Recent years have witnessed a rapid growth in our understanding of the pathogenic property of monoclonal proteins. It is evident that some of these small monoclonal proteins are capable of inducing end-organ damage as a result of their intrinsic physicochemical properties. Hence, an umbrella term, monoclonal gammopathy of clinical significance (MGCS), has been coined to include myriad conditions attributed to these pathogenic proteins. Because kidneys are the most commonly affected organ (but skin, peripheral nerves, and heart can also be involved), we discuss MGRS exclusively in this review. Mechanisms of renal damage may involve direct or indirect effects. Renal biopsy is mandatory and demonstration of monoclonal immunoglobulin in kidney, along with the corresponding immunoglobulin in serum or urine, is key to establish the diagnosis. Pitfalls exist at each diagnostic step, and a high degree of clinical suspicion is required to diagnose MGRS. Recognition of MGRS by hematologists and nephrologists is important, because timely clone-directed therapy improves renal outcomes. Autologous stem cell transplant may benefit selected patients.

Recently, it was recognized that a small number of patients with a monoclonal gammopathy (MG) in the serum/urine do not meet the criteria for the diagnosis or treatment of symptomatic multiple myeloma (MM), Waldenstrom macroglobulinemia (WM), chronic lymphocytic leukemia (CLL), or other malignant non-Hodgkin lymphomas (NHLs) present with renal dysfunction and pathological findings on renal biopsy specimens.1-3  As a result, the term “monoclonal gammopathy of renal significance” (MGRS) was coined in 2012 to increase awareness among hematologists and nephrologists and to consider initiation of appropriate therapy.2  Although clone-directed therapy leads to improves renal outcome, not all patients with renal impairment and MG of undetermined significance (MGUS) have MGRS, and diagnosis of MGRS depends on the appropriate clinicopathological context.2  In this article, we review the definition, epidemiology, pathogenesis, and classification of MGRS. Current concepts in the understanding of MGRS diagnosis, management, and renal outcomes are also highlighted. Description of the 2 real-world cases of MGRS is provided in the supplemental Data.

MG refers to the presence of monoclonal immunoglobulin in the serum/urine in its intact form or as fragments produced by an expanded clone of B cells, plasma cells, or lymphoplasmacytic cells. Whereas plasma cells secrete a range of monoclonal proteins, intact immunoglobulin (immunoglobulin G [IgG] > IgA > IgM > IgD > IgE), and free light chains, B cells and lymphoplasmacytic cells typically produce IgM > IgG.3,4  MGUS and smoldering MM (SMM) are plasma cell dyscrasias (PCDs) that are characterized by the absence of end-organ damage.1  The prevalence of MGUS in the general population is ∼0.7% and increases with age (3.2% in people older than 50 years, and 5.3% in those older than 70 years). The risk of progression to MM in MGUS is variable (0.5%-1.5% per year) depending on risk factors.5  Because end-organ damage is not a feature of MGUS, it is considered “benign,” and treatment of this entity with antimyeloma therapy is not recommended. Current consensus suggests monitoring of serum paraprotein level, serum free light chains (sFLCs), blood counts, and organ chemistry to look for end-organ damage.6 

A small percentage of patients with renal impairment have a “nonmyeloma” MG at the time of initial presentation or one that is detected later during follow-up. In a further observation, a retrospective review of 5410 kidney biopsies showed that 2.5% had monoclonal Ig deposition. Typically, these patients had a small paraprotein in the serum/urine and were labeled as having MGUS, as per the International Myeloma Working Group diagnostic criteria.7  Therefore, MGUS in these patients could no longer be considered benign, and the hemato-nephrological term MGRS was introduced in 2012 to emphasize the importance of MG in the setting of renal disease. MGRS encompasses a group of renal disorders with a range of renal pathology findings in the presence of an MG. The size of the paraprotein and the associated B-cell clone (“small dangerous B-cell clone”) is typically small.8  Conventionally, renal damage in the setting of high tumor burden (symptomatic MM, WM malignant lymphoma, and CLL) is not considered MGRS.2  Recently, the International Kidney and Monoclonal Gammopathy Research Group (IKMG) updated the definition of MGRS to include all B-cell/plasma cell clonal proliferative disorders not requiring immediate treatment of the clonal disease: SMM, smoldering WM, low-grade CLL, and low-grade NHL (marginal zone lymphoma, mantle cell lymphoma, and mucosa-associated lymphoid tissue lymphoma).9  Nephrotoxic monoclonal proteins are implicated in the pathogenesis of MGRS directly or indirectly, as a result of their unique physicochemical properties rather than the tumor bulk per se.10  But caveats exist; patients with C3 glomerulopathy (C3G) and renal-limited atypical hemolytic uremic syndrome (referred to as thrombotic microangiopathy [TMA] in this article) with MG do not demonstrate monoclonal protein deposition in the kidney, and some patients with MGRS lack an identifiable monoclonal protein (discussed under "Diagnosing MGRS: a challenge").4,11,12 

MGRS has been estimated from previous observations at 10% of cases of MGUS, with a prevalence of 0.32% and 0.53% in people older than 50 years and 70 years, respectively.5,13  Since its first formal description in 2012, published evidence describe the natural history of MGRS. Key findings from these studies are listed below.

  • Renal function declines in MGRS patients with a potential to progress to end-stage renal disease (ESRD). Renal diseases with MG (MGRS) have a worse renal survival (not requiring dialysis or becoming dialysis independent) compared with those without MGRS.14 

  • Monoclonal proteins produced by B-cell/plasma cell clones mediate MGRS; clone-directed therapy using novel chemotherapeutic combinations results in improved renal survival.15  Treatment of the underlying hematological disorder in light chain amyloidosis (AL amyloidosis), monoclonal immunoglobulin deposition disease (MIDD), proliferative glomerulonephritis (GN) with monoclonal immunoglobulin deposition (PGNMID), and C3G has resulted in improved renal survival compared with no treatment or immunosuppressive medications.11,16-19 

  • Recurrence after renal transplantation has been documented in MGRS patients in whom incomplete hematological remission was achieved before renal transplant, making complete hematological remission a prerequisite in MGRS when renal transplantation is contemplated.20-27 

  • There is an urgent need to maintain awareness of MGRS in routine hematology, pathology, and nephrology practice, working in a multidisciplinary setting, to prevent end-stage renal damage and surveillance to monitor for progression to an overt hematological malignancy.

Renal parenchyma can be broadly divided into 3 structural and functional compartments: glomerulus, tubulointerstitium, and vasculature. Conceptually, monoclonal deposits in MGRS can affect any or all of these compartments. Therefore, 1 way of classifying MGRS is based on the dominant site of monoclonal deposition (Table 1). It is an arbitrary schema because most MGRS lesions involve >1 compartment within a single entity, and significant overlap exists.5  Another method of classification relies on the histological and ultrastructural findings (Figure 1).2,28  Both classifications are pertinent: although the former is clinically relevant because it helps to clarify the pathogenesis and clinical features of MGRS, the latter is relevant from a diagnostic standpoint. Nevertheless, both schemes are commonly used together in clinical practice for better clinicopathological correlation.

Table 1.

Classification of MGRS entities based on presence and site of deposition of monoclonal proteins in renal structures

MGRS with monoclonal protein deposition in renal structures
Glomerular depositionTubulointerstitial depositionIntrarenal vascular deposition
Amyloidosis (AL/AH/AHL) LCPT with and without crystals Amyloidosis 
Monoclonal fibrillary glomerulopathy CSH Crystalglobulinemia 
Immunotactoid glomerulopathy Amyloidosis MIDD 
Cryoglobulinemic GN (types I and II) MIDD Cryoglobulinemic GN (types I and II) 
MIDD (LCDD/HCDD/HLDD)   
PGNMID   
MPGN associated with monoclonal immunoglobulin   
MN secondary to monoclonal immunoglobulin   
MGRS with monoclonal protein deposition in renal structures
Glomerular depositionTubulointerstitial depositionIntrarenal vascular deposition
Amyloidosis (AL/AH/AHL) LCPT with and without crystals Amyloidosis 
Monoclonal fibrillary glomerulopathy CSH Crystalglobulinemia 
Immunotactoid glomerulopathy Amyloidosis MIDD 
Cryoglobulinemic GN (types I and II) MIDD Cryoglobulinemic GN (types I and II) 
MIDD (LCDD/HCDD/HLDD)   
PGNMID   
MPGN associated with monoclonal immunoglobulin   
MN secondary to monoclonal immunoglobulin   
MGRS without monoclonal protein deposition in renal structures
Glomerular involvementTubulointerstitial involvementIntrarenal vascular involvement
C3GN  TMA 
TMA  POEMS syndrome 
POEMS syndrome   
MGRS without monoclonal protein deposition in renal structures
Glomerular involvementTubulointerstitial involvementIntrarenal vascular involvement
C3GN  TMA 
TMA  POEMS syndrome 
POEMS syndrome   

AH, heavy chain amyloidosis; AHL, heavy and light chain amyloidosis; AL, light chain amyloidosis; C3GN, C3 glomerulonephritis; CSH, crystal-storing histiocytosis; HCDD, heavy chain deposition disease; HLDD, heavy and light chain deposition disease; LCDD, light chain deposition disease; LCPT, light chain proximal tubulopathy; MN, membranous nephropathy; POEMS, polyneuropathy organomegaly endocrinopathy monoclonal gammopathy, and skin changes.

Adapted from Ciocchini et al5  with permission.

Figure 1.

Classification of MGRS based on the ultrastructural findings of the monoclonal deposits. *Includes non-MGRS kidney diseases, such as anti-glomerular basement membrane (glomerular basement membrane (GBM) disease, membranous nephropathy, and Henoch-Schonlein purpura (HSP). These are presumed to be due to a monoclonal protein acting as an autoantibody (against antigen on glomerular basement membrane in anti-GBM disease and PLA2R in membranous nephropathy). Notably, a single subclass restriction (IgG1κ), absence of PLA2R staining, and associated proliferative changes on renal biopsy are indicative of MGRS in occasional cases of membranous nephropathy with monoclonal immunoglobulin.37  Rare cases of HSP with IgA nephropathy have been associated with monoclonal IgA or MM. These patients experience frequent relapses and a high recurrence rate postrenal transplantation.9  FG, fibrillary glomerulopathy; Ig, immunoglobulin; ITG, immunotactoid glomerulonephritis.

Figure 1.

Classification of MGRS based on the ultrastructural findings of the monoclonal deposits. *Includes non-MGRS kidney diseases, such as anti-glomerular basement membrane (glomerular basement membrane (GBM) disease, membranous nephropathy, and Henoch-Schonlein purpura (HSP). These are presumed to be due to a monoclonal protein acting as an autoantibody (against antigen on glomerular basement membrane in anti-GBM disease and PLA2R in membranous nephropathy). Notably, a single subclass restriction (IgG1κ), absence of PLA2R staining, and associated proliferative changes on renal biopsy are indicative of MGRS in occasional cases of membranous nephropathy with monoclonal immunoglobulin.37  Rare cases of HSP with IgA nephropathy have been associated with monoclonal IgA or MM. These patients experience frequent relapses and a high recurrence rate postrenal transplantation.9  FG, fibrillary glomerulopathy; Ig, immunoglobulin; ITG, immunotactoid glomerulonephritis.

Close modal

Renal involvement can be seen in high and low tumor cell burden, but the term MGRS is often restricted to the latter. This has been clarified in a recent IKMG consensus to include all levels of tumor burden, even when they do not automatically qualify for therapy.9  Unique physicochemical properties of the monoclonal protein, as well as host factors like tissue pH, interaction with the local environment, and tissue binding, contribute to the pathogenesis of MGRS.9  The mechanisms of renal injury in MGRS fall into 2 broad categories based on the demonstration of monoclonal protein in the kidneys: direct and indirect (Figure 2).29 

Figure 2.

Mechanisms of MGRS pathogenicity. VEGF, vascular endothelial growth factor.

Figure 2.

Mechanisms of MGRS pathogenicity. VEGF, vascular endothelial growth factor.

Close modal

Direct mechanisms

Renal handling of monoclonal proteins is variable; light chains and truncated heavy chains are freely filtered across the glomerulus owing to their small molecular weight, but intact immunoglobulin molecules are entrapped in the glomerulus. Light chains are normally internalized by the proximal tubular cells via receptor-mediated endocytosis and degraded in the lysosomal system, resulting in very small amounts of free light chains in the urine. Therefore, renal injury resulting from the presence of intact immunoglobulin molecules is limited to the glomerulus, whereas light chains and truncated heavy chains can potentially affect all renal compartments. We further classify the direct mechanism according to the main site of injury: glomerular and tubulointerstitial.7,10,28-31 

Glomerular injury.

Deposited light and truncated heavy chains/immunoglobulin molecules interact with the resident glomerular cells and activate signaling pathways that result in inflammation and tissue injury.10,32  This mechanism may explain the renal damage seen in amyloidosis and MIDD. Amyloidogenic light chains (VλVI) in AL amyloidosis change the properties of mesangial cells to a macrophage type that endocytose them. As a result of their intrinsically abnormal nature, light chains are partially digested, converted to fibrils after misfolding, and finally secreted extracellularly where they are deposited in association with other components (apolipoprotein, serum amyloid protein) as amyloid fibrils. Increased matrix metalloproteinases have also been implicated in mesangial matrix destruction.33,34  Light chains (VκIV) in LCDD convert mesangial cells into myofibroblasts, which, in turn, secrete excessive mesangial matrix and platelet-derived growth factor (PDGF), leading to a nodular glomerulosclerosis membranoproliferative appearance.35,36  A subset of membranous GN shows light chain restriction, usually κ on renal biopsy (Figure 1, “Miscellaneous” category).19,37  Mechanisms of glomerular injury in other MGRS lesions, such as PGNMID, ITG, FG, MPGN with monoclonal immunoglobulin, and cryoglobulinemic GN are poorly understood. Notably, the majority of FG cases demonstrate polyclonal glomerular immunoglobulin deposition. Only those cases with monotypic deposition (monoclonal FG; referred to as FG in this article) are considered MGRS.28 

Tubulointerstitial injury.

Tubules and interstitium can be affected by either light chains (most often κ) produced in excess with an intact immunoglobulin or rarely, truncated heavy chains, which can be filtered across the glomerulus.7,38  When the resorptive capacity of the tubules is outweighed by excess light chains, they accumulate in proximal tubular epithelium and resist degradation by the lysosomal proteases because of the unique variable domain (Vκ1). Interference with lysosomal function leads to generation of reactive oxygen species, sustained inflammation, and tubular constipation. LCPT is a broad term referring to proximal tubular damage induced by light chains resulting in disrupted resorption capability, with or without Fanconi syndrome (FS) and acute tubular injury. Progressive renal failure can ensue.7  Two main morphological variants are described.

  • LCPT with inclusions: rhomboid, needle-shaped, or rectilinear eosinophilic inclusions (periodic acid–Schiff [PAS] negative) are found by light microscopy (LM). In all cases, κ restriction can be demonstrated by immunofluorescence, especially in pronase digestion–treated sections. This condition is commonly associated with FS.7,39,40 

  • LCPT without inclusions: excessive vacuolar or droplet changes, tubule cell necrosis, detachment, and apical blebbing are common findings on LM. In contrast with LCPT with inclusions, λ light chains might be the cause in one third of the cases, and electron microscopy (EM) demonstrates cytoplasmic droplets and vacuoles, with no evidence of crystalloid inclusions. The frequency of this subtype is variable (13%- 77%).7,41,42 

Indirect mechanisms

Monoclonal protein cannot be demonstrated in the kidney biopsy in certain MGRS entities, supporting an indirect role for monoclonal proteins in the pathogenesis.29  This view is strengthened by the observation that the clone-directed therapy results in improved renal outcome. Under this category, we would include 3 provisional MGRS entities: C3G, TMA, and POEMS syndrome.11,12,43  The first 2 entities result from MG behaving as an autoantibody.28 

C3G and TMA.

C3G is a well-known entity that is characterized by dominant C3 renal deposits by IF and, often, a GN with a membranoproliferative pattern. C3 GN (C3GN) and TMA result from dysregulation of the alternative complement pathway. Recent reports described an unusually high prevalence of MG in C3GN and TMA patients compared with the age-matched general population (Table 2).11,12,44,45  Hypothetically, the monoclonal protein acts as an autoantibody against complement regulatory proteins, especially complement factor H, or as a stabilizer C3 convertase (C3 nephritic factor), resulting in sustained C3 activation. These mechanisms can coexist in the same patient.44,45 

Table 2.

Incidence of detectable monoclonal protein, most commonly found MGs, and the reported hematological disorders associated with MGRS

Type of monoclonal immunoglobulin depositionAssociated renal pathologiesIncidence of detectable MGMost common type of paraprotein/MGAssociated hematological disorders
Intact immunoglobulin molecule/immunoglobulin molecule with truncated heavy chain* ALH amyloidosis4,10,28,29 * 97%-100% IgGλ MM, CLL 
LHCDD10,28,29,46,47 * SPEP/IFE: 80%-100% IgGκ MM (50%) 
UPEP/IFE: 80%-100% 
sFLC assay: 100% 
Cryoglobulinemic GN28,29,48,49  Type 1: 76%-82.5% Type I IgG/IgM with κ Type 1: MM, WM, CLL, B-NHL, MGRS, HCL 
Type 2: 40%-49% Type II IgMκ Type 2: B-CLPD, LPL, MALToma, WM 
PGNMID10,29,31,50  20%-30% IgG3 Rare (4.4%): MM, CLL, NHL 
ITG9,28,29,51  63%-71% IgG1 CLL (19%), LPL (13%), MM (13%) 
FG28,52-54  15%-17% IgG MM, CLL 
Light chains only AL amyloidosis4,10,28,29  97%-100% VI MM, LPL, CLL 
LCDD10,28,29,46,47  SPEP/IFE: 25%-76% IV MM (39%-59%), MGRS (39%), LPL 
UPEP/IFE: 42%-90% 
sFLC assay: 100% 
LCPT9,28,29,41,55  93.4%-97% I MGRS (27%-46%), MM (14%-33%), SMM (15%-51%), NHL (4%), CLL (2%), WM (8%) 
CSH9,28,29,56  81.8%-90% κ MM, LPL, MGRS (rare) 
Heavy chains only AH amyloidosis4,10,28,29 * 97%-100% IgG MM 
HCDD10,28,29,46,47* SPEP/IFE: 67%-100% IgG1 MM (29%) 
UPEP/IFE: 50%-100% 
sFLC assay: 100% 
No monoclonal protein xdemonstrable in kidneys C3G (C3GN and DDD)28,29,45,57-60  33%-83%  IgGκ MGRS (60%-77.8%), MM (4%-13.9%), SMM (5.6%-30%), CLL/lymphoma (5.6%-6%), type 1 cryoglobulinemia (2.8%) 
TMA29,57  13.7% (>50 y, 21%; >60 y, 24%) IgGκ MGRS (75%), MM (5%), SMM (5%), POEMS (10%), T-cell lymphocytic leukemia (5%) 
Atypical MN secondary to monoclonal immunoglobulin19,37  0%-21.4% IgG1κ CLL/SLL (17.8%-28.5%), MM (7.1%), SMZL (3%) 
Type of monoclonal immunoglobulin depositionAssociated renal pathologiesIncidence of detectable MGMost common type of paraprotein/MGAssociated hematological disorders
Intact immunoglobulin molecule/immunoglobulin molecule with truncated heavy chain* ALH amyloidosis4,10,28,29 * 97%-100% IgGλ MM, CLL 
LHCDD10,28,29,46,47 * SPEP/IFE: 80%-100% IgGκ MM (50%) 
UPEP/IFE: 80%-100% 
sFLC assay: 100% 
Cryoglobulinemic GN28,29,48,49  Type 1: 76%-82.5% Type I IgG/IgM with κ Type 1: MM, WM, CLL, B-NHL, MGRS, HCL 
Type 2: 40%-49% Type II IgMκ Type 2: B-CLPD, LPL, MALToma, WM 
PGNMID10,29,31,50  20%-30% IgG3 Rare (4.4%): MM, CLL, NHL 
ITG9,28,29,51  63%-71% IgG1 CLL (19%), LPL (13%), MM (13%) 
FG28,52-54  15%-17% IgG MM, CLL 
Light chains only AL amyloidosis4,10,28,29  97%-100% VI MM, LPL, CLL 
LCDD10,28,29,46,47  SPEP/IFE: 25%-76% IV MM (39%-59%), MGRS (39%), LPL 
UPEP/IFE: 42%-90% 
sFLC assay: 100% 
LCPT9,28,29,41,55  93.4%-97% I MGRS (27%-46%), MM (14%-33%), SMM (15%-51%), NHL (4%), CLL (2%), WM (8%) 
CSH9,28,29,56  81.8%-90% κ MM, LPL, MGRS (rare) 
Heavy chains only AH amyloidosis4,10,28,29 * 97%-100% IgG MM 
HCDD10,28,29,46,47* SPEP/IFE: 67%-100% IgG1 MM (29%) 
UPEP/IFE: 50%-100% 
sFLC assay: 100% 
No monoclonal protein xdemonstrable in kidneys C3G (C3GN and DDD)28,29,45,57-60  33%-83%  IgGκ MGRS (60%-77.8%), MM (4%-13.9%), SMM (5.6%-30%), CLL/lymphoma (5.6%-6%), type 1 cryoglobulinemia (2.8%) 
TMA29,57  13.7% (>50 y, 21%; >60 y, 24%) IgGκ MGRS (75%), MM (5%), SMM (5%), POEMS (10%), T-cell lymphocytic leukemia (5%) 
Atypical MN secondary to monoclonal immunoglobulin19,37  0%-21.4% IgG1κ CLL/SLL (17.8%-28.5%), MM (7.1%), SMZL (3%) 

B-CLPD, B-cell chronic lymphoproliferative disorder; B-NHL, B-cell NHL; DDD, dense deposition disease; HCL, hairy cell leukemia; IFE, immunofixation electrophoresis; LHCDD, light and heavy chain deposition disease; LPL, lymphoplasmacytic lymphoma; MALToma, mucosa-associated lymphoid tissue lymphoma; SLL, small lymphocytic lymphoma; SMZL, splenic marginal zone lymphoma; SPEP, serum protein electrophoresis; UPEP, urine protein electrophoresis.

*

Shows entities with truncated heavy chains.

Provisional MGRS entities.

POEMS syndrome.

Microangiopathic renal lesions seen in this syndrome are thought to be mediated by vascular endothelial growth factor released by the clonal plasma cells. An in-depth review of this feature is provided elsewhere.61 

There is a wide spectrum of MGRS clinical presentations, with variable combinations of proteinuria, hematuria, renal insufficiency, hypertension, and hypocomplementemia. We find it useful to describe the constellation of these features as distinct syndromes for better clinical applicability (Table 3).29  Broadly, glomerular disorders present with nephrotic syndrome (NS) or nephritic-nephrotic syndrome (variable combinations of proteinuria, hematuria, hypertension, low complement levels, and renal insufficiency). Although the former presentation is common in amyloidosis and MIDD, the latter is more typical of proliferative glomerulopathies. Tubulointerstitial disorders (LCPT) usually present with tubular proteinuria, electrolyte abnormalities, with/without progressive renal insufficiency, and FS. FS is manifested by global proximal tubular dysfunction (ie, glycosuria, aminoaciduria, uricosuria, phosphaturia, and type 2 renal tubular acidosis). Acute renal failure is typical of TMA.28,29  Extrarenal manifestations may be superimposed on these entities (Table 4). Clinical presentation may vary within a particular entity, depending on the dominant site of injury. For example, amyloidosis may present with progressive renal insufficiency rather than NS if renal vasculature is the dominant site of amyloid deposition.28,29 

Table 3.

Syndromic approach to the clinical presentation of MGRS

Clinical syndrome/presentationAssociated MGRS entities
NS Amyloidosis (glomerular), MIDD 
Nephritic-nephrotic syndrome (proteinuria, hematuria, hypertension, low complement levels, and renal insufficiency) PGNMID, ITG, FG, C3G with monoclonal immunoglobulin, cryoglobulinemic GN 
Acute renal failure TMA, MIDD, and crystalglobulinemia 
Proteinuria/progressive renal insufficiency LCPT (with/without FS), MIDD, amyloidosis (tubulointerstitial and vascular), CSH, TMA 
Clinical syndrome/presentationAssociated MGRS entities
NS Amyloidosis (glomerular), MIDD 
Nephritic-nephrotic syndrome (proteinuria, hematuria, hypertension, low complement levels, and renal insufficiency) PGNMID, ITG, FG, C3G with monoclonal immunoglobulin, cryoglobulinemic GN 
Acute renal failure TMA, MIDD, and crystalglobulinemia 
Proteinuria/progressive renal insufficiency LCPT (with/without FS), MIDD, amyloidosis (tubulointerstitial and vascular), CSH, TMA 

Adapted from Sethi et al29  with permission.

Table 4.

Summary of the reported end-organ manifestations in MGRS entities

MGRS subtypeOrgans affected/manifestationsReferences
Amyloidosis Heart, liver, autonomic nerves, skin, gastrointestinal tract, pulmonary 62  
MIDD Liver, heart, peripheral nerves, lung, skin (seen in 35% of cases) 28,63,-65  
Cryoglobulinemic GN Vasculitis, Raynaud’s phenomenon, purpura, livedo reticularis, arthralgia, peripheral neuropathy 29,48,49  
C3G Skin necrosis 11  
LCPT with FS Osteomalacia 28  
Crystalglobulinemia Skin rash, polyarthralgia, neuropathy 29,66  
CSH FS, spleen, lymph nodes, macrophage activation, cornea, lungs, thyroid, parotid gland, synovium, liver, brain, skin, subcutaneous fat 9,55  
POEMS syndrome Sensory motor polyneuropathy, organomegaly, endocrinopathy, skin 61  
MGRS subtypeOrgans affected/manifestationsReferences
Amyloidosis Heart, liver, autonomic nerves, skin, gastrointestinal tract, pulmonary 62  
MIDD Liver, heart, peripheral nerves, lung, skin (seen in 35% of cases) 28,63,-65  
Cryoglobulinemic GN Vasculitis, Raynaud’s phenomenon, purpura, livedo reticularis, arthralgia, peripheral neuropathy 29,48,49  
C3G Skin necrosis 11  
LCPT with FS Osteomalacia 28  
Crystalglobulinemia Skin rash, polyarthralgia, neuropathy 29,66  
CSH FS, spleen, lymph nodes, macrophage activation, cornea, lungs, thyroid, parotid gland, synovium, liver, brain, skin, subcutaneous fat 9,55  
POEMS syndrome Sensory motor polyneuropathy, organomegaly, endocrinopathy, skin 61  

Diagnosing MGRS remains challenging for hematologists, nephrologists, and renal pathologists. Often, patients have a delayed diagnosis, with the resultant renal function being significantly worse before clone-directed therapy is instituted. This underscores the importance of maintaining a low threshold for clinically suspecting MGRS. Clinical suspicion of MGRS arises when an MGRS-compatible lesion is identified on kidney biopsy or an MG is detected in a patient with renal impairment. Because not all patients with the latter have MGRS, recent IKMG suggestions for kidney biopsy may help hemato-nephrologists with clinical decision making.9  Correlation between MG and monoclonal deposit in the renal biopsy specimen is essential, because a discrepancy would argue against the diagnosis of MGRS.9  A renal pathologist should screen for monoclonal protein deposits in all of the compartments of a renal biopsy specimen. Accurate clinical information should be available because not all MGRS lesions demonstrate monoclonal protein deposition in kidney (for instance, C3G and TMA) and vice versa.3,12,44,45  To this end, we will discuss the step-wise diagnostic approach to MGRS, pitfalls in currently available tests, and challenges faced by clinicians while dealing with a suspected case of MGRS.

As shown in Figure 3, the diagnosis of MGRS has 4 elements: (1) renal biopsy for identification of the pattern of renal parenchymal damage and demonstration of monoclonal protein, if present, (2) identification of the corresponding monoclonal protein in the serum and/or urine, (3) demonstration of the underlying clonal population of cells secreting the monoclonal protein, and (4) characterization of extrarenal manifestations of the clonal disorder.3  The incidence and type of detectable monoclonal protein, as well as the associated hematological disorders with MGRS conditions, are summarized in Table 2.

Figure 3.

Proposed step-wise algorithm for the diagnosis of MGRS. *Renal biopsy advised if ≥1 of acute kidney injury (AKI) stage 3, estimated glomerular filtration rate (eGFR) < 60 mL/min per 1.73 m2 and >2 mL/min per 1.73 m2 per year decline, proteinuria and hematuria, albumin/creatinine ratio > 30 mg/mmol, and FS (hypouricemia).9  *Renal biopsy considered if ≥1 of AKI stage 1 or 2, eGFR < 60 mL/min per 1.73 m2 and <2 mL/min per 1.73 m2 per year decline, albumin/creatinine ratio 3 to 30 mg/mmol and eGFR > 60 mL/min per 1.73 m2, hematuria and eGFR < 60 mL/min per 1.73 m2, and evidence of light chain proteinuria.9  *Defer renal biopsy if stable eGFR, bland urinalysis, and no evidence of light chain proteinuria.9  In ∼40% of cases, monoclonal protein is not demonstrated in serum/urine. In such cases, renal biopsy should be considered in the diagnostic algorithm depending on the clinical suspicion.3  In cases of MGRS-compatible renal lesion with monoclonal immunoglobulin deposition, a diagnosis of MGRS should be considered and therapy instituted, because a monoclonal protein might not be demonstrated in some of these cases, despite a thorough evaluation (eg, PGNMID, FG). The latter situation could arise due to the extremely small amount of monoclonal protein that escapes detection by conventional methods or a result of pitfalls in the current diagnostic assays. IEM, immunoelectron microscopy; IF, immunofluorescence; LMD, laser microdissection; TM, tandem mass spectrometry. Adapted from Leung et al9  with permission.

Figure 3.

Proposed step-wise algorithm for the diagnosis of MGRS. *Renal biopsy advised if ≥1 of acute kidney injury (AKI) stage 3, estimated glomerular filtration rate (eGFR) < 60 mL/min per 1.73 m2 and >2 mL/min per 1.73 m2 per year decline, proteinuria and hematuria, albumin/creatinine ratio > 30 mg/mmol, and FS (hypouricemia).9  *Renal biopsy considered if ≥1 of AKI stage 1 or 2, eGFR < 60 mL/min per 1.73 m2 and <2 mL/min per 1.73 m2 per year decline, albumin/creatinine ratio 3 to 30 mg/mmol and eGFR > 60 mL/min per 1.73 m2, hematuria and eGFR < 60 mL/min per 1.73 m2, and evidence of light chain proteinuria.9  *Defer renal biopsy if stable eGFR, bland urinalysis, and no evidence of light chain proteinuria.9  In ∼40% of cases, monoclonal protein is not demonstrated in serum/urine. In such cases, renal biopsy should be considered in the diagnostic algorithm depending on the clinical suspicion.3  In cases of MGRS-compatible renal lesion with monoclonal immunoglobulin deposition, a diagnosis of MGRS should be considered and therapy instituted, because a monoclonal protein might not be demonstrated in some of these cases, despite a thorough evaluation (eg, PGNMID, FG). The latter situation could arise due to the extremely small amount of monoclonal protein that escapes detection by conventional methods or a result of pitfalls in the current diagnostic assays. IEM, immunoelectron microscopy; IF, immunofluorescence; LMD, laser microdissection; TM, tandem mass spectrometry. Adapted from Leung et al9  with permission.

Close modal

Renal biopsy

Renal biopsy is a relatively safe procedure in patients with MGRS and carries a similar risk for hemorrhagic complications (4.1%) as in patients without MGRS.67  Renal biopsy could potentially be avoided in certain cases of amyloidosis for which a biopsy from less-invasive sites (abdominal fat pad, gingival or rectal) has successfully demonstrated amyloid deposition.68  The biopsy specimen must be processed for LM, as well as for IF using antibodies for light chains, heavy chains, and intact immunoglobulin molecules. IgG subclass IF is essential in cases associated with intact monoclonal immunoglobulin or truncated heavy chain deposition (Table 2). Complement deposition (C3 with or without C1q) could be demonstrated in certain MGRS entities (PGNMID, ITG, C3GN, HCDD, light and heavy chain deposition disease, and cryoglobulinemic GN). The need for ancillary investigations like pronase digestion, EM, immunogold labeling, and laser microdissection, followed by liquid chromatography and mass spectrometry (LC-MS), is discussed further.9  Despite thorough work-up, IF may fail to identify some cases of amyloidosis as a result of the hidden antigen epitopes within the fibrillar structure.69  Conversely, false-positive IF may be seen in amyloidosis as a result of nonspecific tissue binding of circulating monoclonal proteins.70  IF can be negative in cases of LCPT and crystal-storing histiocytosis (CSH) as a result of the intracellular localization of monoclonal light chains. Tissue processing, including an antigen-retrieval step by pronase digestion, helps to detect intracellular light chains. Occasional cases of congophilic FG could be reliably distinguished from amyloidosis by DNAJB9 immunohistochemistry (IHC) staining and LC-MS.71,72  LC-MS is indispensable for amyloid subtyping and identification of IgD HCDD (associated with a negative IF).9  EM offers valuable supplementary information regarding the substructure of organized deposits (amyloid, fibrils, immunotactoids, cryoglobulins, and light chains) and their localization.56,73  It is especially important to appreciate that >1 pattern may exist in the same patient. As an example, 6% of patients with C3G may have TMA changes, and MIDD can present with amyloidosis.11,54  LM, IF, and EM findings of various MGRS lesions are summarized in Table 5. Figures 4,Figure 5-6 highlight the renal biopsy findings in LCPT, LCDD, and C3G, respectively (provided by M.S.).

Table 5.

Summary of the main pathological findings in MGRS

Glomerular diseasesLMIF/IHCEM
 Amyloidosis Congo red+ mesangial expansion/nodules AL: LC restriction (mostly λ) Unbranched randomly distributed fibrils (8-12 nm diameter) 
Hairbrush projections from glomerular basement membranes AH: HC deposits (g1 or g4, or a) 
Congo red+ deposits in interstitium and vessel walls (occasional) AHL: LC and HC deposits 
 FG* Congo red, silver mesangial expansion Mesangial and capillary loop IgG, C3, κ and λ deposits Unbranched, randomly distributed 15-20 nm diameter fibrils 
Positivity for DNAJB9 on IHC 
 ITG Membranous-like or MPGN-like changes Coarse mesangial IgG (monoclonal in 60% of cases), C3 and occasional IgM deposits Microtubules (20-60 nm diameter) 
Congo red, silver mesangial expansion 
 Type I cryoglobulinemic GN MPGN pattern Monoclonal immunoglobulin (most frequently κ) of the same type as found in circulation, C3, C4 deposits Paired microtubules (25-40 nm diameter) 
Endocapillary proliferative pattern/exudation 
PAS+ capillary pseudothrombi common 
 MIDD Mesangial proliferation and Congo red, silver+ mesangial matrix expansion/nodules LCDD: mesangial and/or glomerular basement membrane monoclonal LC deposits Powdery electron-dense deposits along inner aspect of glomerular basement membranes, mesangium, and outer aspect of tubular basement membranes 
HCDD: κ and λ negative, staining for 1 of the immunoglobulins (most commonly IgG or IgM) 
 PGNMID Endocapillary proliferative GN/MPGN Monoclonal immunoglobulin or, more rarely, monoclonal LC deposits Nonorganized mesangial, subendothelial, and subepithelial electron-dense deposits 
 Membranous GN with monoclonal immunoglobulin Membranous changes (spikes, lucencies) Monoclonal immunoglobulin deposits Nonorganized subepithelial electron-dense deposits 
 C3G associated with monoclonal gammopathy Endocapillary proliferative GN/MPGN Granular, C3-dominant deposits Nonorganized mesangial, subendothelial, and subepithelial electron-dense deposits 
Dense osmiophilic transformation of basement membranes if DDD 
 TMA Glomerular and/or arterial TMA Pauci-immune pattern; occasional C3 trapping Acute: subendothelial flocculent material 
Chronic: new subendothelial basement membrane and/or subendothelial widening 
Tubulointerstitial diseases    
 LCPT Proximal tubular vacuolation/fragmentation LC inclusions within tubular epithelium Intralysosomal or free rhomboid-shaped crystals in proximal tubules 
Intracytoplasmic inclusions, often crystalloid 
 Miscellaneous    
 CSH Accumulated crystals within macrophages/histiocytes within glomerular or peritubular capillaries and in the mesangium LC crystalloid inclusions within macrophages/histiocytes Rhomboid and needle-shaped crystalloid inclusions and vacuoles within macrophages/histiocytes. 
Glomerular diseasesLMIF/IHCEM
 Amyloidosis Congo red+ mesangial expansion/nodules AL: LC restriction (mostly λ) Unbranched randomly distributed fibrils (8-12 nm diameter) 
Hairbrush projections from glomerular basement membranes AH: HC deposits (g1 or g4, or a) 
Congo red+ deposits in interstitium and vessel walls (occasional) AHL: LC and HC deposits 
 FG* Congo red, silver mesangial expansion Mesangial and capillary loop IgG, C3, κ and λ deposits Unbranched, randomly distributed 15-20 nm diameter fibrils 
Positivity for DNAJB9 on IHC 
 ITG Membranous-like or MPGN-like changes Coarse mesangial IgG (monoclonal in 60% of cases), C3 and occasional IgM deposits Microtubules (20-60 nm diameter) 
Congo red, silver mesangial expansion 
 Type I cryoglobulinemic GN MPGN pattern Monoclonal immunoglobulin (most frequently κ) of the same type as found in circulation, C3, C4 deposits Paired microtubules (25-40 nm diameter) 
Endocapillary proliferative pattern/exudation 
PAS+ capillary pseudothrombi common 
 MIDD Mesangial proliferation and Congo red, silver+ mesangial matrix expansion/nodules LCDD: mesangial and/or glomerular basement membrane monoclonal LC deposits Powdery electron-dense deposits along inner aspect of glomerular basement membranes, mesangium, and outer aspect of tubular basement membranes 
HCDD: κ and λ negative, staining for 1 of the immunoglobulins (most commonly IgG or IgM) 
 PGNMID Endocapillary proliferative GN/MPGN Monoclonal immunoglobulin or, more rarely, monoclonal LC deposits Nonorganized mesangial, subendothelial, and subepithelial electron-dense deposits 
 Membranous GN with monoclonal immunoglobulin Membranous changes (spikes, lucencies) Monoclonal immunoglobulin deposits Nonorganized subepithelial electron-dense deposits 
 C3G associated with monoclonal gammopathy Endocapillary proliferative GN/MPGN Granular, C3-dominant deposits Nonorganized mesangial, subendothelial, and subepithelial electron-dense deposits 
Dense osmiophilic transformation of basement membranes if DDD 
 TMA Glomerular and/or arterial TMA Pauci-immune pattern; occasional C3 trapping Acute: subendothelial flocculent material 
Chronic: new subendothelial basement membrane and/or subendothelial widening 
Tubulointerstitial diseases    
 LCPT Proximal tubular vacuolation/fragmentation LC inclusions within tubular epithelium Intralysosomal or free rhomboid-shaped crystals in proximal tubules 
Intracytoplasmic inclusions, often crystalloid 
 Miscellaneous    
 CSH Accumulated crystals within macrophages/histiocytes within glomerular or peritubular capillaries and in the mesangium LC crystalloid inclusions within macrophages/histiocytes Rhomboid and needle-shaped crystalloid inclusions and vacuoles within macrophages/histiocytes. 

HC, heavy chain; LC, light chain.

*

Occasional cases of FG could show congophilia (congophilic FG). These cases could be reliably distinguished from amyloid deposits by DNAJB9 immunostain or mass spectroscopy.72 

Figure 4.

Features of LCPT. IHC stained strongly positive for κ light chain in proximal tubules; λ (data not shown) was negative (original magnification ×400; DAB + Harris’s hematoxylin stain; left panel). TE microscopy image shows rhomboid crystal inclusions (*) in keeping with light chain proximal tubulopathy (original magnification ×4000; right panel).

Figure 4.

Features of LCPT. IHC stained strongly positive for κ light chain in proximal tubules; λ (data not shown) was negative (original magnification ×400; DAB + Harris’s hematoxylin stain; left panel). TE microscopy image shows rhomboid crystal inclusions (*) in keeping with light chain proximal tubulopathy (original magnification ×4000; right panel).

Close modal
Figure 5.

Features of an LCDD. Glomerulus with nodular mesangial expansion (arrowheads; original magnification ×400; PAS; upper left panel). IF showed strong positivity for κ light chain (upper right panel); compare with negative λ (lower left panel) in glomerular and tubular basement membranes and mesangial nodules, in keeping with a κ LCDD (original magnification ×200; fluorescein isothiocyanate). TE microscopy image shows powdery electron-dense deposits along basement membranes (arrowheads) in keeping with LCDD (original magnification ×6000, fluorescein isothiocyanate; lower right panel).

Figure 5.

Features of an LCDD. Glomerulus with nodular mesangial expansion (arrowheads; original magnification ×400; PAS; upper left panel). IF showed strong positivity for κ light chain (upper right panel); compare with negative λ (lower left panel) in glomerular and tubular basement membranes and mesangial nodules, in keeping with a κ LCDD (original magnification ×200; fluorescein isothiocyanate). TE microscopy image shows powdery electron-dense deposits along basement membranes (arrowheads) in keeping with LCDD (original magnification ×6000, fluorescein isothiocyanate; lower right panel).

Close modal
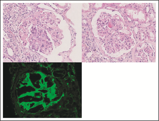
Figure 6.

Features of a C3GN in the setting of MGRS. Glomerulus with segmental endocapillary hypercellularity (original magnification ×400; hematoxylin & eosin stain; upper left panel). Glomerulus with segmental capillary tuft fibrinoid necrosis (original magnification ×400; hematoxylin & eosin stain; right panel). IF showed C3-dominant deposits in the mesangium and capillary loops, in keeping with a C3-dominant GN (original magnification ×400; fluorescein isothiocyanate; lower left panel).

Figure 6.

Features of a C3GN in the setting of MGRS. Glomerulus with segmental endocapillary hypercellularity (original magnification ×400; hematoxylin & eosin stain; upper left panel). Glomerulus with segmental capillary tuft fibrinoid necrosis (original magnification ×400; hematoxylin & eosin stain; right panel). IF showed C3-dominant deposits in the mesangium and capillary loops, in keeping with a C3-dominant GN (original magnification ×400; fluorescein isothiocyanate; lower left panel).

Close modal

Identification of paraprotein

The next step is to identify monoclonal protein in the serum and urine of patients suspected to have MGRS. Correlation between tissue and serum monoclonal protein is important, because ∼10% patients with hereditary amyloidosis were misdiagnosed as having AL amyloidosis based on serum MG in 1 series.74  Notably, paraprotein is typically small in these patients and is often undetectable by the available methods.28  This scenario is variable, depending upon the type of MGRS.3  Paraprotein is identified by serum and urine electrophoresis with a detection limit of 0.3 to 0.5 g/dL and 0.7 g/dL in the γ and α/β regions, respectively.75  Because only free light chains are filtered across the glomerulus, urine electrophoresis is the least sensitive test to identify an MG, but it is valuable in distinguishing cast nephropathy from AL amyloidosis/MIDD, because it shows dominant light chains in the former condition and selective albuminuria in the latter 2 conditions.76,77  Serum/urine immunofixation electrophoresis characterizes the type of MG and is more sensitive than electrophoresis (detection limit of 0.1 g/dL).4,78  Immunoblotting (not widely available) is highly sensitive for detecting small amounts of monoclonal immunoglobulin, characterization of heavy chain subclass, and identification of first constant domain deletion of heavy chain.30  Measurement of sFLCs using polyclonal antibodies for light chain epitopes (Freelite, Birmingham, United Kingdom) is the most sensitive method for the detection of MG. It is based on the concept that even plasma cells secreting an intact immunoglobulin secrete an excess of light chains in the serum. Due to the catabolism of free light chains by the proximal tubular cells, urine Freelite assay is an insensitive method. The normal range for sFLCs (κ/λ ratio) has been defined as 0.26 to 1.65 in a normal renal function setting. Any perturbation of this ratio could indicate monoclonality, although the “renal range” of sFLCs has been defined as 0.37 to 3.17. Renal impairment causes an increase in free κ and λ chains in the serum (κ > λ) and resulting dependence on the reticuloendothelial system for the elimination of light chains.4,78,79  sFLCs are pivotal for response assessment in AL amyloidosis and MIDD.65,80  Newer methods for sFLC measurement have been developed, including a monoclonal antibody–based assay, N latex nephelometric assay, and Luminex assay, but none are standardized, and Freelite continues to be used most commonly.4  Intriguingly, a serum IF is more sensitive than sFLCs in cases of PCDs producing an intact immunoglobulin molecule, such as PGNMID.81  Time-of-flight mass spectrometry and urinary exosomes are the newer techniques with a higher sensitivity than sFLCs for the detection of low levels of a paraprotein characteristic of MGRS.82-84 Table 2 highlights the incidence of a positive MG in patients with MGRS. The use of different methods might explain the variability in the detection of MG.

Clonal identification

After establishing the presence of an MG and its correlating monoclonal protein in the renal biopsy, the diagnostic approach should characterize the underlying clonal population of cells and should be based on the type of paraprotein. Because a lymphoplasmacytic clone typically produces IgM, relevant tissue (bone marrow/lymph node) must be obtained after cross-sectional imaging (eg, computed tomography scan). Clonal characterization is extremely important from a therapeutic perspective, because a B-cell/lymphoplasmacytic clone typically requires incorporation of anti-CD20 antibody (rituximab) in the treatment regimen, and a plasma cell clone is managed along the lines of PCD/MM.3 Figure 7 elaborates the structured approach to clonal identification in a case of MGRS and gives a battery of investigations that may be performed.9  Use of appropriate investigation for clonal identification requires an individualized approach.

Figure 7.

Diagnostic work-up for clonal identification in MGRS. *Imaging could help identify lymphadenopathy in low-grade, low-stage lymphoma.9  **Imaging could be performed to identify plasmacytoma, bone lesions in a suspected case of MM, and when bone marrow aspiration (BMA) and biopsy fails to detect the plasma cell clone.9  Note: despite a similar work-up, a distinction between B-cell and LPL clone is helpful, both for a precise diagnosis, and for wider therapeutic options available for LPL (both rituximab- and bortezomib-based therapies). MYD88 mutation is positive in about 90% cases of LPL/WM.9  A positive result would therefore be supportive, but an absence would not rule out the diagnosis. Considering a low proliferative rate of low-grade B-cell lymphoproliferative disorders, and LPL, positron emission tomography–computed tomography (PET-CT) may have a lower degree of sensitivity compared to high-grade NHL. However, PET-CT could be useful in such cases given the avoidance of iodinated contrast, and a potential for directed biopsy from an area of increased metabolic uptake to enhance the diagnostic yield.3  FCM, flow cytometry; FDG-avid LN, fluorodeoxyglucose avid lymph nodes; FISH, fluorescent in situ hybridization; LDH, lactate dehydrogenase; WBCT, whole-body computed tomography.

Figure 7.

Diagnostic work-up for clonal identification in MGRS. *Imaging could help identify lymphadenopathy in low-grade, low-stage lymphoma.9  **Imaging could be performed to identify plasmacytoma, bone lesions in a suspected case of MM, and when bone marrow aspiration (BMA) and biopsy fails to detect the plasma cell clone.9  Note: despite a similar work-up, a distinction between B-cell and LPL clone is helpful, both for a precise diagnosis, and for wider therapeutic options available for LPL (both rituximab- and bortezomib-based therapies). MYD88 mutation is positive in about 90% cases of LPL/WM.9  A positive result would therefore be supportive, but an absence would not rule out the diagnosis. Considering a low proliferative rate of low-grade B-cell lymphoproliferative disorders, and LPL, positron emission tomography–computed tomography (PET-CT) may have a lower degree of sensitivity compared to high-grade NHL. However, PET-CT could be useful in such cases given the avoidance of iodinated contrast, and a potential for directed biopsy from an area of increased metabolic uptake to enhance the diagnostic yield.3  FCM, flow cytometry; FDG-avid LN, fluorodeoxyglucose avid lymph nodes; FISH, fluorescent in situ hybridization; LDH, lactate dehydrogenase; WBCT, whole-body computed tomography.

Close modal

Extrarenal manifestations

Identification of the extrarenal involvement secondary to the MG is critical from a therapeutic and prognostic perspective. Cardiac involvement in AL amyloidosis is considered a high-risk feature and confers a poor prognosis requiring urgent initiation of chemotherapy to reduce the burden of amyloidogenic free light chains.2,28,64,85  Autologous stem cell transplant (ASCT) may be suitable for selected patients with Mayo stage I/II cardiac amyloidosis but is contraindicated in stage III patients owing to extremely high transplant-related mortality.86,87 Table 4 summarizes the MGRS conditions associated with extrarenal involvement. Organ-directed testing (2-dimensional echocardiogram, troponin level, N-terminal pro-B–type natriuretic peptide level, cardiac magnetic resonance imaging for cardiac, nerve conduction studies for  paranasal sinuses, skin biopsy for cutaneous, endoscopy and biopsy for gastrointestinal involvement) should be used based on the history and clinical examination findings.62,87 

Treatment of MGRS is directed at the underlying B-cell or plasma cell clones. Historically, reluctance among clinicians to treat MGRS was due to toxicity concerns, including secondary malignancies with the use of alkylating agents in a condition that was considered relatively benign.2  Therefore, therapy in MGRS aims at improving renal survival (reduction in proteinuria or serum creatinine or delayed/no need for dialysis or independence from dialysis) and reducing the recurrence after renal transplantation.2,3  Studies have shown that the renal survival of patients with MGRS has improved, and achievement of hematological response with treatment correlates with a renal response.2,64  Treatment is based on a combination of chemotherapeutic agents used to treat PCD or NHL optimizing for safety in the setting of renal failure, as well as extrarenal involvement (especially cardiac). The following guiding principles apply while treating MGRS.

  • Baseline glomerular filtration rate is prognostic for predicting renal outcome, as shown in PGNMID, MIDD, and amyloidosis. Therefore, prompt initiation of therapy is recommended before irreversible renal damage occurs.22,46,88,89 

  • Early initiation of chemotherapy is indicated in the presence of chronic kidney disease (CKD) stage 1-3 to reduce the production of monoclonal immunoglobulin and achieve a deep hematological response. Response may be consolidated with ASCT to achieve deeper and sustained hematological and renal remissions.90 

  • For patients with CKD stage 4 or ESRD, chemotherapy is indicated only if they are planned for a renal transplant or if coexisting extrarenal involvement is present (especially cardiac, liver, or pulmonary). Achieving a complete hematological response prior to renal transplant is necessary to avoid the risk of recurrence of MGRS in the renal allograft and ensuing graft failure. ASCT may be used in this setting before proceeding with a renal transplant. For patients with extrarenal involvement, therapy may improve the function of the extrarenal organ.90 

  • Response assessment in MGRS is challenging. In patients who have a detectable MG, paraprotein may be followed up for hematological response assessment based on the International Myeloma Working Group criteria used for amyloidosis. In cases lacking a detectable baseline paraprotein, patients may be followed up using proteinuria and renal function (creatinine). Renal response in MGRS could be assessed using the organ-response criteria for amyloidosis.3,80 

  • Appropriate dose reduction is required for certain drugs in the setting of renal failure.3 

Because amyloidosis and POEMS syndrome have been reviewed extensively,61,62  we have reviewed the literature regarding the treatment outcomes of other MGRS entities. Most of the studies in MGRS involve isolated case reports or small case series. No formal guidelines exist regarding the treatment of MGRS. However, expert opinion/consensus-based treatment decisions can guide clinical practice (Table 6).90  In the next section, we discuss the outcomes of LCDD and C3G and summarize the most recent available data on renal outcomes for all MGRS entities in supplemental Table 1.11,12,19,20,22,24-26,41,51,52,58,64,89,91-93 

Table 6.

Consensus opinions for the treatment of selected MGRS conditions

MGRS entityCurrent consensus/recommendation
MIDD CKD stage I-III: bortezomib-based therapy, followed by ASCT (in the absence of extrarenal manifestations and good performance status) 
CKD stage IV-V: eligible for renal transplant, bortezomib-based therapy followed by ASCT; not eligible for renal transplant, bortezomib-based therapy only (to protect extrarenal organs, heart) 
PGNMID CKD stage I-II with proteinuria < 1 g/d and nonprogressive disease: symptomatic treatment 
CKD stage I-II with proteinuria > 1 g/d or progressive disease and CKD stage III-IV: chemotherapy* with or without ASCT 
CKD stage V: eligible for renal transplant, chemotherapy followed by ASCT; not eligible for renal transplant, symptomatic management; no identifiable MG: no consensus, may benefit from chemotherapy prior to renal transplant 
ITG CLL-type regimens incorporating bendamustine/corticosteroids/cyclophosphamide with rituximab
For cases not associated with CLL, bortezomib-based regimens 
Type 1 cryoglobulinemic GN Treatment indication: symptomatic/progressive systemic disease (renal), depends on underlying clone 
 Plasma cell: antimyeloma drugs (ASCT may be considered) 
 LPL clone: treat along lines of WM (rituximab backbone) 
 B-cell clone: rituximab-based therapy 
Type 2 cryoglobulinemic GN HCV+ 
 Minimally symptomatic: antiviral therapy 
 Symptomatic vasculitis: rituximab/high-dose dexamethasone (+ antiviral therapy) 
 Rapidly progressive renal disease: TPE + definitive therapy as for symptomatic vasculitis (above) 
HCV 
 Minimally symptomatic: observation 
 Symptomatic vasculitis: rituximab 
WM/B-cell NHL: rituximab-based regimens (according to the underlying condition) 
LCPT with FS CKD stage I-III: chemotherapy based on bortezomib/cyclophosphamide/thalidomide/bendamustine, ASCT may be considered for nonresponding patients 
CKD stage IV-V: eligible for renal transplant, bortezomib-based therapy followed by ASCT; not eligible for renal transplant, symptomatic management 
MGRS entityCurrent consensus/recommendation
MIDD CKD stage I-III: bortezomib-based therapy, followed by ASCT (in the absence of extrarenal manifestations and good performance status) 
CKD stage IV-V: eligible for renal transplant, bortezomib-based therapy followed by ASCT; not eligible for renal transplant, bortezomib-based therapy only (to protect extrarenal organs, heart) 
PGNMID CKD stage I-II with proteinuria < 1 g/d and nonprogressive disease: symptomatic treatment 
CKD stage I-II with proteinuria > 1 g/d or progressive disease and CKD stage III-IV: chemotherapy* with or without ASCT 
CKD stage V: eligible for renal transplant, chemotherapy followed by ASCT; not eligible for renal transplant, symptomatic management; no identifiable MG: no consensus, may benefit from chemotherapy prior to renal transplant 
ITG CLL-type regimens incorporating bendamustine/corticosteroids/cyclophosphamide with rituximab
For cases not associated with CLL, bortezomib-based regimens 
Type 1 cryoglobulinemic GN Treatment indication: symptomatic/progressive systemic disease (renal), depends on underlying clone 
 Plasma cell: antimyeloma drugs (ASCT may be considered) 
 LPL clone: treat along lines of WM (rituximab backbone) 
 B-cell clone: rituximab-based therapy 
Type 2 cryoglobulinemic GN HCV+ 
 Minimally symptomatic: antiviral therapy 
 Symptomatic vasculitis: rituximab/high-dose dexamethasone (+ antiviral therapy) 
 Rapidly progressive renal disease: TPE + definitive therapy as for symptomatic vasculitis (above) 
HCV 
 Minimally symptomatic: observation 
 Symptomatic vasculitis: rituximab 
WM/B-cell NHL: rituximab-based regimens (according to the underlying condition) 
LCPT with FS CKD stage I-III: chemotherapy based on bortezomib/cyclophosphamide/thalidomide/bendamustine, ASCT may be considered for nonresponding patients 
CKD stage IV-V: eligible for renal transplant, bortezomib-based therapy followed by ASCT; not eligible for renal transplant, symptomatic management 

HCV, hepatitis C virus; TPE, therapeutic plasma exchange.

Adapted from Fermand et al.90 

*

For PGNMID cases, choice of chemotherapy should be clone directed. For plasma cell clone, bortezomib-based regimens, like cyclophosphamide/bortezomib/dexamethasone; for B-cell clone, rituximab-based regimens may be used. Because clone is detected in only ∼30% of cases of PGNMID, an empirical therapy directed at the hypothesized clone may be used.92 

LCDD and C3G

The 1-year and 5-year overall survival (OS) in LCDD patients was found to be 89% and 70%, respectively, in contrast with corresponding renal survival rates of 67% and 37%.94  In a large series on LCDD, ASCT and proteasome inhibitor–based treatments were significantly associated with a hematological response compared with other therapies. Achievement of a complete hematological remission was associated with a renal response. Five-year OS and 5-year renal survival were 67% and 57%, respectively.89  Sayed et al reported the median renal survival and OS of LCDD patients to be 5.4 years and 14 years, respectively.64  Of the 7 patients in that cohort whose underlying clonal disorder was in hematological remission and who received a renal allograft, none had disease recurrence after a median of 9.7 years.64  Retrospective data from monoclonal immunoglobulin–associated C3G illustrated that the renal response and median renal survival were higher in patients who achieved a hematological response after chemotherapy.11  Zand et al reviewed the outcome of patients after renal transplant for ESRD due to C3G and noted a recurrence rate of 66.7% after a median of 28 months; half of these patients also had a graft failure.24 

MGRS is an umbrella term that encompasses renal damage mediated directly or indirectly by monoclonal protein. Awareness of MGRS among clinicians and renal pathologists is critical to suspect, investigate, and diagnose it in a timely fashion. Early clone-directed treatment based on expert consensus is crucial to improve the renal survival of these patients. Studies with a larger sample size are needed for the formulation of treatment and follow-up guidelines.

The full-text version of this article contains a data supplement.

Contribution: A.J. wrote the manuscript; K.R. and J.K. conceptualized, edited, and supervised the manuscript; M.S. wrote the renal pathology portion of the manuscript and provided histopathology images; R.H. contributed to the clinical nephrology aspect of the manuscript; A.K. provided the details about the 2 cases of MGRS that are described in the supplemental Data; and all authors reviewed and approved the draft individually.

Conflict-of-interest disclosure: The authors declare no competing financial interests.

Correspondence: Karthik Ramasamy, Level 2, Cancer and Hematology Centre, Churchill Hospital, Oxford OX3 7LE, United Kingdom; e-mail: kramasamy@nhs.net.

1.
Rajkumar
SV
,
Dimopoulos
MA
,
Palumbo
A
, et al
.
International Myeloma Working Group updated criteria for the diagnosis of multiple myeloma
.
Lancet Oncol
.
2014
;
15
(
12
):
e538
-
e548
.
2.
Leung
N
,
Bridoux
F
,
Hutchison
CA
, et al;
International Kidney and Monoclonal Gammopathy Research Group
.
Monoclonal gammopathy of renal significance: when MGUS is no longer undetermined or insignificant
.
Blood
.
2012
;
120
(
22
):
4292
-
4295
.
3.
Hogan
JJ
,
Weiss
BM
.
Bridging the divide: an onco-nephrologic approach to the monoclonal gammopathies of renal significance
.
Clin J Am Soc Nephrol
.
2016
;
11
(
9
):
1681
-
1691
.
4.
Leung
N
,
Barnidge
DR
,
Hutchison
CA
.
Laboratory testing in monoclonal gammopathy of renal significance (MGRS)
.
Clin Chem Lab Med
.
2016
;
54
(
6
):
929
-
937
.
5.
Ciocchini
M
,
Arbelbide
J
,
Musso
CG
.
Monoclonal gammopathy of renal significance (MGRS): the characteristics and significance of a new meta-entity
.
Int Urol Nephrol
.
2017
;
49
(
12
):
2171
-
2175
.
6.
Go
RS
,
Rajkumar
SV
.
How I manage monoclonal gammopathy of undetermined significance
.
Blood
.
2018
;
131
(
2
):
163
-
173
.
7.
Herrera
GA
.
Proximal tubulopathies associated with monoclonal light chains: the spectrum of clinicopathologic manifestations and molecular pathogenesis
.
Arch Pathol Lab Med
.
2014
;
138
(
10
):
1365
-
1380
.
8.
Merlini
G
,
Stone
MJ
.
Dangerous small B-cell clones
.
Blood
.
2006
;
108
(
8
):
2520
-
2530
.
9.
Leung
N
,
Bridoux
F
,
Batuman
V
, et al
.
The evaluation of monoclonal gammopathy of renal significance: a consensus report of the International Kidney and Monoclonal Gammopathy Research Group
.
Nat Rev Nephrol
.
2019
;
15
(
1
):
45
-
59
.
10.
Doshi
M
,
Lahoti
A
,
Danesh
FR
,
Batuman
V
,
Sanders
PW
;
American Society of Nephrology Onco-Nephrology Forum
.
Paraprotein-related kidney disease: kidney injury from paraproteins-what determines the site of injury?
Clin J Am Soc Nephrol
.
2016
;
11
(
12
):
2288
-
2294
.
11.
Chauvet
S
,
Frémeaux-Bacchi
V
,
Petitprez
F
, et al
.
Treatment of B-cell disorder improves renal outcome of patients with monoclonal gammopathy-associated C3 glomerulopathy
.
Blood
.
2017
;
129
(
11
):
1437
-
1447
.
12.
Ravindran
A
,
Go
RS
,
Fervenza
FC
,
Sethi
S
.
Thrombotic microangiopathy associated with monoclonal gammopathy
.
Kidney Int
.
2017
;
91
(
3
):
691
-
698
.
13.
Steiner
N
,
Göbel
G
,
Suchecki
P
,
Prokop
W
,
Neuwirt
H
,
Gunsilius
E
.
Monoclonal gammopathy of renal significance (MGRS) increases the risk for progression to multiple myeloma: an observational study of 2935 MGUS patients
.
Oncotarget
.
2017
;
9
(
2
):
2344
-
2356
.
14.
Shaik
M
,
Al-Janadi
A
.
Long term survival of monoclonal gammopathy of renal significance (MGRS): an analysis of Nhanes III
.
Blood
.
2014
;
124
:
4849
.
15.
Fermand
JP
,
Bridoux
F
,
Dispenzieri
A
, et al
.
Monoclonal gammopathy of clinical significance: a novel concept with therapeutic implications
.
Blood
.
2018
;
132
(
14
):
1478
-
1485
.
16.
Leung
N
,
Dispenzieri
A
,
Fervenza
FC
, et al
.
Renal response after high-dose melphalan and stem cell transplantation is a favorable marker in patients with primary systemic amyloidosis
.
Am J Kidney Dis
.
2005
;
46
(
2
):
270
-
277
.
17.
Lorenz
EC
,
Gertz
MA
,
Fervenza
FC
, et al
.
Long-term outcome of autologous stem cell transplantation in light chain deposition disease
.
Nephrol Dial Transplant
.
2008
;
23
(
6
):
2052
-
2057
.
18.
Bridoux
F
,
Hugue
V
,
Coldefy
O
, et al
.
Fibrillary glomerulonephritis and immunotactoid (microtubular) glomerulopathy are associated with distinct immunologic features
.
Kidney Int
.
2002
;
62
(
5
):
1764
-
1775
.
19.
Guiard
E
,
Karras
A
,
Plaisier
E
, et al
.
Patterns of noncryoglobulinemic glomerulonephritis with monoclonal Ig deposits: correlation with IgG subclass and response to rituximab
.
Clin J Am Soc Nephrol
.
2011
;
6
(
7
):
1609
-
1616
.
20.
Czarnecki
PG
,
Lager
DJ
,
Leung
N
,
Dispenzieri
A
,
Cosio
FG
,
Fervenza
FC
.
Long-term outcome of kidney transplantation in patients with fibrillary glomerulonephritis or monoclonal gammopathy with fibrillary deposits
.
Kidney Int
.
2009
;
75
(
4
):
420
-
427
.
21.
Leung
N
,
Lager
DJ
,
Gertz
MA
,
Wilson
K
,
Kanakiriya
S
,
Fervenza
FC
.
Long-term outcome of renal transplantation in light-chain deposition disease
.
Am J Kidney Dis
.
2004
;
43
(
1
):
147
-
153
.
22.
Nasr
SH
,
Sethi
S
,
Cornell
LD
, et al
.
Proliferative glomerulonephritis with monoclonal IgG deposits recurs in the allograft
.
Clin J Am Soc Nephrol
.
2011
;
6
(
1
):
122
-
132
.
23.
Pinney
JH
,
Lachmann
HJ
,
Sattianayagam
PT
, et al
.
Renal transplantation in systemic amyloidosis-importance of amyloid fibril type and precursor protein abundance
.
Am J Transplant
.
2013
;
13
(
2
):
433
-
441
.
24.
Zand
L
,
Lorenz
EC
,
Cosio
FG
, et al
.
Clinical findings, pathology, and outcomes of C3GN after kidney transplantation
.
J Am Soc Nephrol
.
2014
;
25
(
5
):
1110
-
1117
.
25.
Lorenz
EC
,
Sethi
S
,
Leung
N
,
Dispenzieri
A
,
Fervenza
FC
,
Cosio
FG
.
Recurrent membranoproliferative glomerulonephritis after kidney transplantation
.
Kidney Int
.
2010
;
77
(
8
):
721
-
728
.
26.
Said
SM
,
Cosio
FG
,
Valeri
AM
, et al
.
Proliferative glomerulonephritis with monoclonal immunoglobulin G deposits is associated with high rate of early recurrence in the allograft
.
Kidney Int
.
2018
;
94
(
1
):
159
-
169
.
27.
Angel-Korman
A
,
Stern
L
,
Sarosiek
S
, et al
.
Long-term outcome of kidney transplantation in AL amyloidosis
.
Kidney Int
.
2019
;
95
(
2
):
405
-
411
.
28.
Bridoux
F
,
Leung
N
,
Hutchison
CA
, et al;
International Kidney and Monoclonal Gammopathy Research Group
.
Diagnosis of monoclonal gammopathy of renal significance
.
Kidney Int
.
2015
;
87
(
4
):
698
-
711
.
29.
Sethi
S
,
Rajkumar
SV
,
D’Agati
VD
.
The complexity and heterogeneity of monoclonal immunoglobulin-associated renal diseases
.
J Am Soc Nephrol
.
2018
;
29
(
7
):
1810
-
1823
.
30.
Bridoux
F
,
Javaugue
V
,
Bender
S
, et al
.
Unravelling the immunopathological mechanisms of heavy chain deposition disease with implications for clinical management
.
Kidney Int
.
2017
;
91
(
2
):
423
-
434
.
31.
Leung
N
,
Drosou
ME
,
Nasr
SH
.
Dysproteinemias and glomerular disease
.
Clin J Am Soc Nephrol
.
2018
;
13
(
1
):
128
-
139
.
32.
Teng
J
,
Russell
WJ
,
Gu
X
,
Cardelli
J
,
Jones
ML
,
Herrera
GA
.
Different types of glomerulopathic light chains interact with mesangial cells using a common receptor but exhibit different intracellular trafficking patterns [published correction appears in Lab Invest. 2004;84(9):1219]
.
Lab Invest
.
2004
;
84
(
4
):
440
-
451
.
33.
Keeling
J
,
Teng
J
,
Herrera
GA
.
AL-amyloidosis and light-chain deposition disease light chains induce divergent phenotypic transformations of human mesangial cells
.
Lab Invest
.
2004
;
84
(
10
):
1322
-
1338
.
34.
Charitaki
E
,
Kastritis
E
,
Petraki
C
, et al
.
Glomerular expression of matrix metalloproteinases in AL-amyloidosis and association with renal function at the time of kidney biopsy
.
Clin Nephrol
.
2016
;
85
(
1
):
44
-
54
.
35.
Herrera
GA
.
Renal manifestations of plasma cell dyscrasias: an appraisal from the patients’ bedside to the research laboratory
.
Ann Diagn Pathol
.
2000
;
4
(
3
):
174
-
200
.
36.
Herrera
GA
,
Shultz
JJ
,
Soong
SJ
,
Sanders
PW
.
Growth factors in monoclonal light-chain--related renal diseases
.
Hum Pathol
.
1994
;
25
(
9
):
883
-
892
.
37.
Best Rocha
A
,
Larsen
CP
.
Membranous glomerulopathy with light chain-restricted deposits: a clinicopathological analysis of 28 cases
.
Kidney Int Rep
.
2017
;
2
(
6
):
1141
-
1148
.
38.
Ugai
T
,
Tsuda
K
,
Sugihara
H
, et al
.
Renal Fanconi syndrome associated with monoclonal κ free light chain in a patient with Waldenström macroglobulinemia
.
Br J Haematol
.
2013
;
162
(
1
):
1
.
39.
Nasr
SH
,
Valeri
AM
,
Sethi
S
, et al
.
Clinicopathologic correlations in multiple myeloma: a case series of 190 patients with kidney biopsies
.
Am J Kidney Dis
.
2012
;
59
(
6
):
786
-
794
.
40.
Herrera
GA
.
The contributions of electron microscopy to the understanding and diagnosis of plasma cell dyscrasia-related renal lesions
.
Med Electron Microsc
.
2001
;
34
(
1
):
1
-
18
.
41.
Stokes
MB
,
Valeri
AM
,
Herlitz
L
, et al
.
Light chain proximal tubulopathy: clinical and pathologic characteristics in the modern treatment era
.
J Am Soc Nephrol
.
2016
;
27
(
5
):
1555
-
1565
.
42.
Larsen
CP
,
Bell
JM
,
Harris
AA
,
Messias
NC
,
Wang
YH
,
Walker
PD
.
The morphologic spectrum and clinical significance of light chain proximal tubulopathy with and without crystal formation
.
Mod Pathol
.
2011
;
24
(
11
):
1462
-
1469
.
43.
Sanada
S
,
Ookawara
S
,
Karube
H
, et al
.
Marked recovery of severe renal lesions in POEMS syndrome with high-dose melphalan therapy supported by autologous blood stem cell transplantation
.
Am J Kidney Dis
.
2006
;
47
(
4
):
672
-
679
.
44.
Lin
M
,
Haas
M
.
Paraprotein-associated thrombotic microangiopathy: expanding the spectrum of renal disease related to plasma cell dyscrasias
.
Kidney Int
.
2017
;
91
(
3
):
532
-
534
.
45.
Ciocchini
M
,
Musso
CG
.
Which should be the correct treatment for monoclonal gammopathy of renal significance with complement alternative pathway dysregulation (C3 glomerulopathy and atypical hemolytic uremic syndrome): clone-directed or anticomplement therapy?
Int Urol Nephrol
.
2018
;
50
(
7
):
1365
-
1366
.
46.
Nasr
SH
,
Valeri
AM
,
Cornell
LD
, et al
.
Renal monoclonal immunoglobulin deposition disease: a report of 64 patients from a single institution
.
Clin J Am Soc Nephrol
.
2012
;
7
(
2
):
231
-
239
.
47.
Lin
J
,
Markowitz
GS
,
Valeri
AM
, et al
.
Renal monoclonal immunoglobulin deposition disease: the disease spectrum
.
J Am Soc Nephrol
.
2001
;
12
(
7
):
1482
-
1492
.
48.
Sidana
S
,
Rajkumar
SV
,
Dispenzieri
A
, et al
.
Clinical presentation and outcomes of patients with type 1 monoclonal cryoglobulinemia
.
Am J Hematol
.
2017
;
92
(
7
):
668
-
673
.
49.
Bryce
AH
,
Kyle
RA
,
Dispenzieri
A
,
Gertz
MA
.
Natural history and therapy of 66 patients with mixed cryoglobulinemia
.
Am J Hematol
.
2006
;
81
(
7
):
511
-
518
.
50.
Gowda
KK
,
Nada
R
,
Ramachandran
R
, et al
.
Proliferative glomerulonephritis with monoclonal immunoglobulin deposition disease: the utility of routine staining with immunoglobulin light chains
.
Indian J Nephrol
.
2015
;
25
(
6
):
344
-
348
.
51.
Nasr
SH
,
Fidler
ME
,
Cornell
LD
, et al
.
Immunotactoid glomerulopathy: clinicopathologic and proteomic study
.
Nephrol Dial Transplant
.
2012
;
27
(
11
):
4137
-
4146
.
52.
Nasr
SH
,
Valeri
AM
,
Cornell
LD
, et al
.
Fibrillary glomerulonephritis: a report of 66 cases from a single institution
.
Clin J Am Soc Nephrol
.
2011
;
6
(
4
):
775
-
784
.
53.
Rosenstock
JL
,
Markowitz
GS
,
Valeri
AM
,
Sacchi
G
,
Appel
GB
,
D’Agati
VD
.
Fibrillary and immunotactoid glomerulonephritis: distinct entities with different clinical and pathologic features
.
Kidney Int
.
2003
;
63
(
4
):
1450
-
1461
.
54.
Motwani
SS
,
Herlitz
L
,
Monga
D
,
Jhaveri
KD
,
Lam
AQ
;
American Society of Nephrology Onco-Nephrology Forum
.
Paraprotein-related kidney disease: glomerular diseases associated with paraproteinemias
.
Clin J Am Soc Nephrol
.
2016
;
11
(
12
):
2260
-
2272
.
55.
Lebeau
A
,
Zeindl-Eberhart
E
,
Müller
EC
, et al
.
Generalized crystal-storing histiocytosis associated with monoclonal gammopathy: molecular analysis of a disorder with rapid clinical course and review of the literature
.
Blood
.
2002
;
100
(
5
):
1817
-
1827
.
56.
Vignon
M
,
Javaugue
V
,
Alexander
MP
, et al
.
Current anti-myeloma therapies in renal manifestations of monoclonal light chain-associated Fanconi syndrome: a retrospective series of 49 patients
.
Leukemia
.
2017
;
31
(
1
):
123
-
129
.
57.
Ravindran
A
,
Fervenza
FC
,
Smith
RJH
,
Sethi
S
.
C3 glomerulopathy associated with monoclonal Ig is a distinct subtype [published correction appears in Kidney Int. 2018;94(5):1025]
.
Kidney Int
.
2018
;
94
(
1
):
178
-
186
.
58.
Lloyd
IE
,
Gallan
A
,
Huston
HK
, et al
.
C3 glomerulopathy in adults: a distinct patient subset showing frequent association with monoclonal gammopathy and poor renal outcome
.
Clin Kidney J
.
2016
;
9
(
6
):
794
-
799
.
59.
Zand
L
,
Kattah
A
,
Fervenza
FC
, et al
.
C3 glomerulonephritis associated with monoclonal gammopathy: a case series
.
Am J Kidney Dis
.
2013
;
62
(
3
):
506
-
514
.
60.
Sethi
S
,
Sukov
WR
,
Zhang
Y
, et al
.
Dense deposit disease associated with monoclonal gammopathy of undetermined significance
.
Am J Kidney Dis
.
2010
;
56
(
5
):
977
-
982
.
61.
Dispenzieri
A
.
POEMS syndrome: 2017 update on diagnosis, risk stratification, and management
.
Am J Hematol
.
2017
;
92
(
8
):
814
-
829
.
62.
Wechalekar
AD
,
Gillmore
JD
,
Hawkins
PN
.
Systemic amyloidosis
.
Lancet
.
2016
;
387
(
10038
):
2641
-
2654
.
63.
Pozzi
C
,
D’Amico
M
,
Fogazzi
GB
, et al
.
Light chain deposition disease with renal involvement: clinical characteristics and prognostic factors
.
Am J Kidney Dis
.
2003
;
42
(
6
):
1154
-
1163
.
64.
Sayed
RH
,
Wechalekar
AD
,
Gilbertson
JA
, et al
.
Natural history and outcome of light chain deposition disease
.
Blood
.
2015
;
126
(
26
):
2805
-
2810
.
65.
Joly
F
,
Cohen
C
,
Javaugue
V
, et al
.
Randall-type monoclonal immunoglobulin deposition disease: novel insights from a nationwide cohort study
.
Blood
.
2019
;
133
(
6
):
576
-
587
.
66.
Gupta
V
,
El Ters
M
,
Kashani
K
,
Leung
N
,
Nasr
SH
.
Crystalglobulin-induced nephropathy
.
J Am Soc Nephrol
.
2015
;
26
(
3
):
525
-
529
.
67.
Fish
R
,
Pinney
J
,
Jain
P
, et al
.
The incidence of major hemorrhagic complications after renal biopsies in patients with monoclonal gammopathies
.
Clin J Am Soc Nephrol
.
2010
;
5
(
11
):
1977
-
1980
.
68.
Merlini
G
,
Wechalekar
AD
,
Palladini
G
.
Systemic light chain amyloidosis: an update for treating physicians
.
Blood
.
2013
;
121
(
26
):
5124
-
5130
.
69.
Novak
L
,
Cook
WJ
,
Herrera
GA
,
Sanders
PW
.
AL-amyloidosis is underdiagnosed in renal biopsies
.
Nephrol Dial Transplant
.
2004
;
19
(
12
):
3050
-
3053
.
70.
Herrera
GA
,
Turbat-Herrera
EA
.
Ultrastructural immunolabeling in the diagnosis of monoclonal light-and heavy-chain-related renal diseases
.
Ultrastruct Pathol
.
2010
;
34
(
3
):
161
-
173
.
71.
Nasr
SH
,
Vrana
JA
,
Dasari
S
, et al
.
DNAJB9 is a specific immunohistochemical marker marker for fibrillary glomerulonephritis
.
Kidney Int Rep
.
2017
;
3
(
1
):
56
-
64
.
72.
Alexander
MP
,
Dasari
S
,
Vrana
JA
, et al
.
Congophilic fibrillary glomerulonephritis: a case series
.
Am J Kidney Dis
.
2018
;
72
(
3
):
325
-
336
.
73.
Nasr
SH
,
Galgano
SJ
,
Markowitz
GS
,
Stokes
MB
,
D’Agati
VD
.
Immunofluorescence on pronase-digested paraffin sections: a valuable salvage technique for renal biopsies
.
Kidney Int
.
2006
;
70
(
12
):
2148
-
2151
.
74.
Lachmann
HJ
,
Booth
DR
,
Booth
SE
, et al
.
Misdiagnosis of hereditary amyloidosis as AL (primary) amyloidosis
.
N Engl J Med
.
2002
;
346
(
23
):
1786
-
1791
.
75.
Gay-Bellile
C
,
Bengoufa
D
,
Houze
P
, et al
.
Automated multicapillary electrophoresis for analysis of human serum proteins
.
Clin Chem
.
2003
;
49
(
11
):
1909
-
1915
.
76.
Drayson
M
,
Begum
G
,
Basu
S
, et al
.
Effects of paraprotein heavy and light chain types and free light chain load on survival in myeloma: an analysis of patients receiving conventional-dose chemotherapy in Medical Research Council UK multiple myeloma trials
.
Blood
.
2006
;
108
(
6
):
2013
-
2019
.
77.
Leung
N
,
Gertz
M
,
Kyle
RA
, et al
.
Urinary albumin excretion patterns of patients with cast nephropathy and other monoclonal gammopathy-related kidney diseases
.
Clin J Am Soc Nephrol
.
2012
;
7
(
12
):
1964
-
1968
.
78.
Dispenzieri
A
,
Kyle
R
,
Merlini
G
, et al;
International Myeloma Working Group
.
International Myeloma Working Group guidelines for serum-free light chain analysis in multiple myeloma and related disorders
.
Leukemia
.
2009
;
23
(
2
):
215
-
224
.
79.
Hutchison
CA
,
Harding
S
,
Hewins
P
, et al
.
Quantitative assessment of serum and urinary polyclonal free light chains in patients with chronic kidney disease
.
Clin J Am Soc Nephrol
.
2008
;
3
(
6
):
1684
-
1690
.
80.
Palladini
G
,
Dispenzieri
A
,
Gertz
MA
, et al
.
New criteria for response to treatment in immunoglobulin light chain amyloidosis based on free light chain measurement and cardiac biomarkers: impact on survival outcomes
.
J Clin Oncol
.
2012
;
30
(
36
):
4541
-
4549
.
81.
Bhutani
G
,
Nasr
SH
,
Said
SM
, et al
.
Hematologic characteristics of proliferative glomerulonephritides with nonorganized monoclonal immunoglobulin deposits
.
Mayo Clin Proc
.
2015
;
90
(
5
):
587
-
596
.
82.
Barnidge
DR
,
Dasari
S
,
Botz
CM
, et al
.
Using mass spectrometry to monitor monoclonal immunoglobulins in patients with a monoclonal gammopathy
.
J Proteome Res
.
2014
;
13
(
3
):
1419
-
1427
.
83.
Hoorn
EJ
,
Pisitkun
T
,
Zietse
R
, et al
.
Prospects for urinary proteomics: exosomes as a source of urinary biomarkers
.
Nephrology (Carlton)
.
2005
;
10
(
3
):
283
-
290
.
84.
Ramirez-Alvarado
M
,
Ward
CJ
,
Huang
BQ
, et al
.
Differences in immunoglobulin light chain species found in urinary exosomes in light chain amyloidosis (Al)
.
PLoS One
.
2012
;
7
(
6
):
e38061
.
85.
Kyle
RA
,
Gertz
MA
,
Greipp
PR
, et al
.
A trial of three regimens for primary amyloidosis: colchicine alone, melphalan and prednisone, and melphalan, prednisone, and colchicine
.
N Engl J Med
.
1997
;
336
(
17
):
1202
-
1207
.
86.
Venner
CP
,
Lane
T
,
Foard
D
, et al
.
Cyclophosphamide, bortezomib, and dexamethasone therapy in AL amyloidosis is associated with high clonal response rates and prolonged progression-free survival
.
Blood
.
2012
;
119
(
19
):
4387
-
4390
.
87.
Merlini
G
.
AL amyloidosis: from molecular mechanisms to targeted therapies
.
Hematology Am Soc Hematol Educ Program
.
2017
;
2017
:
1
-
12
.
88.
Pinney
JH
,
Lachmann
HJ
,
Bansi
L
, et al
.
Outcome in renal Al amyloidosis after chemotherapy
.
J Clin Oncol
.
2011
;
29
(
6
):
674
-
681
.
89.
Kourelis
TV
,
Nasr
SH
,
Dispenzieri
A
, et al
.
Outcomes of patients with renal monoclonal immunoglobulin deposition disease
.
Am J Hematol
.
2016
;
91
(
11
):
1123
-
1128
.
90.
Fermand
JP
,
Bridoux
F
,
Kyle
RA
, et al;
International Kidney and Monoclonal Gammopathy Research Group
.
How I treat monoclonal gammopathy of renal significance (MGRS)
.
Blood
.
2013
;
122
(
22
):
3583
-
3590
.
91.
Nasr
SH
,
Satoskar
A
,
Markowitz
GS
, et al
.
Proliferative glomerulonephritis with monoclonal IgG deposits
.
J Am Soc Nephrol
.
2009
;
20
(
9
):
2055
-
2064
.
92.
Gumber
R
,
Cohen
JB
,
Palmer
MB
, et al
.
A clone-directed approach may improve diagnosis and treatment of proliferative glomerulonephritis with monoclonal immunoglobulin deposits
.
Kidney Int
.
2018
;
94
(
1
):
199
-
205
.
93.
Mallett
A
,
Tang
W
,
Hart
G
, et al
.
end-stage kidney disease due to fibrillary glomerulonephritis and immunotactoid glomerulopathy - outcomes in 66 consecutive ANZDATA Registry cases
.
Am J Nephrol
.
2015
;
42
(
3
):
177
-
184
.
94.
Heilman
RL
,
Velosa
JA
,
Holley
KE
,
Offord
KP
,
Kyle
RA
.
Long-term follow-up and response to chemotherapy in patients with light-chain deposition disease
.
Am J Kidney Dis
.
1992
;
20
(
1
):
34
-
41
.

Supplemental data