearrangements (n = 6, 8%). Patients without either rearrangement (n = 45, 62%) who were also ALK negative, had an OS of 42%.80 Therefore, although adults with DUSP22-rearranged ALK-negative ALCL demonstrated favorable survival outcomes similar to ALK-positive disease, those with TP63-rearranged and nonrearranged ALK-negative ALCL have survival rates similar to patients with PTCL-NOS.
Far less is known about ALK-negative ALCL in children because >90% of pediatric ALCL cases are ALK positive.84,85 In contrast to adults, children with ALK-negative ALCL may not have worse outcomes than their ALK-positive counterparts, but these data are derived from small series and therefore intrinsically limited.84-88 The largest pediatric cohort was reported in the European ALCL99 study, in which 16 children with ALK-negative disease had a 10-year progression-free survival of 75%, comparable with 70% for ALK-positive ALCL (n = 404).85,89 Is this discrepancy because pediatric cohort numbers are too small to delineate definitive patterns? Or, do more intensive pediatric regimens overcome the treatment resistance characteristic of ALK-negative ALCL in adults? An alternative hypothesis is that there may exist biological subsets of ALK-negative ALCL in children, similar to DUSP22-rearranged vs TP63-rearranged ALK-negative ALCL in adults, that project the complex Venn diagram of overlap and distinction between PTCL-NOS, ALK-negative ALCL, and ALK-positive ALCL.31
In both children and adults with ALK-negative ALCL, without the ability to use ALK inhibitors, targeted treatment options are limited. Thus, approaches seem to align with PTCL-NOS. Trials in adults have shown some benefit with etoposide and anthracycline containing regimens.90 Some have suggested that CD30 expression has an impact on prognosis and that CD30+ PTCL-NOS is similar to ALK-negative ALCL by immunophenotype and gene expression profiles, whereas CD30− PTCL-NOS appears to be a distinct entity.30,31,53 Thus, although ALK-negative ALCL and PTCL-NOS are conceptualized as distinct, future studies may shed light on the biological heterogeneity and overlap, unraveling the complex relationships between molecular pathways and leveraging therapeutic targets. In highlighting the similarities between PTCL-NOS and ALK-negative ALCL in children, we hope to advocate for inclusion of both of these orphan diseases on standard arms of future clinical trials for ALK-positive ALCL.
Conclusion
There is much left to learn about PTCL-NOS in children. The COG Rare NHL Subcommittee is striving to bridge gaps in the understanding of pediatric PTCL-NOS. Previous studies have included the rare NHL biology study ANHL04B111 and future opportunities to address unmet needs for this rare entity include investigating the disease biology and analyzing clinical characteristics through the COG NHL Committee construct including tissue and data analyses from patients enrolled on ANHL04B1 and Project:EveryChild, and advocating for inclusion of PTCL-NOS and ALK-negative ALCL on a standard arm of future ALCL clinical trials. Greater scientific and clinical understanding could enlighten improved risk stratification platforms, guide optimization of upfront and salvage treatment including incorporation of targeted agents, and better define/understand the role of HSCT consolidation in CR1.
Acknowledgments
The concept for this article was developed by members of the Children’s Oncology Group Non-Hodgkin Lymphoma Committee, specifically, the Rare Non-Hodgkin Lymphoma Subcommittee.
Authorship
Contribution: K.J.D. and N.K.E.-M. designed the framework, analyzed the literature, and wrote the manuscript; and L.S. wrote the manuscript.
Conflict-of-interest disclosure: The authors declare no competing financial interests.
Correspondence: Nader Kim El-Mallawany, Texas Children's Hospital, 1102 Bates St, Houston, TX 77030; email: nader.el-mallawany@bcm.edu.


